文章信息
- 史婧文, 陈云云, 杨晔, 师雯, 李考, 黄瑛
- SHI Jingwen, CHEN Yunyun, YANG Ye, SHI Wen, LI Kao, HUANG Ying
- 不同离体组织射频消融气化范围的对比研究
- An in vitro Comparative Study of Gasification Induced by Radiofrequency Ablation in Different Tissues
- 中国医科大学学报, 2018, 47(1): 13-16, 21
- Journal of China Medical University, 2018, 47(1): 13-16, 21
-
文章历史
- 收稿日期:2017-05-10
- 网络出版时间:2017-12-20 14:25
目前,射频消融(radiofrequency ablation,RFA)作为一种安全、有效的治疗方法,已被越来越多的人所接受,且对于肿瘤术后复发[1]、年龄较大或不适宜手术治疗的患者来说,可有效阻止病灶的发展,并提高患者生活质量。目前较多用于肝脏、甲状腺肿瘤、子宫肌瘤等的治疗。RFA治疗肿瘤是在超声引导下,根据消融的气化范围推测实际消融范围,故了解消融时间和功率与气化范围的关系,有助于精准的进行肿瘤消融。本研究分别对离体新鲜猪肌肉组织、猪肝组织进行RFA,观察时间和功率的变化对不同组织气化范围的影响,为RFA治疗肿瘤提供参考依据。
1 材料与方法 1.1 材料与仪器由市场购得离体新鲜猪肌肉(外脊,以下称肌肉组织)、猪肝(以下称肝组织)各54块,大小约5 cm×3 cm×5 cm。采用射频治疗仪(WB991029型,日本OLYMPUS公司),射频电极前端尖锐,总长度为200 mm,尖端工作区域为30 mm,电极针直径为1.8 mm。使用超声仪(LOGIQ E9,美国GE公司)及ML 6-15 (频率4.0~13.0 MHz)探头。
1.2 实验方法取新鲜肌肉组织、肝组织各54块,随机分为9组,每组均包括6块肌肉组织、6块肝组织。超声引导下将射频电极插入组织内,进针深度约为标本长度的2/3,以15、30、45 W的功率,分别消融30、60、90 s,每组6个消融灶。超声引导下观察并测量气化范围最大切面的纵径(long diameter,Dl)、横径(short diameter,Ds)及厚径(thick diameter,Dt),并计算体积,体积=Dl×Ds×Dt×π/6[2],对比不同时间和功率下气化范围的大小。实验重复3次,取平均值。
1.3 统计学分析采用SPSS 22.0软件进行统计学分析,计量资料用x±s表示,采用独立样本t检验对肌肉组织与肝组织超声下气化范围进行比较,采用相关性分析比较气化范围与功率和消融时间的关系。P < 0.05为差异有统计学意义。
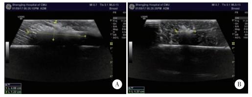
2 结果 2.1 超声观察随着RFA的进行,超声图像可见逐渐扩大的高回声气化区,待消融结束后,观察气化区边界欠清晰,质地较均匀,数秒后气化区边界不明显,与未消融部位回声相近(图 1)。
|
| A,long and short diameters of gasification volumes following radiofrequency ablation at 45 W for 60 s in muscle;B,maximum diameter of gasification volume following ablation at 45 W for 60 s in muscle. 图 1 RFA的超声图像 Fig.1 Ultrasound images following RFA |
2.2 超声气化范围与功率和消融时间的关系
在一定范围内,不同组织中随消融功率的增加(功率由15、30到45 W)和消融时间的延长(消融30、60、90 s),超声气化范围所也会相应变化(图 2)。
|
| A, differences in gasification volumes in muscle; B, differences in gasification volumes in liver. 图 2 RFA后随时间和功率的改变超声下气化范围的变化 Fig.2 Differences in gasification volumes following RFA according to differences in duration and power |
肌肉组织中,消融功率为15~45 W,时间为30~60 s时气化范围增速明显,而时间为60~90 s时气化范围增速减慢甚至减小。消融功率为15 W (r = 0.797,P < 0.001)、30 W (r = 0.688,P < 0.001)、45 W (r = 0.634,P < 0.001)时,气化范围与消融时间均呈正相关。
