2. 海洋生物遗传学与育种教育部重点实验室(中国海洋大学), 山东 青岛 266003
促雄腺(Androgenic gland, AG)是十足目甲壳动物特有的雄性特异性内分泌腺体,其分泌的胰岛素样促雄腺激素(Insulin-like androgenic gland hormone, IAG)在调节甲壳类动物雄性性别分化、性发育及第二性征表达中发挥着重要作用[1-3]。IAG激素被广泛视为十足目甲壳类动物性别分化和发育的关键“开关”,即“IAG-开关”[4]。在罗氏沼虾(Macrobrachium rosenbergii)中,AG的消融可显著影响雄虾的第二性征和形态分化[3]。通过在早期发育阶段摘除AG,或利用IAG dsRNA、siRNA等进行干扰[5-8],能够有效调节IAG基因表达,实现雄虾的完全功能性逆转,诱导出雌性化特征,如卵巢和卵黄发育,进而形成可繁殖的“新雌性”。此外,在罗氏沼虾仔虾期(PL60),注射悬浮肥大促雄腺细胞后,雌性个体发育出交接器、雄生殖孔和精巢,并完成精子输出和形态分化[5]。在红螯螯虾(Cherax quadricarinatus)中,CqIAG沉默可导致表型雌性化、精子产量减少、精巢退化、卵黄蛋白原基因表达以及卵黄蛋白在发育中卵母细胞的积累[9-10]。此外,利用CRISPR/Cas9技术敲除脊尾白虾(Exopalaemon carinicauda)两个染色体组中的3个EcIAG基因,导致其失去雄性特征,表现出卵巢发育等雌性特征[11]。在印度对虾(Penaeus indicus)中,AG的摘除导致交接器和雄性附肢的退化并阻断了精原细胞的分化[12]。在克氏原螯虾(Procambarus clarkii)中,注射IAG dsRNA来抑制IAG的表达,导致精细胞减少和雄性附肢发育受阻[13]。这些研究表明,通过沉默或敲低IAG基因的表达可在上述甲壳动物中实现完全或部分性逆转。
凡纳滨对虾(Litopenaeus vannamei)作为全球养殖规模最大的水产养殖甲壳类之一,其雌雄个体在生长速度、体型等经济性状上展现出显著的性别二态性[14-16]。通常,雌性个体具有较大的体型和较快的生长速度,而雄性个体则相对较小。这种性别二态性使得凡纳滨对虾的性别与生殖机制的探究在养殖和育种领域具有重要的科学意义和应用价值。尽管目前针对凡纳滨对虾已开展了AG摘除与植入[17-18]、IAG dsRNA干扰幼体(体质量(0.12±0.06) g,体长(2.00±0.50) cm)[19]及成虾(体质量(26.0±0.3) g)实验,但均未能实现性别反转以及性特征表型的变化。这表明凡纳滨对虾的IAG表达调控机制可能存在时期特异性及独特性,亟待深入研究。通过敲低和过表达IAG,有助于揭示凡纳滨对虾性别分化的分子机制,从而为人为干预性别比例提供科学依据。
1 材料与方法 1.1 动物材料实验所需的凡纳滨对虾采购自海南省三亚市海鲜市场。在实验开始前,这些对虾被安置在中国海洋大学三亚海洋研究院养殖平台中暂养两周,该系统配备了循环水过滤装置,日换水一次,换水量为1/3。养殖环境维持盐度29~30、pH 7.9~8.0、温度25~27 ℃以及光周期(12 h光照∶12 h黑暗)。日饲料投喂量约为虾体质量的2%。实验用雄虾的平均体长为(12.87±0.22) cm,平均体质量为(17.25±0.62) g。
1.2 总RNA提取和cDNA合成利用Trizol法提取凡纳滨对虾AG组织的总RNA,并通过Nanodrop 2000(赛默飞,美国)和1.5%琼脂糖凝胶电泳检测总RNA的浓度和质量。然后按照制造商的说明,使用HiScript Ⅲ 1st Strand cDNA Synthesis Kit (+gDNA wiper)(诺唯赞,中国)从1 μg总RNA合成cDNA。
1.3 多序列对比和系统发育树构建从NCBI数据库中获取已知的十足目动物IAG蛋白序列,并基于凡纳滨对虾的基因组及转录组数据,通过BLAST获得LvIAG蛋白序列。利用ClustalW程序对来自不同物种的氨基酸序列进行多重比对,并借助Gblocks软件去除低保守性序列区域,以优化比对结果。随后,采用MEGA 11.0软件的邻接法(Neighbor-joining,NJ法)构建IAG的系统发育树,设置Bootstrapping重复值为1 000次,以分析物种间基因的系统发生关系及凡纳滨对虾基因的进化特征。
1.4 基因克隆和重组质粒构建从凡纳滨对虾转录组中获取IAG基因的CDS序列,利用SnapGene和Primer5软件设计特异性扩增引物LvIAG-F和LvIAG-R,并在引物中引入BamHI和XhoI酶切位点,以便于后续的克隆操作。引物序列详见表 1。PCR扩增程序设置为:95 ℃ 3 min,35个循环(95 ℃变性15 s,62 ℃退火20 s,72 ℃延伸1 min),最后在72 ℃下延伸5 min。扩增产物通过1%琼脂糖凝胶电泳进行质量评估,随后使用TIANgel Purification Kit(天根,中国)对目的片段进行纯化。将纯化后的目的片段克隆至pET32a表达载体,并转化到大肠杆菌(Escherichia coli)DH5α感受态细胞中。通过菌液PCR进行初步验证后,将阳性克隆送至生工生物工程(上海)股份有限公司进行测序确认。
|
|
表 1 实验中使用的引物列表 Table 1 List of primers used in the experiment |
为探究温度对IAG蛋白表达效率的影响,预实验设置了4个温度梯度:16、20、28和37 ℃。将菌液以1∶100的比例接种至含有Amp的LB液体培养基中,在37 ℃、200 r/min条件下振荡培养2~3 h。当酶标仪检测的OD600值达到0.3~0.4时,加入0.5 mmol/L IPTG。随后,将培养温度分别调整至16、20、28和37 ℃,在160 r/min条件下振荡培养,并分别诱导表达16、12、8和4 h。使用新芝JY92-IID超声波细胞破碎仪破碎菌体,直至溶液澄清。离心后收集上清,包涵体沉淀则使用含8 mol/L尿素的结合缓冲液进行溶解。利用Ni-TED琼脂糖纯化树脂重力型预装柱(生工,中国)对IAG蛋白进行纯化。通过SDS-PAGE对蛋白表达质量进行评估,并采用BCA蛋白检测试剂盒(赛默飞,美国)测定蛋白浓度。为进一步浓缩IAG蛋白洗脱液,使用Amicon® Ultra离心超滤管(默克,德国)在5 000g条件下离心30 min。最终,按照制造商提供的操作指南,利用PD-10脱盐柱(Cytiva,瑞典)对重组蛋白进行复性处理。
1.6 蛋白质印迹将PVDF膜浸泡于甲醇中进行活化,随后在85 V电压下转膜90 min。转膜完成后,将PVDF膜置于5%脱脂牛奶中,在室温下摇床封闭1~2 h。使用TBST缓冲液在摇床上洗膜3次,每次5 min。根据预染蛋白质分子量标准(Marker)估测目标蛋白所在位置。按照1∶1 000的比例稀释一抗,加入膜中,在4 ℃冰箱中摇床孵育过夜。孵育结束后,使用TBST在摇床上冲洗膜3次,每次5 min。随后,加入显色液进行显色反应。将膜蛋白面朝上放置于成像设备中曝光,观察并拍摄目的条带。
