文章信息
- 杨烁,郝育杰,兰金苹,韦汉福,魏健,荣瑞娟,武鹏程,刘国振,尹长城,李莉云
- YANG Shuo,HAO Yu-jie,LAN Jin-ping,WEI Han-fu,WEI Jian,RONG Rui-juan,WU Peng-cheng,LIU Guo-zhen,YIN Chang-cheng,LI Li-yun
- 转基因水稻中HPT蛋白质的检测及表达特征研究
- HPT Protein Detection and Expression Pattern in Transgenic Rice
- 中国生物工程杂志,2015,35(6): 61-67
- China Biotechnology,2015,35(6): 61-67
- http://dx.doi.org/10.13523/j.cb.20150610
-
文章历史
- 收稿日期:2015-03-18
- 修回日期:2015-04-20
2. 北京华大蛋白质研发中心有限公司 北京 101318
2. Beijing Protein Innovation Co.,Ltd. Beijing 101318,China
hpt基因编码潮霉素磷酸转移酶(hygromycin B phosphotransferase,HPT),是遗传转化中最常用的一类选择标记性基因。HPT可使潮霉素B(hygromycin B)磷酸化而失活,潮霉素是一种氨基糖苷类抗生素,可破坏细胞中核糖体的功能,导致基因翻译受阻细胞死亡[1]。在选择压力下,不含标记基因及其产物的非转化细胞和组织死亡,转化细胞由于有抗性可继续成活、分裂并分化成植株。1983年,Gritz等[2]从大肠杆菌中克隆出潮霉素磷酸转移酶基因,转化到大肠杆菌和酵母菌中,得到了潮霉素抗性转化子,此后,潮霉素广泛用于真菌[3]、植物[4, 5]、动物[6]等生物体外源基因的转化筛选。
目前转基因技术已广泛应用到农业生产中,转基因作物的安全性逐渐成为焦点问题,因此对其安全性的检测变得尤为重要。目前针对标记基因检测的技术主要是PCR扩增、Southern杂交和酶联免疫吸附技术(Enzyme-Linked Immuno Sorbent Assay,ELISA)等[7, 8, 9]。PCR扩增由于操作方便,成本低,已得到广泛采用,但是PCR只能确定转基因样品是否含有外源DNA,且假阳性率高,不能检测其外源基因的表达状态[8]。Southern杂交检测耗时长且对操作要求比较高,不适于大批量样品的检测[9]。ELISA技术灵敏度高,检测快,目前已经有商品化的试剂盒应用于生物医学领域,程红梅等[10]发明的试剂盒可快速检测转基因植物中抗潮霉素HYG蛋白。有研究报道运用ELISA技术检测HPT抗原[11, 12, 13, 14],但是该技术操作步骤复杂,影响反应因素较多,检测结果不能很直观地呈现,且难以进行定量分析[7]。因此,建立高效的HPT蛋白质的检测方法具有重要的现实意义和应用价值。
本研究在大肠杆菌中进行了HPT蛋白质的重组表达,以纯化的蛋白质做免疫原制备了单克隆抗体,建立了一套完整的用免疫印迹学技术检测转基因水稻中HPT蛋白质的方法,不仅全面地分析了转基因水稻中HPT蛋白质的表达特征,还实现了对单粒稻米中HPT含量的检测。本实验为hpt基因及其他标记基因的表达特性和安全性研究奠定了基础,对建立转基因作物生物安全性评价体系具有一定的借鉴意义。
1 材料与方法 1.1 材 料转基因水稻(Oryza sativa L.)4021带有CaMV 35S驱动的hpt筛选标记基因,由美国加州大学戴维斯分校Ronald教授实验室构建[15]。水稻材料种植于河北农业大学西校区(河北保定)实验田,取不同时期和不同组织的水稻材料,液氮速冻后置-70℃冰箱备用。
1.2 hpt基因的克隆利用Primer CE软件[16],设计hpt基因的特异性扩增引物,上游引物序列为5-GCGGATCCATGAAAAAGCCTGAACTCACCG-3′,下划线为BamHⅠ酶切位点;下游引物为5′-GCCTCGAGCTATTCCTTTGCCCTCGGACGA-3′,下划线为XhoⅠ酶切位点,引物由生工生物工程(上海)股份有限公司合成。以质粒DNA为模板进行PCR扩增,PCR产物与pET30a载体分别双酶切,纯化回收PCR及酶切产物,连接后转化大肠杆菌DH5α,酶切验证正确的重组子送北京六合华大基因科技有限公司测序。
1.3 蛋白质的表达与纯化将测序正确的质粒转入表达菌Codon plus,将过夜菌按1∶100的比例转接至100 ml含50 μg/ml卡那霉素的LB液体培养基中,37℃振荡培养至OD600为0.6~0.8,按1∶200比例加入100mmol/L的IPTG,25℃过夜培养,收菌后超声破碎,用His-tag beads进行蛋白质纯化,10% SDS-PAGE电泳,考染检测和抗体检测重组蛋白质的纯度。
1.4 HPT抗体的制备及特异性检测用大肠杆菌表达纯化的HPT蛋白质做免疫原,免疫小鼠制备单克隆抗体,抗体的制备由北京华大蛋白质研发中心有限公司进行,用免疫印迹技术(Western blotting,WB)检测抗体的特异性。
