鱼类是终身生活在水中的低等脊椎动物,其复杂的水体环境中存在众多病原生物(如细菌、病毒和寄生虫等),大多数病原体通过黏膜表面侵入鱼体并引发疾病。不同于陆生动物角质化的皮肤表皮,鱼类黏膜上皮细胞全部是活细胞,其中的黏液细胞(杯状细胞)能够分泌黏蛋白至黏膜表面形成黏液层。黏膜相关淋巴组织(Mucosa-associated lymphoid tissues,MALTs)(皮肤、胃肠道、鳃、鼻咽等)及其表面黏液组成的黏膜屏障是鱼体抵御病原入侵的第一道防线[1]。鱼类黏液成分复杂,以黏蛋白为骨架成分,还含有多种可抵抗病原微生物入侵的活性物质,如免疫球蛋白(IgD、IgM和IgT/Z)、各种水解酶类、抗菌肽、补体类等[2-4]。该黏液层在避免病原体接触上皮细胞的同时,其半透膜特性还允许水分、气体及营养物质进行交换。因此,黏液的分泌和更新对维持黏液屏障功能至关重要[5]。黏液细胞通过基础性分泌和调节性分泌途径合成并分泌黏蛋白,将黏蛋白如黏蛋白2(Mucin2,Muc2)、黏蛋白5ac(Mucin5ac,Muc5ac)等释放到细胞外与水、无机盐及其他产物混合,形成胶冻状黏液,覆盖在黏膜组织表面形成黏液屏障[6]。除了分泌黏液之外,黏液细胞还通过多种免疫调节因子如IL-13、IL-22、SPDEF、IL-10等与其他免疫机制协同参与机体的免疫调节,维持机体黏膜稳态[7]。
了解黏液层的组织学特征对于研究黏膜微生物群、黏膜免疫反应、黏蛋白-病原体相互作用等至关重要。黏液细胞和黏蛋白的保存及定量检测有助于鱼类相关疾病的诊治及预防。然而,采用常规水性固定液(如10%中性甲醛)固定样品时,虽然能够较好地保存黏液细胞的形态,但常导致细胞表面黏液脱落,从而影响对黏液层的准确观察。这归因于高度糖基化的黏蛋白所具有的水合特性。因此,保存黏液层应使用非交联蛋白质且不含水的固定剂[8],如Carnoy(卡诺氏)固定液[9]。但目前在鱼类黏膜组织固定方面对该固定液的使用(如固定液配方、固定时间等)没有统一的标准[10-11],其对不同黏膜组织的固定效果也不明确。Carolina等[12]采用5种固定液固定了患阿米巴鳃病的大西洋鲑(Salmo salar L.)鳃组织,制备石蜡切片研究了鳃黏液的保存效果,发现Methacarn(即甲醇-Carnoy)固定液保存鳃丝黏液的效果最佳。Ran等[13]也发现,Methacarn固定液固定老鼠声带黏液后进行过碘酸雪夫氏反应(Periodic acid-Schiff reaction,PAS)染色能够显示出光滑连续的黏液层,确保了黏液厚度测量和黏蛋白染色。
我们实验室前期制备了牙鲆(Paralichthys olivaceus)黏蛋白Muc2和Muc5ac的特异性抗体,发现Muc2在鳃和肠中表达,Muc5ac在皮肤和鳃中表达[14];利用阿尔新蓝(Alcian blue,AB)-PAS反应对牙鲆黏液细胞进行了分类,并研究了黏液细胞在疫苗免疫后的特性变化[15]。本文采用不同的固定方法(Methacarn与Carnoy固定液)和不同的固定时间(2和24 h)保存牙鲆黏膜免疫相关淋巴组织,制备石蜡切片,利用苏木精-曙红(Hematoxylin-Eosin,HE)染色、AB-PAS以及凝集素/免疫组织化学结合染色(Combined lectin-and immuno-histochemistry,CLIH),基于组织细胞形态学特征和多种参数(包括杯状细胞数量、黏蛋白染色面积和黏液层完整性)评估固定和染色结果,以筛选出适于观察鱼类黏液细胞与黏液分泌的石蜡切片固定方法,为后续鱼类黏液细胞分泌调控及其黏膜防御作用等研究提供技术支持。
1 材料与方法 1.1 实验鱼与固定液实验所用健康牙鲆购自山东日照某养殖场,其体质量为(40±6)g,体长为(16±2) cm。将牙鲆置于实验室水族箱(75 cm×55 cm×60 cm)内暂养一周后用于实验,水温(20±1)℃,连续充气,每天换水一次。所有动物实验操作均遵循中国海洋大学动物实验伦理委员会指南,并尽量减少动物痛苦。
选取Methacarn和Carnoy固定液,每种固定液设置两个时间点,即分别固定2或24 h。固定液配方及时间设置见表 1。
|
|
表 1 4种固定方式设置 Table 1 Designs of 4 fixation methods |