1.7 IAG dsRNA的制备利用在线软件siDirect(http://sidirect2.rnai.jp/)在IAG基因的CDS区域内预测并设计特异性引物IAG dsRNA-F/R(见表 1),用于dsRNA的制备。以pET32a-IAG重组质粒为模板,进行PCR扩增以获得DNA模板。PCR反应条件如下:变性95 ℃ 3 min;随后进行35个循环(95 ℃变性15 s、62 ℃退火20 s、72 ℃延伸30 s);最后在72 ℃下延伸5 min。对PCR产物进行纯化与质量评估。按照T7 Quick High Yield RNA Transcription Kit(碧云天,中国)的说明书操作,使用1 μg DNA模板合成dsRNA。合成的IAG dsRNA通过1.5%琼脂糖凝胶电泳进行质量评估,并使用Nanodrop 2000测定浓度,最终储存于-80 ℃备用。
1.8 IAG dsRNA及重组蛋白的注射实验选取21尾健康的雄性凡纳滨对虾进行体内注射实验,随机分为3组。实验组分别注射IAG dsRNA和IAG重组蛋白,注射剂量均为2 μg/g[20],对照组注射等体积的1×PBS。于凡纳滨对虾的第五步足基部注入体内,注射周期为每36 h一次,共进行2次注射。于首次注射后72 h,解剖采集AG组织样本,并迅速投入液氮中速冻于-80 ℃储存备用。实验结束后,从对照组和各实验组中分别随机挑选4只雄虾(n=4),提取其AG组织的总RNA,并进行cDNA合成。完成IAG基因表达检测后,将RNA样本送至联川生物公司进行转录组建库测序。
1.9 转录组分析在测序完成后,使用FastQC过滤原始读段,并用Trimmomatic修剪。然后,使用HISAT2将干净的读数与凡纳滨对虾基因组(NCBI登录号:ASM378908v1)比对。使用StringTie基于比对数据来计算表达量。DESeq2用于计算两组之间的差异表达基因(Differentially expressed genes,DEGs),显著性阈值为|log2(T组/C组)|>1,P<0.05。用FPKM值进行表达量归一化处理。将筛选得到的差异表达基因比对到GO和KEGG数据库进行功能注释分析和通路富集分析。两个数据库对比均以P<0.05作为判断是否显著富集的标准。
1.10 qPCR验证为验证IAG敲低后基因表达量的变化及测序结果的准确性,我们随机挑选了多个与性别、生长和代谢相关的DEGs进行qPCR检测。以EF1α为内参基因,具体引物序列详见表 1。每个样品均进行三次技术重复,并采用以下qPCR程序进行扩增:95 ℃预变性30 s,随后进行40个循环(95 ℃变性10 s,60 ℃退火延伸30 s)。对qPCR产物进行溶解曲线分析,以检验产物的特异性。使用2-ΔΔCt法计算基因相对表达量,并利用Prism软件(版本10.1.2)进行t检验分析。以P<0.05评估表达量差异是否具有统计学意义。
2 结果 2.1 IAG蛋白的多序列比对及系统发育树分析多序列比对分析结果表明,凡纳滨对虾IAG蛋白与细角对虾(Penaeus stylirostris)的相似性最高,达到95.36%;与西方白对虾(Penaeus occidentalis)的相似性次之,为94.77%;而与斑节对虾(Penaeus monodon)、中国对虾(Penaeus chinensis)、墨吉对虾(Penaeus merguiensis)的相似性分别为79.55%、81.07%、82.63%。IAG蛋白在结构上表现为高度保守的类胰岛素结构,均有6个半胱氨酸残基以形成二硫键结构。采用邻接法(NJ法)构建的甲壳动物IAG蛋白系统发育树(见图 1)显示,LvIAG蛋白质序列与对虾科的IAG蛋白聚类在同一分支,表明它们之间的亲缘关系最密切,蛋白同源性较高。其次,LvIAG与螯虾类、沼虾类的进化距离相对较远,而与蟹类的进化距离更远,这一结果与物种的分类学地位相符合。其中,普通卷甲虫和鼠妇在系统发育树中作为外群出现,其蛋白序列遵循物种间的进化关系,独立聚为一支,进一步验证了发育树结构的可靠性。
|
图 1 甲壳动物IAG蛋白的系统发育树 Fig. 1 Phylogenetic tree of crustacean IAG proteins |
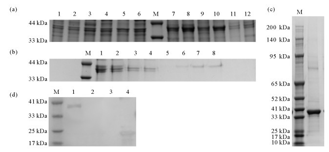
利用大肠杆菌原核表达系统进行了pET-32a-IAG重组蛋白的诱导表达。为了探究温度对IAG蛋白原核表达效率的影响,设置了4个诱导温度梯度:16、20、28和37 ℃。SDS-PAGE电泳结果(见图 2(a))显示,pET-32a-IAG诱导表达的融合蛋白的分子量约为38 kDa。在去除原核表达载体pET-32a的标签蛋白后,IAG成熟肽的相对分子质量约为18 kDa,与预测的IAG蛋白理论值18.89 kDa基本吻合。如图 2(a)所示,诱导温度的变化并未对重组蛋白pET-32a-IAG的表达量产生显著影响。然而,在28 ℃条件下包涵体中目的蛋白含量相对较高。因此,确定28 ℃为pET-32a-IAG重组蛋白以获得包涵体形式表达为目的的最适温度。
|
( (a) IAG蛋白表达:1. 16 ℃可溶蛋白; 2. 20 ℃可溶蛋白; 3. 28 ℃可溶蛋白; 4. 37 ℃可溶蛋白; 5. 未加IPTG可溶蛋白; 6. 空载pET-32a可溶蛋白; 7. 37 ℃包涵体; 8. 28 ℃包涵体; 9. 未加IPTG包涵体; 10. 空载pET-32a包涵体; 11. 16 ℃包涵体; 12. 20 ℃包涵体。(b) IAG蛋白纯化:1. IAG包涵体; 2. 过滤除菌后IAG包涵体; 3. 上柱后穿流液; 4—5. 20 mmol/L咪唑洗杂液; 6—7. 40 mmol/L咪唑洗杂液; 8. 250 mmol/L咪唑洗杂液。(c) 纯化后的IAG蛋白。(d) 重组IAG蛋白的Western blotting结果: 1. pET-32a-IAG包涵体; 2. pET-32a-IAG可溶蛋白; 3. pET-32a空载质粒包涵体; 4. pET-32a空载质粒可溶蛋白。M:蛋白分子标准。(a) IAG protein expression: 1. 16 ℃ soluble protein; 2. 20 ℃ soluble protein; 3. 28 ℃ soluble protein; 4. 37 ℃ soluble protein; 5. Soluble protein without IPTG; 6. Soluble protein with empty pET-32a vector; 7. 37 ℃ inclusion bodies; 8. 28 ℃ inclusion bodies; 9. Inclusion bodies without IPTG; 10. Inclusion bodies with empty pET-32a vector; 11. 16 ℃ inclusion bodies; 12. 