文章信息
- 王恩会, 王丽杰
- WANG Enhui, WANG Lijie
- 丙种球蛋白不反应型川崎病合并硬膜下积液1例报道及文献复习
- Gamma globulin-resistant Kawasaki disease combined with subdural effusion: a case report and literature review
- 中国医科大学学报, 2021, 50(3): 282-285
- Journal of China Medical University, 2021, 50(3): 282-285
-
文章历史
- 收稿日期:2020-07-06
- 网络出版时间:2021-03-18 14:06
川崎病又称皮肤黏膜淋巴结综合征,是一种急性全身血管炎症性疾病,主要发生于5岁以下的儿童,除心血管系统外,还容易累及其他系统,合并症较多,诊断相对困难[1]。合并脑膜炎时,患儿病情往往较重,进展较快,而在病程早期临床症状不明显时又不易作出明确诊断,容易误诊而延误治疗时机。本研究对2018年11月我院儿科就诊的1例丙种球蛋白不反应型川崎病合并硬膜下积液患儿的诊疗过程以及预后进行报道。
1 临床资料患儿,女,年龄11个月,因“发热5 d,呕吐、腹泻2 d,抽搐2次”收入院。患儿入院5 d前无诱因发热,热峰41.0 ℃,发热4~5次/d,精神状态差,血常规检查结果显示,白细胞3.11×109/L,中性粒细胞百分比42.9%,淋巴细胞54.3%,血红蛋白107 g/L,血小板47×109/L;C反应蛋白 > 210 mg/L。患儿静脉滴注利奈唑胺、头孢派酮舒巴坦钠、丙种球蛋白(2 g/kg,3 d输注)治疗。入院1 d前患儿突发抽搐,表现为双目凝视,左脚及双手抖动,持续4~5 min,镇静后抽搐缓解。入院当天再次发生抽搐,表现与首次症状相同。
入院时查体结果显示,脉搏140次/min,呼吸频率60次/min,血压90/65 mmHg,鼻导管吸氧(1 L/min)经皮血氧饱和度维持在92%左右,精神状态差,面色苍白,口唇红,无杨梅舌,双眼球结膜略红,无分泌物,卡斑不红,右侧颈部可触及1个1 cm×1 cm淋巴结,无触痛,活动度可,呼吸浅快,三凹征弱阳性,听诊双肺可闻及散在小水泡音,肝右肋下5 cm质软,双手及双足轻度硬肿,足趾无脱皮,肛周无潮红。神经系统查体无明显异常。
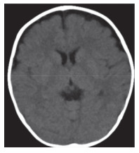
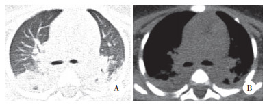
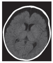
入院时实验室检查结果显示,(1)血常规:白细胞17.9×109/L,中性粒细胞百分比65.9%,淋巴细胞15.2%,血红蛋白69 g/L,血小板82×109/L;C反应蛋白69.60 mg/L;降钙素原13.75 ng/mL;D-二聚体6823 μg/L;(2)肝功能:白蛋白20.0 g/L,丙氨酸氨基转移酶98 U/L,门冬氨酸氨基转移酶58 U/L,氨基末端B型利钠肽前体 > 35 000 pg/mL;铁蛋白1 058.1 ng/mL;(3)入院后腰椎穿刺,脑脊液压力12 cmH2O。脑脊液常规检查:白细胞61×106/L,中性粒细胞16.3%,单核细胞83.7%。脑脊液生化结果:糖4.9 mmol/L,蛋白2.18 g/L。骨髓穿刺未观察到噬血细胞。免疫球蛋白、抗链球菌溶血素O(anti-streptolysin O,ASO)、血细菌培养无异常。(4)影像学检查:胸部CT,双肺多叶段炎症,部分肺组织实变。双侧胸腔积液(图 1A、1B)。颈部淋巴结彩超,双侧颈部淋巴结可见,左侧较大者1.2 cm×0.4 cm,右侧较大者1.1 cm×0.3 cm。头部CT(图 2)及心脏彩超无明显异常。
|
| A,肺窗;B,纵膈窗. 图 1 患儿入院第1天肺CT |
|
| 图 2 患儿入院第1天头部CT |
根据患儿的病史、查体、实验室及影像学检查,初步诊断:(1)急性重症支气管肺炎;(2)不典型川崎病可能性大;(3)脑炎可能性大。静脉滴注头孢曲松钠他唑巴坦钠(共15 d),针对川崎病采用丙种球蛋白(2 g/kg)静脉输注,支持治疗(白蛋白、输血、镇静)。
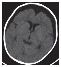
入院第2天(病程第6天)患儿双足及肛周出现散在红色斑疹。入院第7天双手、双足出现多处指甲与皮肤移行处脱皮,符合典型川崎病的诊断标准。分别于病程2~4 d(外院)和7~8 d进行2个疗程的丙种球蛋白(2 g/kg)治疗,发热无好转,外周血白细胞(19.06~24.80)×109/L;2次应用丙种球蛋白后C反应蛋白均出现一过性下降:第1次从 > 210.0 mg/L降至69.6 mg/L,第2次从56.3 mg/L降至28.0 mg/L,但3 d内再次升高至75.7 mg/L。铁蛋白7 d内逐步降至正常。入院第8天诊断为丙种球蛋白不反应型川崎病,加用静脉糖皮质激素[2 mg/(kg·d),共7 d],用药当日体温平稳,之后未再发热,外周血白细胞及C反应蛋白在使用激素后1周内逐步降至正常。入院第10天,头部MRI检查结果显示双侧额颞部硬膜下积液(图 3)。复查腰椎穿刺,脑脊液压力13 cmH2O。脑脊液常规检查:白细胞10×106/L,中性粒细胞百分比50%,单个核细胞50%。脑脊液生化检查:血糖3.93 mmol/L,蛋白1.14 g/L。1周后复查头部CT显示硬膜下积液无明显改变(图 4)。