肝组织中,消融功率为15和30 W时,随着消融时间的增加,超声下气化范围增加,在30~60 s时气化范围增速较缓,在60~90 s时气化范围增速较快。消融功率为45 W时,在30~60 s时气化范围增速较快,其气化范围高于15 W功率下的气化范围,而低于30 W功率下的气化范围,在60~90 s时气化范围迅速减低,低于15和30 W功率下的气化范围。消融功率为15 W (r = 0.594,P < 0.001)、30 W (r = 0.503,P < 0.001)时,气化范围与消融时间呈正相关,消融功率为45 W时(r = -0.005,P = 0.969),气化范围与消融时间无显著相关性。
2.3 不同组织RFA超声气化范围的差异消融功率为15~45 W,消融时间为30~90 s时,肌肉组织与肝组织气化范围见表 1。RFA时,肌肉组织与肝组织的气化范围有统计学差异。功率为15和30 W时,肌肉组织消融后气化范围显著小于肝组织(P < 0.05),功率为45 W时,肌肉组织消融后气化范围显著大于肝组织(P < 0.05)。
| Ablation power | Muscle | Liver | Difference | P |
| 15 W | ||||
| 30 s | 0.525±0.217 | 0.955 ±1.571 | -0.430±0.355 | 0.240 |
| 60 s | 1.126±0.446 | 1.497±0.436 | -0.370±0.139 | 0.012 |
| 90 s | 1.737±0.444 | 2.780±0.680 | -1.042±0.181 | < 0.001 |
| 30 W | ||||
| 30 s | 1.003±0.273 | 2.180±0.829 | -1.177±0.195 | < 0.001 |
| 60 s | 2.521±0.610 | 2.423±0.749 | 0.099±0.216 | 0.650 |
| 90 s | 2.422±0.521 | 3.248±0.682 | -0.826±0.192 | < 0.001 |
| 45 W | ||||
| 30 s | 1.698±0.476 | 1.540±0.354 | 0.158±0.133 | 0.241 |
| 60 s | 2.878±0.743 | 2.437±0.536 | 0.440±0.204 | 0.039 |
| 90 s | 3.271±1.023 | 1.531±0.687 | 1.740±0.276 | < 0.001 |
3 讨论
RFA是在影像技术引导下,将射频针插入肿瘤内通过射频能量使病灶局部组织产生高温、干燥,最终凝固和灭活软组织及肿瘤。其原理是[3]利用中高频率的射频电流(460 kHz),通过裸露的电极针使其周围组织产生高速离子振动和摩擦,产生生物热。肿瘤细胞达到42.5℃以上,便开始出现细胞毒性反应。随消融时间延长,温度升高,射频针尖周围出现的强回声气化区范围逐渐扩大,细胞发生不可逆的损伤,从而达到消除肿瘤、治愈疾病的目的。
近年来,超声引导下的RFA技术在国内外得到了开展,且因治疗具有微创、美观、避免手术治疗、可反复操作、并发症少且轻等优点已广泛用于实体性肿瘤的治疗[4],在一些肿瘤(尤其是肝脏肿瘤)中的治疗效果与手术治疗效果相近或优于手术治疗[5]。现阶段,RFA治疗范围更加广泛,THOMPSON等[6]指出RFA也应用于肉瘤的治疗。ESPINOSA等[7]指出B期肝细胞癌患者在肝切除术联合术中RFA和动脉栓塞(transarterial embolization,TAE)后具有更好的生存率和更长的生存时间(分别为P = 0.011和P < 0.001)。BERTACCO等[8]报道RFA控制了破裂的肝细胞癌出血病例。很多研究者认为肿瘤局部复发率高的主要原因是RFA时肿瘤组织消融不完全[9],随着RFA应用更加广泛,对RFA治疗范围的精准性提出了新的要求[10]。超声引导下RFA在术中主要通过气化范围估测消融范围,并对肿瘤进行消融。故本研究拟通过RFA肌肉组织、肝组织的实验,探讨超声引导下不同组织在一定输出功率、消融时间下气化范围的差异,为临床RFA治疗肝、甲状腺等肿瘤提供参考依据。
组织消融后受热瞬间爆破产生气体,高回声的气体向消融灶周围扩散产生气化区。肌肉组织中,相同功率下,随消融时间的增加,超声下气化范围增大,功率为15~45 W、时间为30~60 s时,气化范围增大迅速,而在60~90 s时,气化范围增速减慢甚至范围减小。肝组织中,功率为15和30 W时,随消融时间的增加,超声下气化范围增加,但消融时间在30~60 s与60~90 s时,超声下气化范围增大速率不同,消融功率为45 W时,消融90 s时气化范围小于15和30 W功率下相同消融时间的气化范围。这可能由于不同组织对消融功率的敏感度不同,产生最大气化范围需要的时间可能不同。RUSTAGI等[11]的研究表明,过高功率产生的消融灶及其长径反常减小,这可能由于在大功率下小口径(1Fr) RFA可致周围肝组织的快速碳化,随后增加的阻抗阻碍了电流的传导,使消融范围不再继续扩大,热能向外扩散能力低,同理在高功率下肝组织气化范围也会相对减小。CHOE [12]指出,使用低功率RFA可延迟气化爆破时间,同时可产生与高功率消融相似的治疗效果,但高功率产生的最大爆破时间出现较早,待数十秒后超声测量时,由爆破产生的气化范围消失,故高功率下测得的气化范围较小。也可能由于消融一定时间后,组织完全脱水,阻抗极高[13],使得气化扩散能力下降,在高功率下超声观察到的RFA气化范围减小。在肌肉组织中,超声下气化范围随功率和消融时间的增加而增大,在肝组织中,消融功率 < 45 W时,气化范围与功率、时间呈正相关,但当功率达45W时,气化范围反减小,即在一定范围内,气化范围随消融时间、功率的增加而扩大,达到一定值后,气化范围就不再增大,甚至会减小。