20 ℃ inclusion bodies. (b) IAG protein purification: 1. IAG inclusion bodies; 2. IAG inclusion bodies after filtration sterilization; 3. Flow-through after column loading; 4—5. 20 mmol/L imidazole wash; 6—7. 40 mmol/L imidazole wash; 8. 250 mmol/L imidazole wash. (c) Purified IAG recombinant protein. (d) Western blot results of IAG recombinant protein: 1. pET-32a-IAGinclusion bodies; 2. pET-32a-IAGsoluble protein; 3. pET-32a empty vector inclusion bodies; 4. pET-32a empty vector soluble protein. M: Protein molecular weight marker. ) 图 2 IAG重组蛋白的制备与鉴定 Fig. 2 Preparation and identification of the recombinant IAG protein |
图 2(b)显示pET-32a-IAG重组蛋白包涵体纯化结果。在纯化过程中,平衡液、结合液、洗杂液和洗脱液中均添加了8 mol/L尿素,促使蛋白结构充分展开,从而暴露出His标签便于纯化。IAG蛋白在纯化柱上表现出良好的结合效果,与纯化前相比,纯化后的IAG蛋白呈现清晰且较单一条带,表明pET-32a-IAG重组蛋白纯化成功。图 2(c)展示了超滤浓缩后的IAG复性蛋白,其主带清晰明亮,表明蛋白在复性后保持较高的纯度。进一步的Western blotting结果表明,重组蛋白pET-32a-IAG可以与鼠抗His-tag单克隆抗体进行特异性结合,在相对分子质量约38 kDa的位置显现出清晰的蛋白条带(见图 2(d))。此结果证实,经过纯化与复性后获得了可溶的pET-32a-IAG重组蛋白。
2.3 IAG基因沉默对促雄腺基因表达的影响 2.3.1 IAG基因敲低后差异表达基因的表达分析体内注射实验结束后,从对照组和实验组中分别随机挑选4只雄虾进行IAG基因的表达检测。通过qPCR比较IAG在各组中的表达量,IAG dsRNA注射组的促雄腺中IAG的相对表达水平显著降低了97%(P<0.01),说明干扰效果显著。而IAG重组蛋白注射组中IAG表达量与对照组相比无差异(见图 3)。
|
( **表示样本间有极显著差异(P<0.01)。** represents a highly significant difference(P < 0.01). ) 图 3 IAG dsRNA干扰72 h后的IAG表达分析。 Fig. 3 Analysis of IAG expression at 72 h after IAG dsRNA interference |
为了更好地理解IAG敲低后对于促雄腺基因表达的影响,我们对敲低组和对照组的促雄腺RNA样品(n=4)进行了转录组测序分析。测序信息见表 2。
|
|
表 2 IAG敲低后mRNA文库的测序信息 Table 2 Sequencing information of the mRNA library after IAG knockdown |
如图 4所示,通过比较IAG dsRNA组与对照组的显著差异表达基因(P<0.05),共鉴定到了499个DEGs,其中上调基因238个,下调基因261个。
|
图 4 差异表达基因火山图(a)和统计图(b) Fig. 4 Volcano plot (a) and statistical chart (b) of differentially expressed genes |
IAG基因敲低后的差异表达基因通过基因本体论(Gene ontology, GO)分析,被归类至三个主要功能类别:生物过程、细胞成分和分子功能。在生物过程类别中,显著富集的亚类包括蛋白水解、氧化还原、成年寿命调控、氧化应激反应以及跨膜运输等。对于细胞成分类别,膜部分、细胞质以及细胞外空间构成了主要的优势亚类别。而在分子功能类别中,主要子类别为金属离子结合、丝氨酸型内肽酶抑制剂活性以及蛋白质结合等(见图 5(a))。利用京都基因和基因组百科全书(Kyoto encyclopedia of genes and genomes, KEGG)数据库对差异表达基因进行生物通路分析,发现这些基因在多个生物通路中显著富集,包括代谢途径、花生四烯酸代谢、辅因子的生物合成、抗坏血酸盐和醛酸盐代谢以及细胞色素P450介导的异生物质代谢等(见图 5(b))。
|
图 5 IAG敲低后差异表达基因的GO (a)和KEGG (b)富集分析 Fig. 5 GO (a) and KEGG (b) enrichment analysis of differentially expressed genes after IAG knockdown |
此外,对IAG敲低转录组的差异表达基因进行了功能分类统计(见表 3),观察到一些重要基因的表达变化。这些变化包括性相关基因细胞色素基因P450 2L1的上调,谷胱甘肽过氧化物酶基因(GPx)表达的上调以及血管生成素相关蛋白2基因(ANGPTL2)、C型凝集素结构域家族17A类蛋白基因(CLEC17A)、E3泛素蛋白连接酶RNF216类蛋白以及CD209抗原类蛋白e基因(CD209e)等免疫相关基因的表达上调。同时,还观察到肌钙蛋白C基因(TnC)、易位蛋白SEC63同源物基因(SEC63)、内收相关蛋白C1289.14基因(ADD)、胰腺脂肪酶相关蛋白2基因(PNLIPRP2)等代谢相关基因的表达水平发生显著变化。
|
|
表 3 IAG敲低后差异表达基因的功能分类统计 Table 3 Functional classification statistics of differentially expressed genes after IAG knockdown |
为了验证RNA-Seq测序分析结果的准确性,随机选择了6个基因进行qPCR验证(见图 6)。其中,P450 2L1、GPx、ADD、PNLIPRP2、CD209e基因表达量相比于对照组显著上调,TnC基因显著下调。结果显示,每个基因的转录组数据与相对定量结果都具有相似的表达趋势,表明转录组测序数据分析是可靠的。
|
