文章信息
- 刘亭睁, 张志波
- LIU Tingzheng, ZHANG Zhibo
- 金属蛋白酶7及金属蛋白酶19在胆道闭锁幼鼠动物模型肝脏组织中的表达
- Expression of Matrix Metalloproteinase-7 and -19 in Liver Tissues of Rats with Biliary Atresia
- 中国医科大学学报, 2017, 46(12): 1071-1075, 1081
- Journal of China Medical University, 2017, 46(12): 1071-1075, 1081
-
文章历史
- 收稿日期:2017-04-10
- 网络出版时间:2017-11-30 17:58
胆道闭锁(biliary atresia,BA)是婴幼儿梗阻性黄疸最常见的原因之一,晚期可致不可逆性肝硬化[1],不经治疗很难生存至1岁。现通过肝门空肠吻合术(Kasai术式)重建胆道,引流胆汁。但即使在Kasai术后成功建立胆汁引流通路,多数患儿肝内胆管损害和肝纤维化仍呈渐进性进展,最终发展成为终末期肝硬化。BA已成为儿童期肝移植最常见的原因[2-3]。影响BA预后的主要原因为难以控制的进行性肝纤维化,其发生原因尚不清楚。
本研究组对BA患者肝脏组织进行基因表达谱芯片研究时发现,基质金属蛋白酶(matrix metalloproteinases,MMPs)家族成员MMP-7和MMP-19表达差异显著。本研究检测不同处理时期的胆总管结扎(bile duct ligation,BDL)幼鼠动物模型肝脏组织MMP-7和MMP-19表达水平的变化特点,探讨二者在BA肝纤维化中的作用及机制。
1 材料与方法 1.1 BDL动物模型及标本处理选取出生3 d,体质量9~11 g的Wistar幼鼠132只,采用已有方法制作BDL胆道闭锁模型[4],全麻下于剑突左侧2 mm作一长约1 cm的纵行切口,暴露胆总管并结扎;对照组62只幼鼠仅行开腹探查。动物实验经中国医科大学附属盛京医院医学科学研究与新技术伦理委员会批准,伦理编号为2015PS229K。
于术后3 d、7 d、14 d、21 d、28 d处死小鼠,左心室灌注生理盐水至肝脏苍白,无菌下取肝脏组织2块(约100 mg),分别置于无菌EP管内,-80℃冰箱保存,用于提取蛋白质及RNA,其余组织浸入4%多聚甲醛内固定,用于组织学染色。
1.2 方法 1.2.1 HE及Masson染色组织切片厚度4 μm,常规HE及Masson染色,观察各组肝脏组织及肝内小胆管结构的改变,行组织纤维化分析。
1.2.2 免疫组化染色根据试剂盒说明进行免疫组化染色,一抗分别为1:15兔抗大鼠MMP-7(美国RD公司)及1:50兔抗大鼠MMP-19抗体(美国ProteintechTM公司)。
1.2.3 Western blotting组织剪碎、匀浆,4 ℃ 12 000 r/min离心10 min。测定蛋白浓度后将各组蛋白浓度调至同一水平,聚丙烯酰胺凝胶电泳后转移至硝酸纤维素膜上。5%脱脂奶粉缓冲液室温封闭后,分别加入一抗MMP-7(1:2 000)或MMP-19(1:2 000),β-actin为内参照,4 ℃过夜,加入1:2 000稀释的辣根过氧化物酶结合的二抗孵育2 h,发光。凝胶图像处理系统(Gel-Pro-Analyzer软件)分析目标条带的光密度值。
1.2.4 实时PCR试剂盒购自日本TaKaRa公司,采用Primer5.0软件参考GeneBank设计引物,由TaKaRa公司合成。TRIzol法提取肝脏组织RNA,经紫外分光度法检测浓度,逆转录获得cDNA,GAPDH作为内参照。PCR反应体系20 μL,包括cDNA 2 μL,SYBR Premix Ex Taq(Tli RNaseH Plus)10.0 μL,ROX Reference DyeⅡ(50×)0.4 μL,上游引物0.4 μL,下游引物0.4 μL,ddH2O 6.8 μL。PCR反应条件为95 ℃ 30 s;95 ℃ 5 s,60 ℃ 30 s,40个循环。检测各样品的Ct值,相对定量每个样品的△Ct,△Ct=Ct目的基因-Ct内参基因,根据△△Ct=△Ct实验组-△Ct对照组计算2-△△Ct。
1.3 统计学分析采用SPSS 20.0统计软件进行独立样本的t检验,数据以x±s表示,P < 0.05为差异有统计学意义。
2 结果 2.1 动物模型大体表现术后24 h实验组皮肤黄染(图 1A),随后出现毛发油亮(图 1B)、尿黄、白便等梗阻性黄疸的症状,且生长发育明显落后于对照组。
|
| A, 24 h after operation; B, 3 d after operation; C, the liver tissue in the BDL group (the black arrow shows the dilated common bile duct); D, the liver tissue in the control group (the black arrow shows the common bile duct). w, control group; y, BDL group. 图 1 动物模型大体表现 Fig.1 General physical characteristics of the animal model |
