文章信息
- 佟晶, 李玉泽, 卑贵光, 刘娜, 金蓉, 陈梅
- TONG Jing, LI Yuze, BEI Guiguang
- 动脉自旋标记磁共振灌注成像对足月新生儿缺氧缺血性脑病严重程度的诊断价值
- Diagnostic Value of Arterial Spin Labeling MR Perfusion Imaging in Evaluating the Severity of Full-Term Neonatal Hypoxic Ischemic Encephalopathy
- 中国医科大学学报, 2019, 48(11): 1037-1040
- Journal of China Medical University, 2019, 48(11): 1037-1040
-
文章历史
- 收稿日期:2018-11-12
- 网络出版时间:2019-11-21 11:39
2. 北部战区总医院新生儿科, 沈阳 110812
新生儿缺氧缺血性脑病(hypoxic ischemic encephalopathy,HIE)是围产期窒息致脑缺氧缺血性损害,进而出现一系列中枢神经系统异常的疾病[1],HIE是引起患儿神经发育不良的重要原因[2]。磁共振成像(magnetic resonance imaging,MRI)是HIE的重要检查方法之一,常规MRI观察者间一致性一般[3],MRI检查不能反映脑血流量变化,而且对出生后7 d内的新生儿脑病诊断的敏感度低[4]。动脉自旋标记(arterial spin labeling,ASL)磁共振灌注成像是一种无创灌注方法[5],它利用选择性反转脉冲标记血液中的氢质子,能够测量相对脑血流量(relative cerebral blood flow,rCBF),反映脑组织内血流灌注情况[6]。ASL可以用于评估与脑损伤相关的脑血流量改变[7],对新生儿HIE的早期诊断及治疗具有重要意义。本研究探讨ASL磁共振灌注成像对足月新生儿HIE严重程度的诊断价值。
1 材料与方法 1.1 研究对象及分组收集我院放射科2016年5月至2018年8月行ASL检查的48例HIE足月新生儿的临床资料。依据2005年中华医学会儿科学分会修订的新生儿HIE诊断标准[1],选取确诊为HIE的足月新生儿。患儿的病因包括产钳、吸引器助产、滞产、羊水吸入、脐带绕颈,出生时窒息伴出生后青紫、抽搐、母亲孕期患有妊娠高血压综合征。并按HIE严重程度标准[1]将患儿分为轻度组(13例)、中度组(30例)和重度组(5例)。患儿母亲孕周37~42周,平均(39.4±2.2)周,患儿男21例,女27例,出生体质量2.14~3.97 kg,平均(3.19±0.45) kg,均为出生后3 d进行常规头MRI、扩散加权成像(diffusion weighted imaging,DWI)及ASL磁共振灌注成像检查。3组患儿性别、胎龄和体质量比较差异均无统计学意义(均P > 0.05),见表 1。本研究得到我院伦理委员会批准,取得所有患儿家属知情同意并签署知情同意书。
| 组别 | n | 男/女 | 胎龄(周) | 体质量(kg) |
| 轻度组 | 13 | 6/7 | 38.8±2.5 | 3.16±0.50 |
| 中度组 | 30 | 13/17 | 40.0±2.2 | 3.06±0.48 |
| 重度组 | 5 | 2/3 | 39.1±2.8 | 3.25±0.47 |
| P | 0.365 | 0.856 | 0.437 | 0.701 |
1.2 仪器与检查方法
应用3.0 T MR扫描仪(Discovery MR750,美国GE Healthcare公司)和8通道专用头部线圈对新生儿行头颅MRI扫描,检查前30 min给与患儿苯巴比妥钠(10 mg/kg)镇静。检查序列包括横断位T1WI,T2WI,T2 FLAIR,矢状位T2WI,DWI及ASL磁共振灌注成像。ASL磁共振灌注成像采用三维脉冲式ASL (pulsed arterial spin labeling,PASL),扫描参数为TR 4 389 ms,TE 10.5 ms,层厚4 mm,激励3次。
1.3 图像分析将ASL磁共振灌注成像图像应用ADW4.6 Functool软件,处理生成rCBF参数图,颜色差异代表不同血流灌注量。感兴趣区选取双侧基底节区(尾状核头和豆状核)、双侧丘脑区、双侧额、顶叶白质区和灰质区,测量时尽量避开静脉窦、外周血管、脑脊液等,双侧感兴趣区的位置及大小相同,同一部位测量3次。