( 黑色柱表示转录组测序结果;灰色柱表示实时荧光定量PCR结果。表示样本间有显著差异(0.01<P<0.05);表示样本间有极显著差异(P<0.01)。The black bars represent the results of transcriptome sequencing; the gray bars represent the results of real-time fluorescent quantitative PCR. represents significant difference(0.01 < P < 0.05); represents highly significant difference(P < 0.01). ) 图 6 差异表达基因的qPCR验证 Fig. 6 Expression validation of differentially expressed genes by qPCR |
结合过往研究,通过多序列比对和系统发育树分析,确定LvIAG的进化特征及其序列同源性。在凡纳滨对虾中,IAG序列及促雄腺位置形态在2014年首次得到鉴定[21]。LvIAG保留了在所有十足目家族中高度保守的6个半胱氨酸残基特征,用于形成二硫键以折叠成胰岛素样成熟肽[21]。随后,在雄虾的末端壶腹中发现了同源物PvIlP,两者仅存在6个氨基酸的差异[19]。序列同源性的结果支持了功能相似性假说,即基因序列的相似性往往预示着其生物学功能的相似性。LvIAG与已知功能的同源蛋白具有较高的序列同源性,暗示它们可能在相似的生物学过程中发挥作用。由此推测,LvIAG可能与性别分化和生殖器官发育密切相关。过往研究显示,在凡纳滨对虾中,AG摘除虽影响雄性特征发育,但雄性特征仍可再生[17];同样,IAG基因敲低也未引起仔虾雄性特征表型的改变[19]。这些操作均未能实现完全的性别反转。然而眼柄摘除后,IAG基因表达水平显著升高,AG细胞肥大,精巢中细胞色素P450酶系相关基因、泛素化系统相关基因等生殖相关基因呈现差异表达[22],表明IAG基因在凡纳滨对虾的生殖调控中发挥作用。
过往针对十足目甲壳动物的IAG基因敲低的研究虽已较多,然而这些研究大多集中于表型变化的观察以及少量基因的定量分析[9, 23-25]。目前,还鲜有研究对AG组织进行转录组的测序分析。在克氏原螯虾中,IAG干扰后的转录组DEGs主要富集在肽和蛋白质生物合成、分泌和代谢相关的GO术语中,同时也富集于性别相关通路,包括Wnt信号通路、GnRH信号通路、卵巢类固醇生成、类固醇激素生物合成、MAPK信号通路和p53信号通路,这些发现强调了IAG在克氏原螯虾繁殖中的关键作用[20]。此外,在蓝蟹(Callinectes sapidus)中沉默CasIAG基因后,碳水化合物(葡萄糖、海藻糖和糖原)的含量显著减少,这表明CasIAG可能在碳水化合物代谢中发挥重要作用[26],主要通过促进葡萄糖转运来调节糖类代谢。而干扰雄性罗氏沼虾IAG基因的表达,不仅能够阻止精子发生和第二性征的再生,还会影响其蜕皮和生长[23],在拟穴青蟹(Scylla paramamosain)[27]和薄荷虾(Lysmata vittata)[24]中也有类似的结果。在本研究中,敲低组DEGs也主要富集在蛋白质水解、结合相关的GO术语中,同时富集了代谢途径、磷酸戊糖途径、氨基酸代谢、碳代谢等通路,其中UDP糖基转移酶2B16和UDP葡糖醛酸转移酶2B14基因在IAG敲低后表达上调(见图 5),由此推测IAG可能还具有胰岛素相似的功能,参与了凡纳滨对虾的生长调控过程。
KEGG富集分析显示,IAG基因敲低后的DEGs还显著富集于细胞色素P450对外源物代谢以及药物代谢等相关通路(见图 5)。细胞色素P450(CYP)是一种广泛存在于生物体内的亚铁血红素蛋白超家族,参与外源性物质和内源性物质的代谢,在解毒、免疫、生长发育、变态和繁殖等多种生理过程中发挥调节作用[28]。在拟穴青蟹中,副溶血性弧菌感染和氨暴露可以诱导SpCYP2基因的表达[29]。在斜纹夜蛾(Spodoptera litura)等昆虫中,CYP家族蛋白是蜕皮激素合成通路的关键酶,例如CYP302A1参与蜕皮激素的生成[30]。三疣梭子蟹(Portunus trituberculatus)的CYP302a1基因通过参与蜕皮激素的合成来调节血淋巴中蜕皮激素的浓度, 进而调控蜕皮过程[31]。在本研究的短期IAG dsRNA体内干扰实验中,IAG基因表达有效降低。转录组分析显示,IAG基因表达下调后,CYP2L1基因表达量显著增加,暗示两者间可能存在负调控关系。CYP2L1基因的上调可能是对IAG基因下调的一种补偿性响应,或者是IAG基因下调后所直接引发的效应。根据先前的研究,CYP2L1基因被认为与性别调控和生殖过程密切相关。在十足目甲壳类动物中,CYP2L1基因在眼斑龙虾(Panulirus argus)中首次被克隆[32],并证实其具有氧化还原酶活性,参与孕酮和睾酮的羟基化反应[33]。孕酮和睾酮作为重要的性激素,其羟基化是调节生物体内激素水平和活性的重要环节,进而影响生殖发育和性别分化等生物学过程。在巴斯德毕赤酵母(Pichia pastoris)中表达眼斑龙虾的CYP2L1基因,以孕酮或睾酮作为底物,能够催化这些类固醇底物的NADPH依赖性16-α-羟基化反应[34]。在蓝蟹肝胰腺中,细胞色素P450基因参与睾酮向6α-羟基睾酮和6β-羟基睾酮的转化[35]。由此推测CYP2L1基因可能参与性激素的代谢过程。此外,在眼柄摘除后,凡纳滨对虾精巢中CYP2L1基因表达量显著上调,表明其在精巢发育过程中发挥作用[22]。在短期干扰实验中,CYP2L1基因对IAG基因下调的快速响应表明这些基因在调控上具有高度敏感性,其相互作用可能在短时间内迅速显现。这种快速且明显的调控反应表明IAG和CYP2L1基因间可能存在紧密的功能关联,它们在性别分化和生殖过程中可能具有直接的相互作用,或者位于同一调控网络中,其中IAG基因的抑制触发了CYP2L1基因的补偿性上调,以维持促雄腺功能的稳态。这一发现为进一步研究两基因在促雄腺中的具体作用机制提供了新见解。
KEGG还富集到谷胱甘肽代谢通路,其中谷胱甘肽过氧化物酶基因(GPx)在IAG基因敲低后显著上调。GPx是一种重要的抗氧化酶,广泛存在于包括甲壳动物在内的多种生物体内,主要在抗氧化、解毒和免疫应激反应中起到关键作用[36]。GPx在刀额新对虾(Metapenaeus ensis)卵母细胞发育过程中防止氧化损伤、维持细胞活性氧平衡方面发挥着重要作用[37]。在小鼠中,GPx5具有附睾特异性且在精子从早期到成熟开始的过程中发挥重要作用[38]。在人血小板中,GPx负责清除花生四烯酸代谢过程中产生的大量过氧化物[39]。值得注意的是,敲低后差异表达的GPx基因在KEGG富集分析中富集到了与生殖过程密切相关的花生四烯酸代谢通路。花生四烯酸作为精子膜磷脂的重要成分,对维持精子膜的流动性和功能完整性至关重要[40]。其代谢产物(如前列腺素)参与调节精子的获能和顶体反应,而后两个过程对精子成功穿透卵子至关重要[41-42]。由此推测,IAG可能也参与了凡纳滨对虾生殖过程中的氧化应激及调控过程。
然而, 在IAG蛋白过表达实验中,我们并未检测到IAG及相关基因表达量的相应变化。考虑到实验所用IAG重组蛋白从包涵体纯化,推测其复性后的蛋白活性可能不够理想。从包涵体中纯化的蛋白质常存在复性效率低和活性损失的问题[43],这可能是本实验中未观测到相关基因表达量变化的原因。因此,未来研究需优化IAG蛋白表达载体,促进其可溶性表达,以期获得更高活性的重组蛋白。