术后3 d解剖肝外胆管,见实验组肝脏变黄、表面粗糙结节状、质地变硬,结扎线以上胆管明显扩张(图 1C),正常对照组肝脏表面光滑、质地柔软、胆管呈透明管状结构(图 1D)。
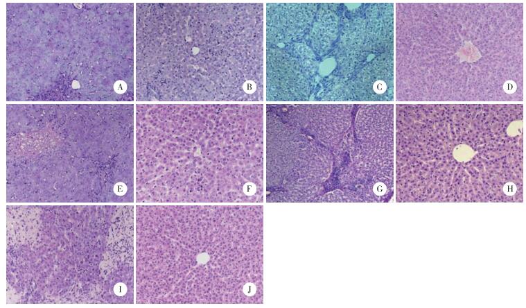
2.2 HE染色术后3 d实验组肝脏组织肝细胞条索及胆管上皮细胞水肿明显,细胞胀大,结构紊乱,包膜不清楚;术后7 d结构紊乱进一步加重,部分细胞表现为皱缩、坏死、结构破坏,纤维细胞增多,肝细胞条索不清;术后14 d水肿消失,坏死范围增大,小叶间纤维组织增生,分割肝细胞,形成假小叶;21 d、28 d纤维病变进一步加重,假小叶形成更为明显,见图 2。
|
| A, 3 d after BDL; B, 3 d in control group; C, 7 d after BDL; D, 7 d in control group; E, 14 d after BDL; F, 14 d in control group; G, 21 d after BDL; H, 21 d in control group; I, 28 d after BDL; J, 28 d in control group. 图 2 组肝脏组织HE染色结果 ×200 Fig.2 HE staining of liver tissues in each group ×200 |
2.3 Masson染色结果
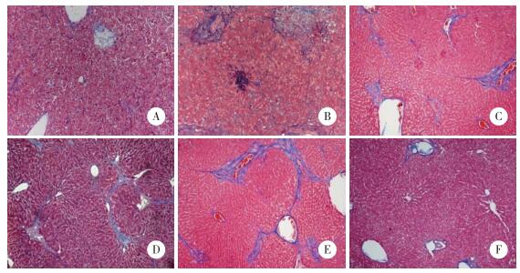
术后3 d开始汇管区可见少许蓝色纤维,术后14 d小叶间纤维样条索出现,开始形成假小叶;术后21 d纤维条索增多,连接成纤维分隔,假小叶形成;28 d肝细胞纤维病变进一步加重,假小叶形成更加明显。对照组肝细胞间及小叶间无纤维条索形成,见图 3。
|
| A, 3 d after BDL; B, 7 d after BDL; C, 14 d after BDL; D, 21 d after BDL; E, 28 d after BDL; F, control group. 图 3 各组肝脏组织Masson染色结果 ×100 Fig.3 Masson staining of liver tissues in each group ×100 |
2.4 免疫组化染色结果
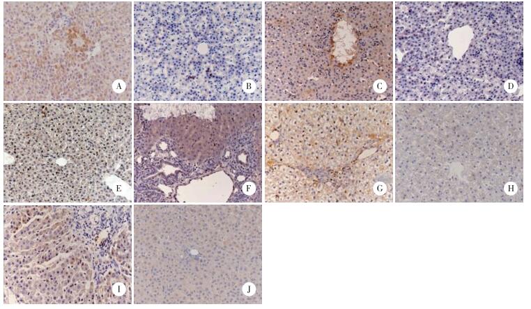
实验组肝脏组织及胆管组织中MMP-7的表达水平高于正常对照组,且随着术后时间的延长表达水平总体呈增高趋势(图 4)。实验组各时间段中MMP-19表达均低于对照组(图 5)。
|
| A, 3 d after BDL; B, 3 d in control group; C, 7 d after BDL; D, 7 d in control group; E, 14 d after BDL; F, 14 d in control group; G, 21 d after BDL; H, 21 d in control group; I, 28 d after BDL; J, 28 d in control group. 图 4 各组肝脏MMP-7免疫组化结果×200 Fig.4 Immunohistochemical staining analysis of MMP-7 in liver tissues of each group ×200 |
|
| A, 3 d after BDL; B, 3 d in control group; C, 7 d after BDL; D, 7 d in control group; E, 14 d after BDL; F, 14 d in control group; G, 21 d after BDL; H, 21 d in control group; I, 28 d after BDL; J, 28 d in control group. 图 5 各组肝脏MMP-19免疫组化结果×200 Fig.5 Immunohistochemical staining analysis of MMP-19 in liver tissues of each group ×200 |
2.5 Western blotting检测结果
除14 d外,实验组各时间段MMP-7的蛋白表达量均高于对照组(图 6A);而实验组MMP-19的蛋白表达量均低于对照组,14 d时差异尤为明显(图 6B)。
|
