文章信息
- 杜国强, 王瑾, 柳斌
- 扁桃体滤泡树突状细胞肉瘤伴转移1例报告及文献复习
- Metastatic Follicular Dendritic Cell Sarcoma of the Tonsil: a Case Report and Literature Review
- 中国医科大学学报, 2018, 47(2): 180-182
- Journal of China Medical University, 2018, 47(2): 180-182
-
文章历史
- 收稿日期:2017-04-19
- 网络出版时间:2018-01-08 10:55
1986年MONDA等[1]首先报道了起源于滤泡树突状细胞的细胞肉瘤(follicular dendritic cell sarcoma,FDCS),淋巴结外起源的FDCS病例少有报道[2-4]。现将本院收治的1例原发于扁桃体伴颈部转移的FDCS患者诊疗经过报道如下:
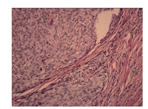
1 临床资料患者,男,62岁,1年前发现扁桃体肿物,触之有血性分泌物,咽部异物感。于外院行电子喉镜检查显示右侧扁桃体及下极欠光滑新生物;病理检查结果显示黏膜下见梭形及卵圆形细胞增生,不除外FDCS。给予保守治疗。1个月前患者因发现颈部包块来我院。查体结果,颈右Ⅲ区触及肿大淋巴结,约3 cm×1 cm,活动良好,触痛阴性。右扁桃体Ⅲ度大,增生改变,表面欠光滑,触之质韧,与周围无明显粘连、侵犯。喉增强CT见右扁桃体占位,明显强化,右颈部多发淋巴结肿大。病理报告为鳞状上皮增生伴轻度异型增生。我科于2016年8月给予右扁桃体剥离、右颈肿物切除并Ⅱ~Ⅳ区颈淋巴结清扫术,术中见扁桃体与外被膜无明显粘连。术后病理镜检结果为瘤组织由呈束状、片状排列的短梭形瘤细胞构成(图 1)。免疫组化结果为Vimentin(+)、CD23(+)、CD21(+)、CD35(+)、Ki-67(约30%+)。病理诊断为FDCS,累及颈清淋巴结(1/4)。患者术后颈部调强放疗(54 Gy/27 f),2017年1月随访恢复良好。
|
| FDCS瘤细胞多为短梭形,呈束状、片状排列. 图 1 术后病理检查结果×20 |
2 讨论
FDCS较罕见,好发年龄为30~50岁,男女无差别[5]。现普遍认为属低度恶性肿瘤。发病机制尚不明确,CAKIR等[6]认为FDCS由血管滤泡性淋巴组织增生而来,与透明血管型Castleman病有关。
2.1 临床表现FDCS分为淋巴结型和淋巴结外型。淋巴结型FDCS(尤其颈部及腋窝淋巴结)恶性程度相对较高,临床症状主要是肿瘤无痛性缓慢生长及肿块局部侵犯,多无全身症状,主要表现为颈部和腋下浅表淋巴结肿大,也可表现为周身淋巴结或脾脏肿大。淋巴结外型FDCS可发生于颅内、扁桃体、腮腺、肺、乳腺、甲状腺、肝、小肠、脾、胃肠、腹膜后腔等,多有局部压迫症状[7]。通常认为FDCS少有转移,最常见的转移部位是淋巴结、肝脏、胰腺、腹膜和肺部。但也有报道持否定观点。2006年SHIA等[8]总结47例结外型FDCS患者,提出FDCS的复发率为43%。2010年LI等[9]提出结外型FDCS复发率和转移率分别为42%和21%。本例原发病灶在扁桃体,1年内伴随周围淋巴结转移。因此,结外型FDCS具有较高的侵袭性。若发现直径 > 5 cm的肿瘤,肿瘤内有缺血坏死,瘤细胞异型性明显、核分裂象增多(≥5个/10 HPF),其侵袭性及复发率高,应高度警惕。
2.2 诊断FDCS的诊断标准尚未达成共识。CT、MRI等影像学上的表现与其他实体肿瘤无明显差异。目前最为常用的诊断依据包括病理组织学特点及超微结构分析。
2.2.1 光镜下组织学特征FDCS瘤细胞排列方式多样,呈席纹状、丛生状、漩涡状。瘤细胞大小不一,多呈卵圆形、梭形或多角形,细胞界限不清,呈融浆样,可见单核、多核瘤巨细胞或合体样细胞。胞质丰富,嗜淡伊红色,胞核卵圆形或拉长,外形较规则,核膜厚薄不一,核仁居中,小而清楚,为2个或多个。染色质稀疏可见核沟及核内包涵体。瘤细胞间常有淋巴组织包绕在血管周围,形成血管淋巴套[10-11]。偶见淋巴细胞、上皮样细胞、浆细胞、中性粒细胞及嗜酸性粒细胞浸润。
2.2.2 免疫组化染色根据组织学结果一旦考虑为FDCS,即需通过免疫组化染色来支持诊断。FDCS的特征性免疫标记为CD21,CD35、CD23和KI-M4P,还可见CD68、CD18、CD11a、Vimentin、S-100蛋白、EAM及SMA的弱阳性表达[12]。本病例瘤细胞Vimentin、CD23、CD21、CD35阳性,组织学形态及免疫标记均符合FDCS,结合病史,FDCS诊断成立。