此外,在LvIAG基因短期敲低后,还观察到ANGPTL2、CLEC17A以及CD209e等免疫相关基因表达上调,而SEC63、TnC等代谢相关基因的表达水平出现下调。其中,TnC基因主要参与调节肌肉收缩[44],但在日本沼虾[45]和凡纳滨对虾的AG中均高表达,暗示其可能在AG中具有重要功能。这些结果提示IAG基因可能参与凡纳滨对虾的免疫和代谢调控过程。
4 结语在原核表达系统中,pET32a-IAG重组蛋白在28 ℃诱导12 h后的包涵体中产量相对较高。短期敲低IAG基因可显著影响促雄腺中CYP2L1、GPx、SEC63及TnC等多个基因的表达,提示IAG在凡纳滨对虾的生殖调控、免疫及代谢过程中可能发挥重要作用。然而,本研究尚存在局限性,缺乏对IAG基因的长期体内干扰实验验证以及性特征相关表型的观察。尽管如此,这些研究结果仍为我们理解凡纳滨对虾IAG基因表达调控的分子机制提供了重要线索和分子证据。
| [1] |
Ventura T, Sagi A. The insulin-like androgenic gland hormone in crustaceans: From a single gene silencing to a wide array of sexual manipulation-based biotechnologies[J]. Biotechnology Advances, 2012, 30(6): 1543-1550. DOI:10.1016/j.biotechadv.2012.04.008 ( 0) |
| [2] |
Taketomi Y, Murata M, Miyawaki M. Androgenic gland and secondary sexual characters in the crayfish Procambarus clarkii[J]. Journal of Crustacean Biology, 1990, 10(3): 492-497. DOI:10.2307/1548339 ( 0) |
| [3] |
Sagi A, Cohen D, Milner Y. Effect of androgenic gland ablation on morphotypic differentiation and sexual characteristics of male freshwater prawns, Macrobrachium rosenbergii[J]. General and Comparative Endocrinology, 1990, 77(1): 15-22. DOI:10.1016/0016-6480(90)90201-V ( 0) |
| [4] |
Levy T, Sagi A. The "IAG-Switch"—a key controlling element in decapod crustacean sex differentiation[J]. Frontiers in Endocrinology, 2020, 11: 651. DOI:10.3389/fendo.2020.00651 ( 0) |
| [5] |
Levy T, Rosen O, Eilam B, et al. A single injection of hypertrophied androgenic gland cells produces all-female aquaculture[J]. Marine Biotechnology, 2016, 18(5): 554-563. DOI:10.1007/s10126-016-9717-5 ( 0) |
| [6] |
Priyadarshi H, Das R, Pavan-Kumar A, et al. Silencing and augmentation of IAG hormone transcripts in adult Macrobrachium rosenbergii males affects morphotype transformation[J]. Journal of Experimental Biology, 2017, 220(22): 4101-4108. DOI:10.1242/jeb.163410 ( 0) |
| [7] |
Tan K, Li Y H, Zhou M, et al. siRNA knockdown of MrIR induces sex reversal in Macrobrachium rosenbergii[J]. Aquaculture, 2020, 523: 734957. ( 0) |
| [8] |
Ventura T, Manor R, Aflalo E D, et al. Timing sexual differentiation: full functional sex reversal achieved through silencing of a single insulin-like gene in the prawn, Macrobrachium rosenbergii[J]. Biology of Reproduction, 2012, 86(3): 90. ( 0) |
| [9] |
Rosen O, Manor R, Weil S, et al. A sexual shift induced by silencing of a single insulin-like gene in crayfish: Ovarian upregulation and testicular degeneration[J]. PLoS One, 2010, 5(12): e15281. DOI:10.1371/journal.pone.0015281 ( 0) |
| [10] |
Barki A, Karplus I, Manor R, et al. Intersexuality and behavior in crayfish: The de-masculinization effects of androgenic gland ablation[J]. Hormones and Behavior, 2006, 50(2): 322-331. DOI:10.1016/j.yhbeh.2006.03.017 ( 0) |
| [11] |
Miao M, Li S H, Yuan J B, et al. CRISPR/Cas9-mediated gene mutation of EcIAG leads to sex reversal in the male ridgetail white prawn Exopalaemon carinicauda[J]. Frontiers in Endocrinology, 2023, 14: 1266641. DOI:10.3389/fendo.2023.1266641 ( 0) |