1.5 蛋白质定量分析利用Broadford法对蛋白质进行定量分析:首先配制BSA蛋白质标准液(终浓度依次为4、3.5、3、2.5、2、1.5、1、0.5和0 mg/ml)与0.1 mol/l HCl和双蒸水混合,室温放置0.5min后,向各试管中加入考马斯亮蓝G-250工作液,室温放置10min,用分光光度计测定595nm的相对吸光度,用蛋白质样品稀释液(10mmol/L Tris-HCl (pH 8.0),0.5 mol/L NaOH,1 mmol/L PMSF)调整待测蛋白质浓度至测定范围,按照以上步骤测定其吸光值,取3次测定的平均值绘制标准曲线,计算待测蛋白质的浓度。
1.6 水稻总蛋白质提取及WB检测用高通量组织研磨仪(北京鼎昊源科技有限公司,TL2010)将-70℃冻存的水稻叶片研磨成细粉状,加入蛋白质提取液[62.5 mmol/L Tris-HCl (pH 7.4),10 %甘油,0.1 % SDS,2 mmol/L EDTA,1 mmol/L PMSF,5 % β-巯基乙醇],混匀冰上放置30 min,然后12 000r/min 4℃离心25 min,取上清即为总蛋白质,具体方法可参见参考文献[17]。WB试验至少重复3次,并用anti-HSP抗体的检测信号作为等量加样的内参[18]。用化学发光成像仪(北京赛智创业科技有限公司,MiniChemi 610)进行检测和信号采集。
2 结果与分析 2.1 hpt基因的克隆根据hpt基因的序列设计PCR引物,以质粒DNA为模板进行扩增,扩增产物插入到pET30a载体相应的酶切位点中,图 1为PCR扩增产物(1 026bp)和重组克隆酶切验证的电泳图谱,从图 1可见,扩增产物和酶切片段的大小符合预期,经测序验证,获得了正确的hpt基因阳性克隆。
|
| 图 1 hpt基因的PCR扩增和质粒酶切验证 Fig. 1 PCR amplification and restriction enzyme digestion verification of hpt gene M: DNA Marker; PCR: PCR amplification products of hpt gene; RE: Recombinant plasmid verification by enzyme digestion |
将验证正确的重组质粒pET30a-hpt转入表达菌Codon plus中,挑取单菌落进行诱导表达。收集的菌体经超声破碎后离心分离,用His-tag beads亲和层析柱纯化,蛋白质样品经SDS-PAGE分离后,图 2a为考马斯亮蓝染色结果,由图 2a可见,在大肠杆菌的上清和沉淀中均能清楚地看到诱导条带,纯化后获得的单一蛋白质条带与重组HPT蛋白质预期分子量相符(HPT蛋白质的理论分子量为38.9kDa)。图 2b是用anti-His抗体进行WB检测的结果,由图 2b可见,上清、沉淀和纯化后蛋白质样品中均出现分子量符合预期的特异信号,未经诱导的样品中没有信号,确认获得了纯化的重组HPT蛋白质。
|
| 图 2 HPT蛋白质的体外表达及抗体制备 Fig. 2 The expression and antibody generation of recombinant HPT protein (a)Using SDS-PAGE detected the expression and purification of HPT protein (b)WB detection of the expressed HPT recombinant protein using anti-His antibody (c)Specificity verification of anti-HPT antibody U: Un-induced; S: Supernatant; Pe: Pellet; Pu: Purified; Re-HPT: Recombinant HPT protein; Rice -: Non-GMO sample; Rice +: GMO sample with HPT; HSP:The abundance of HSP protein detected by anti-HSP antibody was used as equal loading control |
以纯化的HPT蛋白质为免疫原,免疫小鼠后获得25株单克隆抗体,经筛选发现部分细胞株产生的抗体只能识别天然抗原或只能识别重组抗原,只有部分细胞株能同时识别天然抗原和重组抗原(数据未附),经WB鉴定发现#5株具有较高的灵敏度。选用#5抗体对样品进行检测,图 2c中转基因水稻和重组HPT蛋白质样品均出现了特异条带,非转基因水稻样品中没有检测到信号。重组HPT的分子量略高,是因为重组的HPT蛋白质带6×His标签序列。上述实验结果表明所制备的HPT抗体具有良好的特异性。
2.3 水稻叶片中HPT蛋白质含量分析为检测HPT抗体的灵敏度以及水稻叶片中的HPT蛋白质的含量,以不同浓度的HPT重组蛋白质为检测对象绘制了WB检测的标准曲线(图 3)。图中重组HPT蛋白质的上样量依次为0.5、1、2、4、8和16ng,从图 3a可见,约0.5ng的重组HPT蛋白质仍能被检测到,且呈现出随蛋白质量增加而信号强度增加的趋势,采集各条带的灰度值,计算3次重复实验的平均值及方差,绘制标准曲线得到了线性回归方程(图 3b)。同时,将鲜重为0.01g的水稻苗期(三叶期)叶片加裂解液和上样缓冲液获得600μl的蛋白质样品,分别上样5μl和15μl,与重组蛋白质同时进行WB检测,采集信号,带入回归方程计算出对应的HPT蛋白质含量分别为0.8ng和2.6ng,取平均得到水稻蛋白质样品中HPT蛋白质含量约为0.16ng/μl,折合在水稻苗期叶片中HPT蛋白质的含量约为鲜重的0.01‰。