|
| 图 3 患儿入院第10天头部MRI |
|
| 图 4 患儿入院第16天头部CT |
患儿结膜充血及皮疹于入院第8天后逐渐消失,第17天(停用激素后2 d)体温平稳,手足指(趾)脱皮明显减轻,感染指标恢复正常,3次心脏彩超均无异常,准予出院。出院诊断:(1)川崎病(丙种球蛋白不反应型);(2)化脓性脑膜炎可能性大;(3)急性重症支气管肺炎(双侧胸腔积液);(4)巨噬细胞活化综合征。
出院1周复查心脏彩超无异常,头部CT(图 5)显示硬膜下积液无明显吸收;出院第6个月复查头部MRI显示硬膜下积液基本吸收。目前患儿2岁4个月,生长发育、智力、听力、语言等发育基本正常。
|
| 图 5 患儿出院1周后复查头部CT |
2 讨论
研究[2]显示,近年来全球大多数地区川崎病取代风湿热成为小儿后天性心脏病的最常见原因。本例患儿共发热12 d,病程第2天开始应用广谱抗生素,发热不退,炎症指标无下降,提示除感染外可能存在非感染性免疫反应。随病情进展患儿逐步出现口唇红,双眼球结膜略充血,双侧颈部淋巴结肿大,手足硬肿,双足及肛周出现散在的红色皮疹以及双手、双足出现多个指(趾)甲与皮肤移行处脱皮,且血小板逐渐升高,临床症状符合美国心脏病学会(American heart association,AHA)制定的典型川崎病诊断标准[2]。
患儿病初氨基末端B型利钠肽前体(> 35 000 pg/mL)显著升高,第2次使用丙种球蛋白3 d后氨基末端B型利钠肽前体降至5 331 pg/mL,6 d后完全正常。有研究[3-4]表明氨基末端B型利钠肽前体在川崎病患儿急性期明显升高。CHO等[5]检测川崎病患儿血浆氨基末端B型利钠肽前体的变化,发现比C反应蛋白具有更高的特异性。柳颐龄等[6]研究结果表明急性川崎病患儿血浆氨基末端B型利钠肽前体水平较一般性感染患儿显著升高。2次使用丙种球蛋白后C反应蛋白出现一过性下降,随后继续升高,发热不退,出现了丙种球蛋白不反应现象。目前这种现象发生机制不清,一般认为与遗传有关,可能是Fcγ受体的多态性所致[7]。
有报道[8]指出川崎病急性期出现血小板减少预示着疾病严重。本例患儿发病早期血小板明显降低,提示炎症反应严重,可能与丙种球蛋白不反应型及合并严重并发症有关。因此,诊断或怀疑丙种球蛋白不反应时,可先再次给予患儿静脉输入丙种球蛋白进行治疗,如疗效仍不佳,可静脉应用糖皮质激素进行治疗[2]。TERAGUCHI等[9]研究显示,对丙种球蛋白不反应型川崎病患者静脉注射甲基强的松龙[30 mg/(kg·d)]连续3 d,随后甲泼尼松龙[1 mg/(kg·d)]连续7 d治疗,远期冠状动脉增宽的可能性并没有下降。本例患儿感染指标升高明显,同时可能合并化脓性脑膜炎,在使用激素时本来应该慎重,但患儿患病以来一直使用高级抗生素而感染指标及体温无好转,因此考虑这种炎症反应应该以免疫因素为主,在使用高级抗生素同时使用激素抑制免疫炎症反应,取得了比较好的疗效。
川崎病会导致多系统出现并发症,部分川崎病急性期还可出现休克表现[10]。本例患儿出现了肝功能异常,白蛋白降低,神经系统、呼吸系统改变。
川崎病是基于临床症状作出的诊断,过程复杂,不典型病例确诊花费时间长。本例患儿以发热、抽搐为主要症状入院,发病初期症状不典型,并且患儿脑脊液蛋白含量升高,细胞数增多,感染指标明显升高,容易导致仅治疗化脓性脑膜炎而忽视了川崎病的诊治。有研究[11]指出丙种球蛋白输注治疗后出现脑膜炎的川崎病患者占1%。TAKAGI等[12]报道了5例合并急性脑膜炎的川崎病患者,均有大脑前额硬膜下积液的表现。同时发现与普通川崎病患者比较,并发急性脑膜炎的川崎病患者C反应蛋白降至正常值所需时间更长,这表明其免疫炎症反应更重,容易成为重症急性脑膜炎。TAKAGI等[12]研究显示随访4例的神经系统并发症最终都完全消失,没有留下后遗症。因此可见这种脑膜炎与普通化脓性脑膜炎一样可以引起硬膜下积液,急性期病情较重,但是预后往往更好。本例患儿硬膜下积液6个月后消失,与以往研究[12]结果一致。
综上所述,川崎病能引发各个系统的免疫炎症反应,同时也可以引起少见的神经系统并发症。川崎病诊断复杂且滞后,容易造成误诊,进而延误治疗的最佳时机。合并了脑膜炎的丙种球蛋白不反应型川崎病患者,治疗上可联合应用激素类药物来抑制免疫炎症反应。
| [1] |
隋坤鹏, 孙一丹, 王海燕, 等. 川崎病治疗研究的新进展[J]. 医学综述, 2021, 27(1): 110-115. DOI:10.3969/j.issn.1006-2084.2021.01.021 |
| [2] |