| A, MMP-7;B, MMP-19. 1, 3 d; 2, 7 d; 3, 14 d; 4, 21 d; 5, 28 d. 图 6 各组肝脏Western blotting结果 Fig.6 Western blotting for MMP-7 and MMP-19 carried out on liver samples from each group |
2.6 实时PCR结果
MMP-7 mRNA在实验组的表达均高于正常对照组,实验组MMP-19 mRNA的表达均低于对照组,见表 1。
| Item | 3 d | 7 d | 14 d | 21 d | 28 d |
| MMP-7 mRNA | |||||
| BDL | 1.57±0.072) | 1.31±0.061) | 1.79±0.03 | 2.95±0.372) | 2.57±0.062) |
| Control | 0.7±0.06 | 0.81±0.15 | 1.34±0.43 | 1.27±0.40 | 0.71±0.51 |
| MMP-19 mRNA | |||||
| BDL | 0.87±0.122) | 0.58±0.172) | 0.52±0.211) | 0.75±0.152) | 1.32±0.022) |
| Control | 1.31±0.24 | 1.71±0.06 | 1.50±0.73 | 1.31±0.35 | 1.95±0.65 |
| 1)P < 0.01;2)P < 0.05 vs control. | |||||
3 讨论
BA是一种累及肝内外胆管的严重疾病,主要病理表现为肝内外胆管炎症、纤维化、消失,肝脏发生渐进性加重的胆汁淤积性肝硬化。虽然目前对BA研究很多,但其病因仍不清、病理发生机制不详。有研究认为,出生前后的病毒感染与BA的发生有关,并推测在此过程中,病毒感染诱发了针对胆管上皮细胞的特异性炎症反应,导致胆管上皮细胞持续破坏、修复,最终纤维化、消失,在此过程中涉及炎症、免疫、凋亡等多个病理过程,多个信号通路系统与该过程密切相关。
众多研究[5-7]证明,组织器官慢性损伤、炎症纤维化过程中,MMPs发挥着重要作用。MMPs调节的蛋白水解是损伤的上皮重塑过程中改变细胞-基质连接状态的重要调节机制,MMPs降解细胞外基质、分泌钙黏蛋白、整合素等黏连分子,使细胞获得移位功能、参加组织修复。本研究发现BDL幼鼠动物模型肝脏组织发生了纤维化,随着梗阻时间的延长,纤维化程度逐渐加重,MMP-7表达水平也随之逐渐增加,相反,MMP-19表达持续低于正常组。
有研究[8-11]表明MMP-7在不同的细胞反应过程中发挥关键作用,而且是多种纤维化疾病的重要调节因子。文献[7, 9-10]报道中提出将MMP-7作为术后检测肝纤维化程度的一个指标,认为MMP-7可以作为进展期及晚期肝纤维化的重要指标。其他组织器官特异性纤维化过程进展的研究[6]也发现了MMP-7表达水平的升高,且与较差的预后相关,如特发性肺纤维化、肾小管上皮纤维化等。MMP-19是MMPs相应较新的成员,关于MMP-19在纤维化中的作用机制尚不清楚,目前认为MMP-19对组织器官的纤维化有保护作用[11-13]。
综上所述,组织器官损伤的修复过程是一个复杂过程,其中涉及到细胞外基质的降解和重塑、细胞迁移能力的增强和创面重新上皮化,在此过程中MMPs成员作为重要的纤维化调节家族参与其中,各自发挥的作用不同,而纤维化促进因素的增强与纤维化保护因素的表达减弱是与胆汁淤积性肝损伤过程中肝纤维化的逐渐进展密切相关的。在组织器官慢性纤维化的研究中,怎样保持两者的平衡,使损伤的组织器官得到适当修复、且又不过度纤维化将是进一步研究的重点内容。
| [1] |
HARTLEY JL, DAVENPORT M, Kelly DA. Biliary atresia[J]. Lancet, 2009, 374(9702): 1704-1713. DOI:10.1016/S0140-6736(09)60946-6 |
| [2] |
SCHREIBER RA, BARKER CC, ROBERTS EA, et al. Biliary atresia:the Canadian experience[J]. J Pediatr, 2007, 151(6): 659-665. DOI:10.1016/j.jpeds.2007.05.051 |
| [3] |
LOWELL JA, SHENOY S, MOLLESTON J, et al. Long-term results with the Kasai operation for biliary atresia[J]. Arch Surg, 1996, 131(11): 1235. |
| [4] |
CARIADO M, FLORES O, ORTLZ MC, et al. Elevated glomerular and blood mononuclear lymphocyte nitric oxide production in rats with chronic bile duct ligation:role of inducible nitric oxide synthase activation[J]. Hepatology, 1997, 26(2): 268-276. DOI:10.1002/hep.510260203 |