|
| 图 3 水稻叶片中HPT蛋白质含量分析 Fig. 3 Concentration analysis of HPT protein in rice leaves (a)WB detection of HPT protein using anti-HPT antibody Re-HPT: Recombinant HPT protein; Rice protein: Total protein isolated from rice leave at seedling stage (b)Standard curve of HPT protein concentration against the intensity of WB signals X axis is the concentration of HPT protein and Y axis is the signal intensity detected in WB analysis |
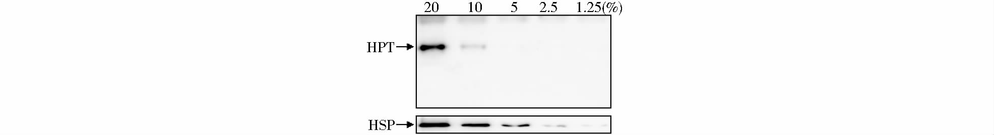
通常食用的稻米是水稻种子去除颖壳后的部分。为建立具有应用价值的检测方法,我们对单粒稻米(去壳、去胚)中的HPT蛋白质含量进行了检测。提取单粒稻米的蛋白质进行免疫印迹分析,上样量分别为蛋白质样品的1.25%、2.5%、5%、10%和20%(图 4)。结果表明,只有10%和20%的样品(重量分别为1.5mg和3mg)可以检测到HPT信号。由此说明,只需要单粒稻米的十分之一即可确定是否含有HPT成分。
|
| 图 4 转基因稻米中HPT蛋白质的免疫印记检测 Fig. 4 WB detection of HPT protein in rice grain 20,10,5,2.5 and 1.25% represent the percentage of loaded sample in total protein isolated from single rice grain. HSP: The abundance of HSP protein was used as loading control |
为全面了解HPT蛋白质在转基因水稻中的表达特征,采集水稻生长发育期的各个组织样品,提取总蛋白质后用HPT抗体进行免疫印迹分析。由图 5可见,HPT在不同发育时期的多个组织中表达,即苗期的地上部和地下部,分蘖期的叶片和根尖,孕穗期的根尖和幼穗,成熟穗子穗轴,开花期的叶片,灌浆期的叶鞘、叶枕、叶片、种子,胚芽、胚乳和颖壳,完熟期的叶片。而在不同时期的茎、分蘖节、茎节、叶鞘、叶枕等部位以及花药、柱头组织中,HPT含量较低,甚至检测不到。
|
| 图 5 转基因水稻中HPT蛋白质的表达谱 Fig. 5 The expression pattern of HPT protein in transgenic rice Different tissues of rice samples were collected. Total proteins were isolated and separated by SDS-PAGE. WB analysis were carried out using anti-HPT antibody. The list of tissues are as follows: Seedling stage: shoot (St) and root (Rt); Tillering stage: stem,tillers (Ti),node (No),sheath (Sh),cushion (Cs),upper part of leave (LU),middle part of leave (LM),lower part of leave (LL) and root tip (Rtt); Booting stage: stem,node (No),sheath (Sh),cushion (Cs),upper part of leave (LU),middle part of leave (LM),lower part of leave (LL) and root tip (Rtt),young panicle of 1,5,10,15,20 and 30 cm in length(YP1,YP5,YP10,YP15,YP20,YP30),Mature panicle (MP) and panicle axis (PA); Flowering stage: stem,sheath (Sh),cushion (Cs),leaf,Mature panicle (MP),panicle axis (PA),anther (An),stigma (St),husk and root tip (Rtt); Filling stage: stem,sheath (Sh),cushion (Cs),leaf,Mature panicle (FP),panicle axis (PA),root tip (Rtt),filling panicle (1,10,20 and 30 days after pollination),embryo (Em),endosperm (Ed) and husk; Mature stage: stem,leaf and root tip (Rtt). HSP: The abundance of HSP protein was used as loading control |