1.4 统计学分析应用SPSS 20.0统计学软件进行分析。数据不服从正态分布,统计描述采用中位数(四分位间距)表示,组间比较采用Kruskal-Wallis H检验,组间差异有统计学意义再采用LSD检验进行组内比较,P < 0.05为差异有统计学意义。
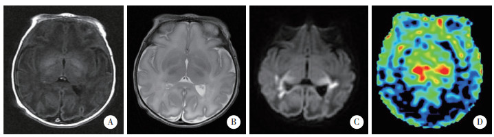
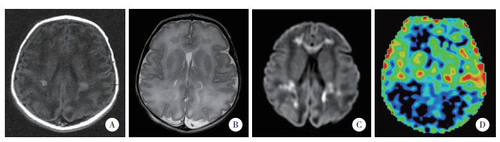
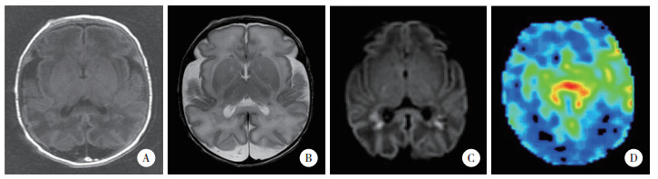
2 结果 2.1 3组ASL磁共振灌注成像检查结果所有患儿均获得满意图像。结果显示,轻度组中5例rCBF图像无显著变化,8例脑白质区灌注信号强度增高,见图 1。中度组中7例rCBF图像无显著变化,18例脑白质区灌注信号强度增高,11例脑灰质区灌注信号强度增高,14例基底节区和丘脑区灌注信号强度增高,见图 2。重度组中4例脑白质区灌注信号强度增高,3例脑灰质区灌注信号强度增高,2例基底节区灌注信号强度增高,2例丘脑内灌注信号强度增高,见图 3。
|
| A~C,常规MRI,双侧侧脑室后角旁可见点片状短T1短T2信号影,弥散加权呈高信号;D,ASL,脑白质区灌注信号强度增高. 图 1 轻度组典型病例MRI及ASL图像 |
|
| A~C,常规MRI,双侧侧脑室旁可见斑片状短T1短T2信号影,弥散加权呈高信号;D,ASL,脑灰质区灌注信号强度增高. 图 2 中度组典型病例MRI及ASL图像 |
|
| A~C,常规MRI,双侧侧脑室旁及胼胝体区可见多发斑片状短T1短T2信号影,弥散加权呈高信号;D,ASL,脑灰质区及白质区灌注信号强度增高. 图 3 重度组典型病例MRI及ASL图像 |
2.2 3组患儿脑部感兴趣区rCBF测量结果
结果显示,轻度组、中度组及重度组丘脑区和灰质区rCBF依次升高,组间、组内比较均有统计学差异(均P < 0.05)。豆状核rCBF3组间比较有统计学差异(P < 0.05);与重度组比较,轻度组与中度组有统计学差异(均P < 0.05);但轻度组与中度组比较无统计学差异(P > 0.05)。尾状核头和白质区rCBF3组比较无统计学差异(P > 0.05),见表 2。
| 组别 | rCBF[mL/(100 g·min)] | ||||
| 尾状核头 | 豆状核 | 丘脑 | 白质 | 灰质 | |
| 轻度组 | 36.75(15.50,64.73) | 50.14(25.31,78.02)1) | 44.75(29.41,66.83)1),2) | 40.50(14.43,59.53) | 7.75(5.01,9.76)1),2) |
| 中度组 | 30.21(14.34,88.29) | 50.50(33.25,84.17)1) | 49.86(28.24,76.71)1) | 49.62(35.75,65.36) | 10.50(8.70,19.15)1) |
| 重度组 | 40.33(20.76,69.02) | 58.75(39.62,97.81) | 52.25(37.26,106.33) | 46.67(24.79,97.25) | 13.00(10.26,27.32) |
| P | 0.42 | 0.04 | 0.02 | 0.37 | 0.03 |
| 1)与重度组比较,P < 0.05;2)与中度组比较,P < 0.05。 | |||||
3 讨论
ASL是一种全脑灌注成像技术,它利用自体动脉血中可以自由弥散的水分子作为内源性对比剂,利用反转脉冲于成像平面上游将动脉血中的氢质子标记,标记的动脉血受T1弛豫作用,引起组织纵向弛豫时间变化,将标记图像和未标记图像减影得出血流灌注图像[8]。
目前,ASL对足月新生儿HIE的诊断价值研究[9-13]大多为比较足月HIE患儿与正常新生儿脑部rCBF值,而根据足月新生儿的HIE严重程度来分析ASL诊断价值的研究较少。邢可舟等[14]研究发现足月新生儿HIE轻度组基底节及丘脑rCBF值低于中度组和重度组(P < 0.05),而轻度组、中度组和重度组间大脑白质区的rCBF差异没有统计学意义(P > 0.05),认为是脑深部灰质核团是脑代谢最旺盛区域,基底节及丘脑最易受到缺氧缺血损害所致。本研究结果显示患儿丘脑区和灰质区的rCBF值随HIE严重程度升高,3组差异具有统计学意义(P < 0.05)。豆状核rCBF值3组间比较有统计学差异(P < 0.05);与重度组比较,轻度组与中度组有统计学差异(均P < 0.05);但轻度组与中度组比较无统计学差异(P > 0.05)。尾状核头和白质区rCBF值3组比较无统计学差异(P > 0.05)。这可能因为分娩时新生儿发生脑缺氧缺血后脑血管进行血流量的自动调节分配,使缺血组织和器官重新获得血氧供应。有研究[15-16]认为脑血流量重新分配优先保证丘脑、基底节区以及灰质的血供,进而加剧白质缺血。ASL定量测量脑血流量变化,能够反映脑组织内血流灌注情况,有助于准确判断患儿HIE的严重程度。本研究中患儿均为生后3 d行ASL磁共振灌注成像检查,避免了因检查时间不同而造成的灌注差异,能有效避免偏倚,有研究[17-19]发现此阶段缺氧缺血损伤区域出现充血现象,可能是因为缺氧缺血后脑组织灌注压升高,脑血管调节能力恢复,血管通透性改变及组织缺氧等因素导致。