相同功率、相同消融时间、不同组织在超声下气化范围有显著差异,故对于有不同基础疾病的患者,RFA后气化范围的大小也可能有差别。如甲状腺恶性结节与良性结节相比硬度更均匀[14],有纤维化改变,水分减少,因此与正常甲状腺相比,它的阻抗更高,RFA时超声所见的最大气化范围可能会减小。由于CT的成像原理为不同组织的密度不同,导致其吸收系数不同,因此成像的灰度不同,而磁共振弛豫时间可定量测量组织成分和含水量。DAGINAWALA [15]的研究中CT图像显示,肝硬化的组织与正常肝组织的质地存在显著差异。YOKOO等[16]的研究也表明MRI可定性或定量的显示二者之间存在显著差异,且有较高的灵敏度和特异度。故患有肝硬化的患者,其肝脏的致密程度、含水量与正常肝组织间可能存在一定差异,在RFA时二者超声下气化范围也可能存在差异。因此,消融功率和时间不同,消融范围不同,对于有不同基础疾病的患者,使用RFA治疗时,超声下消融的气化范围也可能不同。故为保证消融范围准确,在射频治疗过程中应采用个体化治疗,合理推断一定气化范围下的实际消融范围,注意保护周围重要组织结构,保持一定的安全距离。
本研究尚存在一定的局限性。首先,由于最大气化范围的捕捉与测量存在一定的差异,不排除测量时气化范围已部分消失的可能;其次,本研究采用新鲜离体猪组织进行实验研究,但仍存在缺乏血流灌注、组织温度,与活体有一定差异等因素,因此研究结果有待进一步活体实验及临床实验的验证。
| [1] |
KIM JH, BAEK JH, SUNG JY, et al. Radiofrequency ablation of low-risk small papillary thyroidcarcinoma:preliminary results for patients ineligible for surgery[J]. Int J Hyperthermia, 2016, 1-11. DOI:10.1080/02656736.2016.1230893 |
| [2] |
李倩倩, 周平. 微波、射频及激光在离体猪甲状腺消融实验的对比研究[J]. 中国普通外科杂志, 2016, 25(5): 675-679. DOI:10.3978/j.issn.1005-6947.2016.05.009 |
| [3] |
周茂胜, 常欣. 射频消融原理及应用[J]. 当代医学, 2009, 15(21): 18-19. DOI:10.3969/j.issn.1009-4393.2009.21.012 |
| [4] |
XU L, RONG Y, WANG W, et al. Percutaneous radiofrequency ablation with contrast-enhanced ultrasonography for solitary and sporadic renal cell carcinoma in patients with autosomal dominant polycystic kidney disease[J]. World J Surg Oncol, 2016, 14(1): 193. DOI:10.1186/s12957-016-0916-3 |
| [5] |
KIM JH, YOO WS, PARK YJ, et al. Efficacy and safety of radiofrequency ablation for treatment of locally recurrent thyroid cancers smaller than 2 cm[J]. Radiology, 2015, 276(3): 909-918. DOI:10.1148/radiol.15140079 |
| [6] |
THOMPSON SM, SCHMITZ JJ, SCHMIT GD, et al. Image-guided thermal ablative therapies in the treatment of sarcoma[J]. Curr Treat Options Oncol, 2017, 18(4): 25. DOI:10.1007/s11864-017-0465-1 |
| [7] |