为进一步了解HPT蛋白质的表达特征,比较了水稻生长不同时期(三叶期、四叶期、五叶期、六叶期、分蘖期、孕穗期、开花期、灌浆期和完熟期)的叶片和根中HPT蛋白质的表达丰度。由图 6a可见,在各时期的叶片样品中都能检测到HPT蛋白质,幼苗期和成株期表达量较高,分蘖期和孕穗期表达量较低。图 6b是根部样品的检测结果,在苗期根部的HPT蛋白质表达丰度较高,随着植株的生长其根部的表达量逐渐降低。
|
| 图 6 HPT蛋白质在不同时期的叶片和根部的表达丰度 Fig. 6 The abundance of HPT protein in leaves and roots at different developmental stages (a)The abundance of HPT protein in leaves at different developmental stages (b)The abundance of HPT protein in roots at different developmental stages 3L,4L,5L and 6L represent three leaves,four leaves,five leaves and six leaves stages respectively; Ti: Tillering stage; Bt: Booting stage; Fl: Flowering stage; Fi: Filling stage; Mu: Mature stage; HSP: The abundance of HSP protein was used as loading control |
随着转基因技术的不断提高及广泛应用,优化外源DNA及蛋白质的检测技术具有重要的应用价值。为了检测转基因水稻中的HPT蛋白质,本研究利用重组的HPT蛋白质,制备了HPT单克隆抗体,建立了基于免疫印迹技术的检测方法,同时检测了转基因水稻中HPT蛋白质的表达丰度,系统调查了HPT蛋白质在转基因水稻4021中的表达特征。
在针对蛋白质的检测方法中,免疫学技术具有简便、快速、成本低、特异性高、不依赖于酶活性、易于标准化等特点,在病原物及疾病相关的标志物检测中已经得到广泛的应用[19]。免疫印迹技术是将蛋白质经SDS-PAGE分离后转移并固定到膜上,特异性抗体与膜上的靶蛋白质孵育,标记的二抗识别并将特异性抗体的信号放大后检测。WB技术具有相当高的灵敏度,往往可以实现对纳克级蛋白质的检测,且由于蛋白质经过了SDS-PAGE分离,同ELISA技术相比,检测背景更低[20]。由于WB检测技术不受植物中内源物质的干扰,检测结果直观可靠,可方便地进行相对定量分析,所以利用该技术实现对转基因材料中外源蛋白质的鉴定具有更广泛的应用价值。
利用本研究制备的HPT抗体对重组蛋白质的检测下限达到了纳克级,可以实现十分之一单粒稻米的HPT蛋白质的检测,非转基因种子中未检测到HPT信号。有研究报道采用重组蛋白质制备了HPT多克隆抗体,建立了双抗夹心酶联免疫检测技术[13, 21]。杨丽琛等[11]筛选出4株稳定分泌抗HPT 单抗的杂交瘤细胞株,ELISA 检测证实单抗可特异性识别细胞培养上清、重组子菌体裂解产物中及纯化出的HPT 蛋白,随后该实验室又运用ELISA技术检测了转基因水稻中HPT蛋白质的表达情况,结果显示HPT 蛋白质在苗期、分蘖期、幼穗发育期、灌浆结实期的叶片和成熟期的茎部和根部均有表达,但是未能检测出种子中的HPT蛋白质[14]。汪海燕等[12]制备了多克隆抗体,改进了ELISA技术,并对不同生育期转基因水稻的地上和地下部进行了检测。另外,我们也用该抗体检测到了转基因棉花、烟草和拟南芥等植物中的HPT蛋白质(数据未附),说明本实验建立的以免疫印迹技术为基础的HPT蛋白质检测技术有良好的特异性和灵敏度,具有很广阔的实际应用前景。
研究报道,花椰菜花叶病毒的CaMV 35S启动子属于强启动子,在转基因植物中已广泛应用,该启动子驱动的GUS基因在烟草[22]和水稻[23]中都呈组成型表达。本研究中HPT蛋白质在转基因水稻4021各时期的叶片、苗期根部和种子灌浆后期表达量相对较高,其中叶片中的HPT蛋白质基本呈组成型表达,但是在其它不同部位中的表达量不均匀,如茎、分蘖节、茎节、叶鞘、叶枕、花药和柱头等组织中表达量相对较低甚至检测不到,这一研究结果与前人研究相符。HPT作为筛选标记基因已广泛应用于转基因植物筛选中[5],CaMV 35S驱动的HPT蛋白质的表达特征让我们可以有针对性地选取不同生长时期不同组织的水稻材料进行转基因材料的检测,同时也为深入研究CaMV 35S启动子的调控机理提供参考。