2.2.3 电镜下超微结构FDCS细胞胞质有长而明显的绒毛状突起,可与相邻细胞的胞突交错镶嵌,形成细胞团,细胞间由胞质内桥粒及半桥粒结构连接。胞质内拥有丰富的内质网和线粒体,存在散在的溶酶体及成熟的高尔基体。细胞核呈梭形或卵圆形,核膜不规则,染色质浓缩在核的边缘,可见明显核仁[13]。
2.3 治疗针对FDCS的治疗方案尚无统一标准。根治性手术可作为治疗局限性FDCS的首选方案。但是单纯手术切除仍有较高的复发率。术后辅助性放化疗可以减少复发、延长无病生存期。对于术后复发病例可再次手术切除或放化疗。蔡智等[14]曾报道1例扁桃体FDCS患者,扁桃体根治切除术后1年发现颈淋巴结转移,遂行双侧选择性颈廓清术,术后放疗(剂量DT50GX),其后5年患者无瘤生存。
目前,一些试验性的化疗方案已应用于临床,为术后辅助化疗及无法手术患者的治疗提供了可能。例如ABVD(阿霉素、博莱霉素、长春新碱、氮烯米胺)方案、CHOP方案、2-CDA(2-氯脱氧腺苷)方案、DHAP(地塞米松、顺铂、阿糖胞苷)方案或多种方案联合放疗等[15]。不过这些化疗方案的报道均为个例,还不能成为治疗FDCS的常规化疗方案。而且有报道[16]称这些化疗方案对FDCS不能产生持久的抗瘤效应,远期疗效不理想。
综上所述,FDCS的恶性程度仍未达成共识,一旦发现应高度重视,确诊后应积极手术治疗,术后配合放疗或化疗以提高生存率及无瘤生存时间。同时,也期待进一步研究和总结,制定出规范化的诊断和治疗指南来指导临床工作。
| [1] |
MONDA L, WARNKE R, ROSAI J. A primary lymph node malignancy with features suggestive of dendritic reticulum cell differentiation[J]. Am J Pathol, 1986, 122(3): 562-572. |
| [2] |
阴丽慧, 殷茵, 刘明东, 等. 孕期结肠滤泡树突状细胞肉瘤1例[J]. 临床肿瘤学杂志, 2016, 21(6): 575-576. |
| [3] |
AMIRTHAM U, MANOHAR V, KAMATH MP, et al. Clinicopathological profile and outcomes of follicular dendritic cell sarcoma of the head and neck region-a study of 10 cases with literature review[J]. J Clin Diagn Res, 2016, 10(8): XC08-XC11. DOI:10.7860/JCDR/2016/19763.8386 |
| [4] |
WANG L, XU D, QIAO Z, et al. Follicular dendritic cell sarcoma of the spleen:a case report and review of the literature[J]. Oncol Lett, 2016, 12(3): 2062-2064. DOI:10.3892/ol.2016.4826 |
| [5] |
TISCH M, HENGSTERMANN F, KRAFT K, et al. Follicular dendritic cell sarcoma of the tonsil:report of a rare case[J]. Ear Nose Throat J, 2003, 82(7): 507-509. |
| [6] |
CAKIR E, AYDIN NE, SAMDANCI E, et al. Follicular dendritic cell sarcoma associated with hyaline-vascular Castleman's disease[J]. Pak Med Assoc, 2013, 63(3): 393-395. |
| [7] |
HWANG YY, CHAN JC, TRENDELL-SMITH NJ, et al. Recalcitrant paraneoplastic pemphigus associated with follicular dendritic cell sarcoma:response to prolonged rituximab and ciclosporin therapy[J]. Int Med J, 2014, 44(11): 1145-1146. DOI:10.1111/imj.12576 |