综上所述,ASL对足月新生儿HIE的严重程度具有一定的诊断价值。测量丘脑区及灰质区rCBF值有助于评估HIE的严重程度。本研究存在一定不足之处:(1)信噪比较低、对被检者运动高度敏感;(2) rCBF值易受磁化传递效应、静脉及脑脊液的部分容积效应等影响,存在偏差;(3)样本量较少,有待扩大样本量进一步深入研究。
| [1] |
中华医学会儿科学分会新生儿学组. 新生儿缺氧缺血性脑病诊断标准[J]. 中华儿科杂志, 2005, 43(8): 584. DOI:10.3760/j.issn:0578-1310.2005.08.007 |
| [2] |
鲁洪, 张来安, 郭玉君. 磁共振弥散加权成像在新生儿缺氧缺血性脑病早期诊断中的临床应用价值[J]. 医学影像学杂志, 2017, 27(5): 797-800. |
| [3] |
JOUVET P, COWAN FM, COX P, et al. Reproducibility and accuracy of MR imaging of the brain after severe birth asphyxia[J]. AJNR Am J Neuroradiol, 1999, 20(7): 1343-1348. |
| [4] |
THAYYIL S, CHANDRASEKARAN M, TAYLOR A, et al. Cerebral magnetic resonance biomarkers in neonatal encephalopathy:a meta-analysis[J]. Pediatrics, 2010, 125(2): e382-e395. DOI:10.1542/peds.2009-1046 |
| [5] |
ALSOP DC, DETRE JA, GOLAY X, et al. Recommended implementation of arterial spin-labeled perfusion MRI for clinical applications:a consensus of the ISMRM perfusion study group and the European consortium for ASL in dementia[J]. Magn Reson Med, 2015, 73(1): 102-116. DOI:10.1002/mrm.25197 |
| [6] |
TORTORA D, MATTEI PA, NAVARRA R, et al. Prematurity and brain perfusion:arterial spin labeling MRI[J]. Neuroimage Clin, 2017, 15: 401-407. DOI:10.1016/j.nicl.2017.05.023 |
| [7] |
HALLER S, ZAHARCHUK G, THOMAS DL, et al. Arterial spin labeling perfusion of the brain:emerging clinical applications[J]. Radiology, 2016, 281(2): 337-356. DOI:10.1148/radiol.2016150789 |
| [8] |
FERRÉ JC, BANNIER E, RAOULT H, et al. Arterial spin labeling (ASL) perfusion:techniques and clinical use[J]. Diagn Interv Imaging, 2013, 94(12): 1211-1223. DOI:10.1016/j.diii.2013.06.010 |
| [9] |
孟琳琳, 王青, 李宜芳, 等. MR ASL灌注成像在足月新生儿缺氧缺血性脑病诊断中的应用[J]. 山东大学学报(医学版), 2014, 52(2): 65-68. |
| [10] |