| [12] |
Mohamed K S, Diwan A D. Effect of androgenic gland ablation on sexual characters of the male Indian white prawn Penaeus indicus H. Milne Edwards[J]. Indian Journal of Experimental Biology, 1991, 29: 478-480. ( 0) |
| [13] |
Ge H L, Tan K, Shi L L, et al. Comparison of effects of dsRNA and siRNA RNA interference on insulin-like androgenic gland gene(IAG) in red swamp crayfish Procambarus clarkii[J]. Gene, 2020, 752: 144783. DOI:10.1016/j.gene.2020.144783 ( 0) |
| [14] |
Chow S, Sandifer P A. Differences in growth, morphometric traits, and male sexual maturity among Pacific white shrimp, Penaeus vannamei, from different commercial hatcheries[J]. Aquaculture, 1991, 92: 165-178. DOI:10.1016/0044-8486(91)90018-3 ( 0) |
| [15] |
Pérez-Rostro C I, Ibarra A M. Heritabilities and genetic correlations of size traits at harvest size in sexually dimorphic Pacific white shrimp(Litopenaeus vannamei) grown in two environments[J]. Aquaculture Research, 2003, 34(12): 1079-1085. DOI:10.1046/j.1365-2109.2003.00913.x ( 0) |
| [16] |
Pérez-Rostro C I, Ramirez J L, Ibarra A M. Maternal and cage effects on genetic parameter estimation for Pacific white shrimp Penaeus vannamei Boone[J]. Aquaculture Research, 1999, 30(9): 681-693. DOI:10.1046/j.1365-2109.1999.00377.x ( 0) |
| [17] |
Alfaro-Montoya J, Hernández-Noguera L, Vega-Alpízar L, et al. Effects of androgenic gland ablation on growth, sexual characters and spermatogenesis of the white shrimp, Litopenaeus vannamei(Decapoda: Penaeidae) males[J]. Aquaculture Research, 2016, 47(9): 2768-2777. DOI:10.1111/are.12727 ( 0) |
| [18] |
Vega-Alpízar J L, Alfaro-Montoya J, Hernández-Noguera L, et al. Implant recognition and gender expression following ampoule-androgenic gland implantation in Litopenaeus vannamei females(Penaeidae)[J]. Aquaculture, 2017, 468: 471-480. DOI:10.1016/j.aquaculture.2016.11.007 ( 0) |
| [19] |
Xu H J, Chen Y L, Li J W, et al. A novel unique terminal ampullae-expressed insulin-like peptide in male white shrimp, Penaeus vannamei[J]. Aquaculture Reports, 2022, 23: 101295. ( 0) |
| [20] |
Sun R, Yi S K, Shi L L, et al. Analysis of mRNA and microRNA expression profiles of nervous tissues and reproductive tissues in male Procambarus clarkii after silencing IAG[J]. Marine Biotechnology, 2023, 25(6): 983-996. DOI:10.1007/s10126-023-10254-z ( 0) |
| [21] |
Vázquez-Islas G, Campos-Ramos R, Garza-Torres R, et al. Histology of the androgenic gland and expression of the insulin-like androgenic gland hormone precursor gene in the genital organ of Pacific white shrimp Litopenaeus vannamei[J]. Journal of Crustacean Biology, 2014, 34(3): 293-299. DOI:10.1163/1937240X-00002232 ( 0) |
| [22] |
陈康轩, 李诗豪, 李富花. 凡纳滨对虾"眼柄-促雄性腺-精巢"内分泌轴调控精巢发育的分子机制研究[J]. 海洋科学, 2021, 45(11): 62-72. Chen K X, Li S H, Li F H. Regulatory mechanisms of the eyestalk-androgenic gland-testis endocrine axis on testis development in Litopenaeus vannamei[J]. Marine Sciences, 2021, 45(11): 62-72. ( 0) |
| [23] |