| [8] |
SHIA J, CHEN W, TANG LH, et al. Extranodal follicular dendritic cell sarcoma:clinical, pathologic, and histogenetic characteristics of an underrecognized disease entity[J]. Virchows Arch, 2006, 449(2): 148-158. DOI:10.1007/s00428-006-0231-4 |
| [9] |
LI L, SHI YH, GUO ZJ, et al. Clinicopathological features and prognosis assessment of extranodal follicular dendritic cell sarcoma[J]. World J Gastroenterol, 2010, 16(20): 2504-2519. DOI:10.3748/wjg.v16.i20.2504 |
| [10] |
HU T, WANG X, YU C, et al. Follicular dendritic cell sarcoma of the pharyngeal region[J]. Oncol Lett, 2013, 5(5): 1467-1476. DOI:10.3892/ol.2013.1224 |
| [11] |
GE R, LIU C, YIN X, et al. Clinicopathologic characteristics of inflammatory pseudotumor-like follicular dendritic cell sarcoma[J]. Int J Clin Exp Pathol, 2014, 7(5): 2421-2429. |
| [12] |
VIOLA P, VROOBEL KM, DEVARAJ A, et al. Follicular dendritic cell tumour/sarcoma:a commonly misdiagnosed tumour in the thorax[J]. Histopathology, 2016, 69(5): 752-761. DOI:10.1111/his.12998 |
| [13] |
SCHRAMM B, VALEH PS, BAUDIN E, et al. Efficacy of artesunate-amodiaquine and artemether-lumefantrine fixed-dose combinations for the treatment of uncomplicated Plasmodium falciparum malaria among children aged six to 59 months in Nimba County, Liberia:an open-label randomized non-inferiority trial[J]. Malar J, 2013, 12: 251. DOI:10.1186/1475-2875-12-251 |
| [14] |
蔡智, 郑世信, 高重阳. 扁桃体滤泡树突状细胞肉瘤1例及文献复习[J]. 山东大学耳鼻喉眼学报, 2012, 26(1): 55-57. |
| [15] |
NUNN AJ, COOK SV, BURGOS M, et al. Results at 30 months of a randomised trial of FDCs and separate drugs for the treatment of tuberculosis[J]. Int J Tuberculosis Lung Dis, 2014, 18(10): 1252-1254. DOI:10.5588/ijtld.14.0281 |
| [16] |
WANG L, CHENG H, LI J, et al. Extranodal follicular dendritic cell sarcoma of the soft palate:a case report[J]. Int J Clin Exp Pathol, 2014, 7(12): 8962-8966. |
2018, Vol. 47