| [1] | Cabanas M J, Vazquez D, Modolell J. Dual interference of hygromycin B with ribosomal translocation and with aminoacyl-tRNA recognition. Eur J Biochem, 1978, 87(1): 21-27. |
| [2] | Gritz L, Davies J. Plasmid-encoded hygromycin B resistance: the sequence of hygromycin B phosphotransferase gene and its expression in Escherichia coli and Saccharomyces cerevisiae. Gene, 1983, 25(2-3): 179-188. |
| [3] | Yehuda H, Droby S, Wisniewski M, et al. A transformation system for the biocontrol yeast, Candida oleophila, based on hygromycin B resistance. Curr Genet, 2001, 40(4): 282-287. |
| [4] | Otten L, De Greve H, Hernalsteens J P, et al. Mendelian transmission of genes introduced into plants by the Ti plasmids of Agrobacterium tumefaciens. Mol Gen Genet, 1981, 183(2): 209-213. |
| [5] | Park S C, Kim S H, Park S, et al. Enhanced accumulation of carotenoids in sweetpotato plants overexpressing IbOr-Ins gene in purple-fleshed sweetpotato cultivar. Plant Physiol Biochem, 2015, 86: 82-90. |
| [6] | Urlaub G, Chasin L A. Isolation of Chinese hamster cell mutants deficient in dihydrofolate reductase activity. Proc Natl Acad Sci U S A, 1980, 77(7): 4216-4220. |
| [7] | Kamle S, Ojha A, Kumar A. Development of an enzyme linked immunosorbant assay for the detection of Cry2Ab protein in transgenic plants. GM Crops, 2011, 2(2): 118-125. |
| [8] | Garcia-Canas V, Gonzalez R, Cifuentes A. Sensitive and simultaneous analysis of five transgenic maizes using multiplex polymerase chain reaction, capillary gel electrophoresis, and laser-induced fluorescence. Electrophoresis, 2004, 25(14): 2219-2226. |
| [9] | Morgan A J, Cox P N, Turner D A, et al. Transformation of tomato using an Ri plasmid vector. Plant Science, 1987, 49: 37-49. |
| [10] | 程红梅, 苏晓峰, 郭惠明, 等.一种快速检测抗潮霉素hyg蛋白的金标试剂盒. 中国专利, 201120097560. 2011-10-26. Cheng H M, Su X F, Guo H M, et al. A gold standard kit for rapid detection of anti-hygromycin protein. China Patent, 201120097560. 2011-10-26. |
| [11] | 杨丽琛, 张素香, 皮国华, 等. 抗HPT单克隆抗体的制备与生物学特性鉴定. 中国免疫学杂志, 2004, 20(5): 335-337. Yang L C, Zhang S X, Pi G H, et al. Preparation and identification of the anti-HPT monoclonal antibodies. Chinese Journal of Immunology, 2004, 20(5): 335-337. |