Ventura T, Manor R, Aflalo E D, et al. Temporal silencing of an androgenic gland-specific insulin-like gene affecting phenotypical gender differences and spermatogenesis[J]. Endocrinology, 2009, 150(3): 1278-1286. DOI:10.1210/en.2008-0906 ( 0) |
| [24] |
Liu F, Shi W Y, Ye H H, et al. RNAi reveals role of insulin-like androgenic gland hormone 2(IAG2) in sexual differentiation and growth in hermaphrodite shrimp[J]. Frontiers in Marine Science, 2021, 8: 653606. DOI:10.3389/fmars.2021.653606 ( 0) |
| [25] |
Savaya A, De Leo G, Aalto E, et al. The IAG gene in the invasive crayfish Procambarus clarkii——towards sex manipulations for biocontrol and aquaculture[J]. Management of Biological Invasions, 2020, 11(2): 237-258. DOI:10.3391/mbi.2020.11.2.05 ( 0) |
| [26] |
Chung J S. An insulin-like growth factor found in hepatopancreas implicates carbohydrate metabolism of the blue crab Callinectes sapidus[J]. General and Comparative Endocrinology, 2014, 199: 56-64. DOI:10.1016/j.ygcen.2014.01.012 ( 0) |
| [27] |
Huang X S, Ye H H, Huang H Y, et al. An insulin-like androgenic gland hormone gene in the mud crab, Scylla paramamosain, extensively expressed and involved in the processes of growth and female reproduction[J]. General and Comparative Endocrinology, 2014, 204: 229-238. DOI:10.1016/j.ygcen.2014.06.002 ( 0) |
| [28] |
James M O, Boyle S M. Cytochromes P450 in crustacea[J]. Comparative Biochemistry and Physiology Part C: Pharmacology, Toxicology and Endocrinology, 1998, 121(1): 157-172. ( 0) |
| [29] |
Cheng C H, Zhang S F, Ma H L, et al. Essential role of the cytochrome P450 2(CYP2) in the mud crab Scylla paramamosain antioxidant defense and immune responses[J]. Fish & Shellfish Immunology, 2023, 135: 108674. ( 0) |
| [30] |
谷峻, 叶艳, 李时宇, 等. 斜纹夜蛾蜕皮激素合成通路相关CYP450基因的鉴定及表达分析[J]. 昆虫学报, 2022, 65(12): 1606-1614. Gu J, Ye Y, Li S Y, et al. Identification and expression profiling of CYP450 genes involved in the ecdysone synthesis pathway in Spodoptera litura(Lepidoptera: Noctuidae)[J]. Acta Entomologica Sinica, 2022, 65(12): 1606-1614. ( 0) |
| [31] |
柳志业, 朱冬发, 谢熙, 等. 三疣梭子蟹CYP302a 1基因克隆及其表达分析[J]. 水产学报, 2015, 39(5): 628-637. Liu Z Y, Zhu D F, Xie X, et al. Molecular cloning and expression analysis of CYP302a 1 from Portunus trituberculatus[J]. Journal of Fisheries of China, 2015, 39(5): 628-637. ( 0) |
| [32] |
Boyle S M, Greenberg R M, James M O. Isolation of CYP2L2 and two other cytochrome P450 sequences from a spiny lobster, Panulirus argus, hepatopancreas cDNA library[J]. Marine Environmental Research, 1998, 46(1): 21-24. ( 0) |
| [33] |
James M O, Shiverick K T. Cytochrome P-450-dependent oxidation of progesterone, testosterone, and ecdysone in the spiny lobster, Panulirus argus[J]. Archives of Biochemistry and Biophysics, 1984, 233(1): 1-9. ( 0) |
| [34] |
Boyle S M, Popp M P, Smith W C, et al. Expression of CYP2L1 in the yeast Pichia pastoris, and determination of catalytic activity with progesterone and testosterone[J]. Marine Environmental Research, 1998, 46(1): 25-28. ( 0) |
| [35] |