史浩, 宋丹, 张永霞, 等. 新生儿缺氧缺血性脑病磁共振动脉自旋标记成像33例报告[J]. 中华儿科杂志, 2012, 50(2): 131-135. DOI:10.3760/cma.j.issn.0578-1310.2012.02.011 |
| [11] |
WINTERMARK P, MOESSINGER AC, GUDINCHET F, et al. Temporal evolution of MR perfusion in neonatal hypoxic-ischemic encephalopathy[J]. J Magn Reson Imaging, 2008, 27(6): 1229-1234. DOI:10.1002/jmri.21379 |
| [12] |
冀旭, 范国光. 连续动脉自旋标记磁共振灌注成像对足月缺氧缺血性脑病患儿的初步研究[J]. 磁共振成像, 2011, 2(1): 19-23. DOI:10.3969/j.issn.1674-8034.2011.01.006 |
| [13] |
唐世龙, 何玲, 刘波, 等. 三维动脉自旋标记灌注成像结合标记后延迟时间在新生儿缺氧缺血性脑病中的应用[J]. 中国医学影像学杂志, 2018, 26(12): 928-933. DOI:10.3969/j.issn.1005-5185.2018.12.012 |
| [14] |
邢可舟, 孔晓勤, 葛亚平, 等. 新生儿缺氧缺血性脑病的磁共振弥散张量成像及动脉自旋标记技术的诊断价值研究[J]. 中华脑科疾病与康复杂志(电子版), 2016, 6(1): 37-41. |
| [15] |
MENG SZ, QIAO M, SCOBIE K, et al. Evolution of magnetic resonance imaging changes associated with cerebral hypoxia-ischemia and a relatively selective white matter injury in neonatal rats[J]. Pediatr Res, 2006, 59(4 Pt 1): 554-559. DOI:10.1203/01.pdr.0000203099.40643.84 |
| [16] |
WU TW, TAMRAZI B, HSU KH, et al. Cerebral lactate concentration in neonatal hypoxic-ischemic encephalopathy:in relation to time, characteristic of injury, and serum lactate concentration[J]. Front Neurol, 2018, 9: 293. DOI:10.3389/fneur.2018.00293 |
| [17] |
DE HAVENON A, SULTAN-QURRAIE A, TIRSCHWELL D, et al. Medial occipital lobe hyperperfusion identified by arterial spin-labeling:a poor prognostic sign in patients with hypoxic-ischemic encephalopathy[J]. AJNR Am J Neuroradiol, 2015, 36(12): 2292-2295. DOI:10.3174/ajnr.A4444 |
| [18] |
AL MAMUN A, CHAUHAN A, YU HF, et al. Interferon regulatory factor 4/5 signaling impacts on microglial activation after ischemic stroke in mice[J]. Eur J Neurosci, 2018, 47(2): 140-149. DOI:10.1111/ejn.13778 |
| [19] |
DE VIS JB, HENDRIKSE J, PETERSEN ET, et al. Arterial spin-labelling perfusion MRI and outcome in neonates with hypoxic-ischemic encephalopathy[J]. Eur Radiol, 2015, 25(1): 113-121. DOI:10.1007/s00330-014-3352-1 |
2019, Vol. 48