| [12] | 汪海燕, 叶庆富. HPT-ELISA方法的建立及其在转基因水稻监测中的应用. 核农学报, 2007, 21(2): 168-172. Wang H Y, Ye Q F. Establishment of HPT-ELISA method and its application in HPT-monitoring of transgenic plants. Journal of Nuclear Agriculture Science, 2007, 21(2): 168-172. |
| [13] | Lu Y, Xu W, Kang A, et al. Prokaryotic expression and allergenicity assessment of hygromycin B phosphotransferase protein derived from genetically modified plants. J Food Sci, 2007, 72(7): 228-232. |
| [14] | 王锐, 陈松彪, 卓勤, 等. 转基因水稻中标记基因hpt表达行为的研究. 卫生研究, 2005, 34(4): 460-462. Wang R, Chen S B, Zhuo Q, et al. Expression specificity of hpt gene in sck transgenic rice. Journal of Hygiene Research, 2005, 34(4): 460-462. |
| [15] | Wang Y S, Pi L Y, Chen X, et al. Rice XA21 binding protein 3 is a ubiquitin ligase required for full Xa21-mediated disease resistance. Plant Cell, 2006, 18(12): 3635-3646. |
| [16] | Cao Y, Sun J, Zhu J, et al. PrimerCE: designing primers for cloning and gene expression. Mol Biotechnol, 2010, 46(2): 113-117. |
| [17] | Bai H, Lan J P, Gan Q, et al. Identification and expression analysis of components involved in rice Xa21-mediated disease resistance signalling. Plant Biol (Stuttg), 2012, 14(6): 914-922. |
| [18] | Li X, Bai H, Wang X, et al. Identification and validation of rice reference proteins for Western blotting. J Exp Bot, 2011, 62(14): 4763-4772. |
| [19] | Ermolli M, Prospero A, Balla B, et al. Development of an innovative immunoassay for CP4EPSPS and Cry1AB genetically modified protein detection and quantification. Food Addit Contam, 2006, 23(9): 876-882. |
| [20] | Kurien B T, Scofield R H. Western blotting. Methods, 2006, 38(4): 283-293. |
| [21] | 许文涛, 芦云, 黄云波, 等. 潮霉素磷酸转移酶(hpt)基因的原核表达、蛋白纯化及其抗体制备. 农业生物技术学报, 2008, 16(4): 647-652. Xu W T, Lu Y, Huang Y B, et al. Expression of hygromycin-B-phosphotransferase(hpt) gene in Escherichia coli, purification of HPT protein and preparation of its polyclonal antibodies. Journal of Agricultural Biotechnology, 2008, 16(4): 647-652. |
| [22] | Fang R X, Nagy F, Sivasubramaniam S, et al. Multiple cis regulatory elements for maximal expression of the cauliflower mosaic virus 35S promoter in transgenic plants. Plant Cell, 1989, 1(1): 141-150. |
| [23] | Terada R, Shimamoto K. Expression of CaMV35S-GUS gene in transgenic rice plants. Molecular and General Genetics, 1990, 220(3): 389-392. |
2015,Vol. 35