Oberdorster E, Rittschof D, McClellan-Green P. Induction of cytochrome P450 3A and heat shock protein by tributyltin in blue crab, Callinectes sapidus[J]. Aquatic Toxicology, 1998, 41(1): 53-66. ( 0) |
| [36] |
王雪参, 王文锋, 刘方, 等. 日本沼虾含硒谷胱甘肽过氧化物酶全长克隆及表达分析[J]. 水生生物学报, 2012, 36(6): 1113-1118. Wang X C, Wang W F, Liu F, et al. Full-length cDNA cloning and expression analysis of selenium-dependent glutathione peroxidase from Macrobrachium nipponense[J]. Acta Hydrobiologica Sinica, 2012, 36(6): 1113-1118. ( 0) |
| [37] |
Wu L T, Chu K H. Characterization of an ovary-specific glutathione peroxidase from the shrimp Metapenaeus ensis and its role in crustacean reproduction[J]. Comparative Biochemistry and Physiology Part B: Biochemistry and Molecular Biology, 2010, 155(1): 26-33. DOI:10.1016/j.cbpb.2009.09.005 ( 0) |
| [38] |
Vernet P, Faure J, Dufaure J P, et al. Tissue and developmental distribution, dependence upon testicular factors and attachment to spermatozoa of GPX5, a murine epididymis-specific glutathione peroxidase[J]. Molecular Reproduction and Development, 1997, 47(1): 87-98. DOI:10.1002/(SICI)1098-2795(199705)47:1<87::AID-MRD12>3.0.CO;2-X ( 0) |
| [39] |
Perona G, Schiavon R, Guidi G C, et al. Selenium dependent glutathione peroxidase: A physiological regulatory system for platelet function[J]. Thrombosis and Haemostasis, 1990, 64(6): 312-318. ( 0) |
| [40] |
Gautier C, Aurich C. "Fine feathers make fine birds"——the mammalian sperm plasma membrane lipid composition and effects on assisted reproduction[J]. Animal Reproduction Science, 2022, 246: 106884. DOI:10.1016/j.anireprosci.2021.106884 ( 0) |
| [41] |
Herrero M B, Viggiano J M, Boquet M N, et al. Prostaglandin modulation of mouse and human sperm capacitation[J]. Prostaglandins, Leukotrienes and Essential Fatty Acids, 1997, 57(3): 279-284. DOI:10.1016/S0952-3278(97)90545-7 ( 0) |
| [42] |
Meizel S, Turner K O. The effects of products and inhibitors of arachidonic acid metabolism on the hamster sperm acrosome reaction[J]. Journal of Experimental Zoology, 1984, 231(2): 283-288. DOI:10.1002/jez.1402310213 ( 0) |
| [43] |
Hashemzadeh M S, Mohammadi M, Ghaleh H E G, et al. Expression, solubilization, refolding and final purification of recombinant proteins as expressed in the form of "classical inclusion bodies" in E. coli[J]. Protein and Peptide Letters, 2021, 28(2): 122-130. DOI:10.2174/0929866527999200729182831 ( 0) |
| [44] |
Takeda S, Yamashita A, Maeda K, et al. Structure of the core domain of human cardiac troponin in the Ca2+-saturated form[J]. Nature, 2003, 424(6944): 35-41. DOI:10.1038/nature01780 ( 0) |
| [45] |
Jin S B, Fu H T, Zhou Q, et al. Transcriptome analysis of androgenic gland for discovery of novel genes from the oriental river prawn, Macrobrachium nipponense, using Illumina Hiseq 2000[J]. PLoS One, 2013, 8(10): e76840. DOI:10.1371/journal.pone.0076840 ( 0) |
2. Key Laboratory of Marine Genetics and Breeding(Ocean University of China), Ministry of Education, Qingdao 266003, China
2026, Vol. 56



0)