MCCRINDLE BW, ROWLEY AH, NEWBURGER JW, et al. Diagnosis, treatment, and long-term management of Kawasaki disease: ascientific statement for health professionals from the American heart association[J]. Circulation, 2017, 135(17): e927-e999. DOI:10.1161/CIR.0000000000000484 |
| [3] |
MCNEAL-DAVIDSON A, FOURNIER A, SPIGELBLATT L, et al. Value of amino-terminal pro B-natriuretic peptide in diagnosing Kawasaki disease[J]. Pediatr Int, 2012, 54(5): 627-633. DOI:10.1111/j.1442-200x.2012.03609.x |
| [4] |
SATO YZ, MOLKARA DP, DANIELS LB, et al. Cardiovascular biomarkers in acute Kawasaki disease[J]. Int J Cardiol, 2013, 164(1): 58-63. DOI:10.1016/j.ijcard.2011.06.065 |
| [5] |
CHO SY, KIM Y, CHA SH, et al. Adjuvant laboratory marker of Kawasaki disease; NT-pro-BNP or hs-CRP?[J]. Ann Clin Lab Sci, 2011, 41(4): 360-363. |
| [6] |
柳颐龄, 石坤, 郭永宏, 等. NT-proBNP对川崎病的诊断价值[J]. 重庆医学, 2015, 44(5): 657-659. DOI:10.3969/j.issn.1671-8348.2015.05.028 |
| [7] |
CHANG LS, MING-HUEY GM, LO MH, et al. Identification of increased expression of activating Fc receptors and novel findings regarding distinct IgE and IgM receptors in Kawasaki disease[J]. Pediatr Res, 2019, 1-7. DOI:10.1038/s41390-019-0707-y |
| [8] |
ARORA K, GULERIA S, JINDAL AK, et al. Platelets in Kawasaki disease: is this only a numbers game or something beyond?[J]. Genes Dis, 2020, 7(1): 62-66. DOI:10.1016/j.gendis.2019.09.003 |
| [9] |
TERAGUCHI M, OGINO H, YOSHIMURA K, et al. Steroid pulse therapy for children with intravenous immunoglobulin therapy: resistant Kawasaki disease: a prospective study[J]. Pediatr Cardiol, 2013, 34(4): 959-963. DOI:10.1007/s00246-012-0589-9 |
| [10] |
ZAZOULINA J, CHEUNG CC, HURLBURT A, et al. A case of adult-onset Kawasaki disease shock syndrome complicated by coronary aneurysms[J]. CJC Open, 2019, 1(4): 206-208. DOI:10.1016/j.cjco.2019.04.001 |
| [11] |
KEMMOTSU Y, NAKAYAMA T, MATSUURA H, et al. Clinical characteristics of aseptic meningitis induced by intravenous immunoglobulin in patients with Kawasaki disease[J]. Pediatr Rheumatol Online J, 2011, 9: 28. DOI:10.1186/1546-0096-9-28 |
| [12] |
TAKAGI K, UMEZAWA T, SAJI T, et al. Meningoencephalitis in Kawasaki disease[J]. Hattatsu, 1990, 22(5): 429-435. |
2021, Vol. 50