ESPINOSA W, LIU YW, WANG CC, et al. Combined resection and radiofrequency ablation versus transarterial embolization for intermediate-stage hepatocellular carcinoma:a propensity score matching study[J]. J Formos Med Assoc, 2017. DOI:10.1016/j.jfma.2017.03.014 |
| [8] |
BERTACCO A, D'AMICO F, ROMANO M, et al. Liver radiofrequency ablation as emergency treatment for a ruptured hepatocellular carcinoma:a case report[J]. J Med Case Rep, 2017, 11(1): 54. DOI:10.1186/s13256-017-1199-1 |
| [9] |
XU HX, LU MD, XIE XY, et al. Prognostic factors for long-term outcome after percutaneous thermal ablation for hepatocellular carcinoma:a survival analysis of 137 consecutive patients[J]. Clin Radiol, 2005, 60(9): 1018-1025. DOI:10.1016/j.crad.2005.04.009 |
| [10] |
彭彩碧, 文重远, 李竞, 等. 射频消融猪甲状腺毁损灶形成的实验研究及意义初探[J]. 实用医学杂志, 2005, 21(23): 2604-2606. DOI:10.3969/j.issn.1006-5725.2005.23.003 |
| [11] |
RUSTAGI T, GLEESON FC, ABU DBK, et al. Evaluation of effects of radiofrequency ablation of ex vivo liver using the 1-Fr wire electrode[J]. J Clin Gastroenterol, 2017. DOI:10.1097/MCG.0000000000000808 |
| [12] |
CHOE J, KIM KW, KIM YI, et al. Feasibility of a low-power radiofrequency ablation protocol to delay steam popping[J]. J Vasc Interv Radiol, 2016, 27(2): 268-274. DOI:10.1016/j.jvir.2015.10.009 |
| [13] |
ZHANG B, MOSER MA, ZHANG EM, et al. A new approach to feedback control of radiofrequency ablation systems for large coagulation zones[J]. Int J Hyperthermia, 2017, 33(4): 367-377. DOI:10.1080/02656736.2016.1263365 |
| [14] |
KIM SY, KIM EK, MOON HJ, et al. Application of texture analysis in the differential diagnosis of benign and malignant thyroid nodules:comparison with gray-scale ultrasound and elastography[J]. AJR Am J Roentgenol, 2015, 205(3): W343-351. DOI:10.2214/AJR.14.13825 |
| [15] |
DAGINAWALA N, LI B, BUCH K, et al. Using texture analyses of contrast enhanced CT to assess hepatic fibrosis[J]. Eur J Radiol, 2016, 85(3): 511-517. DOI:10.1016/j.ejrad.2015.12.009 |
| [16] |
YOKOO T, WOLFSON T, IWAISAKO K, et al. Evaluation of liver fibrosis using texture analysis on combined-contrast-enhanced magnetic resonance images at 3.0T[J]. Biomed Res Int, 2015, 2015: 387653. DOI:10.1155/2015/387653 |
2018, Vol. 47