| [5] |
ROHANI MG, PARKS WC. Matrix remodeling by MMPs during wound repair[J]. Matrix Biol, 2015, 44-46: 113-121. DOI:10.1016/j.matbio.2015.03.002 |
| [6] |
IRVINE KM, WOCKNER LF, HOFFMANN I, et al. Multiplex serum protein analysis identifies novel biomarkers of advanced fibrosis in patients with chronic liver disease with the potential to improve diagnostic accuracy of established biomarkers[J]. PLoS One, 2016, 11(11): e0167001. DOI:10.1371/journal.pone.0167001 |
| [7] |
GIANNANDREA M, PARKS WC. Diverse functions of matrix metalloproteinases during fibrosis[J]. Dis Model Mech, 2014, 7(2): 193-203. DOI:10.1242/dmm.012062 |
| [8] |
KEROLA A, LAMPELA H, LOHI J, et al. Increased MMP-7 expression in biliary epithelium and serum underpins native liver fibrosis after successful portoenterostomy in biliary atresia[J]. J Pathol Clin Res, 2016, 2(3): 187-198. DOI:10.1002/cjp2.50 |
| [9] |
XIAO Z, CHEN C, MENG T, et al. Resveratrol attenuates renal injury and fibrosis by inhibiting transforming growth factor-β pathway on matrix metalloproteinase 7[J]. Exp Biol Med (Maywood), 2016, 241(2): 140-146. DOI:10.1177/1535370215598401 |
| [10] |
MORAIS A, BELTRAO M, SOKHATSKA O, et al. Serum metalloproteinases 1 and 7 in the diagnosis of idiopathic pulmonary fibrosis and other interstitial pneumonias[J]. Respir Med, 2015, 109(8): 1063-1068. DOI:10.1016/j.rmed.2015.06.003 |
| [11] |
YU G, KOVKAROVA-NAUMOVSKI E, JARA P, et al. Matrix metalloproteinase-19 is a key regulator of lung fibrosis in mice and humans[J]. Am J Respir Crit Care Med, 2012, 186(8): 752-762. DOI:10.1164/rccm.201202-0302OC |
| [12] |
JIROUSKOVA M, ZBODAKOVA O, GREGOR M, et al. Hepatoprotective effect of MMP-19 deficiency in a mouse model of chronic liver fibrosis[J]. PLoS One, 2012, 7(10): e46271. DOI:10.1371/journal.pone.0046271 |
| [13] |
CHAN KC, KO JM, LUNG HL, et al. Catalytic activity of matrix metalloproteinase-19 is essential for tumor suppressor and anti-angiogenic activities in nasopharyngeal carcinoma[J]. Int J Cancer, 2011, 129(8): 1826-1837. DOI:10.1002/ijc.25855 |
2017, Vol. 46