取20条牙鲆,随机分为4组,每组5条,经MS222麻醉后,解剖采集鳃、后肠及皮肤组织。将组织以1∶30(组织体积∶固定液体积)的比例,分别置于对应的4组固定液中,于室温下固定2或24 h。固定后将组织从固定液中取出,分别放置于塑料包埋框中,组织脱水机(Leica TP1020,德国)中按照如下程序进行脱水(见表 2)、透明、浸蜡[12]。将组织包埋后,使用石蜡切片机(徕卡RM2235,德国)制备厚度为5 μm的连续横断切片,37 ℃展片,37 ℃烘箱干燥。
|
|
表 2 组织脱水和包埋程序 Table 2 Tissue dehydration, clearing, and infiltration procedures |
切片脱蜡复水后,苏木精染色15~20 min,分色并复蓝后,梯度酒精脱水至95%酒精,曙红复染10 s,继续经梯度酒精脱水、二甲苯透明、中性树胶封片,显微镜(Zeiss, 德国)观察各黏膜相关淋巴组织中黏液细胞和黏液的分布和形态特征。
1.3.2 AB-PAS反应切片常规脱蜡后入1% AB液(pH=2.5)染色30 min左右,流水冲洗5 min,再用蒸馏水浸洗2次,洗去多余染料后用1%高碘酸氧化5~10 min,蒸馏水洗后入Schiff试剂(从冰箱取出升至室温使用)避光染色30 min,用1%亚硫酸氢钠液浸洗2次,每次1 min,流水冲洗5 min;苏木精染色10 min,流水冲洗10 min;1%酸酒精分色,冲洗后1%氨水复蓝,常规方法脱水、透明、封片。
1.3.3 CLIH切片脱蜡复水后,放入抗原修复液(碧云天,中国上海)中,在高压灭菌锅内95 ℃加热8 min进行抗原修复;用含有0.05% Tween-20的磷酸盐缓冲液(PBST)洗涤3次,每次5 min。滴加5%牛血清白蛋白(BSA,Sigma)封闭液,玻片放入湿盒内,37 ℃烘箱封闭1.5 h;甩掉BSA,肠和鳃组织切片加入实验室前期制备的鼠抗牙鲆Muc2抗体(PBS稀释至1∶500),皮肤组织切片加入鼠抗牙鲆Muc5ac抗体(PBS稀释至1∶500)[14],4 ℃冰箱孵育过夜;PBST洗涤3次,每次5 min。然后,加入Cy3标记羊抗鼠IgG (Thermofisher, 1∶1 000)、DAPI(Thermofisher, 1∶2 000)和异硫氰酸荧光素标记麦胚凝集素(FITC-WGA)(Sigma-Aldrich, 1∶100)于37 ℃烘箱中孵育45 min;PBST洗涤3次,每次5 min。甩干玻片后,于每一样品上滴加1 μL抗荧光淬灭剂,盖上盖玻片,用蔡司荧光显微镜观察。实验设置PBS和鼠阴性血清(1∶ 1 000)作为WGA和Muc2/Muc5ac的对照组。使用ZEN 3.4软件(Zeiss Axio Imager. Z2)进行图像分析和处理。
1.4 标本观察与黏液细胞指标统计 1.4.1 黏液细胞的形态学观察将上述各组织切片染色后,每尾牙鲆的3种组织随机各取3张切片,每张切片分别于20×和40×物镜下随机观察并拍摄至少3个视野,所选视野需具有代表性。对比4种固定方法和3种染色后黏液细胞形态、黏液细胞内黏液颗粒及黏蛋白分泌情况。
1.4.2 指标统计及数据处理HE染色切片由多人采用盲法对3种黏膜组织的形态学质量进行评估[16-18],每个参数的评分分为1—4级,得分以中位数值表示。具体参数如下:(1)切片质量:观察组织切片的连贯性、松散及碎裂程度;(2)染色特性:着色深浅、明亮程度;(3)组织形态:上皮完整性以及亚细胞结构(细胞核和细胞质);(4)显微细节:分泌黏蛋白的过程以及黏液层的连续性。以各参数的评分之和作为每种固定方式的最终得分来表示总体效果。
利用AB-PAS反应分析黏膜组织中黏液细胞的形态特征、类型及分布,利用Image J图像分析软件对不同固定处理的组织切片中黏液细胞的数量进行统计,并对肠和皮肤组织黏液染色面积(包括黏液细胞和顶端黏液层)及黏液层连续性进行测量。由于鳃组织染色后在鳃小片之间呈现出散乱且不均匀的黏液层,因此对鳃丝黏液采用半定量分析方法[12]:即观察40×视野下鳃丝层间黏液存在的染色痕迹,并计算其在每10个鳃小片之间出现的概率来量化黏液。
CLIH染色后观察黏液细胞特异性黏蛋白的阳性表达,并利用Image J对WGA分别与Muc2/Muc5ac进行共定位分析[19]。
1.5 统计学分析所有结果均利用Graphpad Prism 9.0软件进行数据分析,数据以均值±标准差(Mean±SD)表示,进行单因素方差分析(One-Way ANOVA),P<0.05为有显著性差异,有统计学意义。
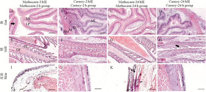
2 结果 2.1 不同固定条件下HE染色结果比较 2.1.1 肠对4种固定方式下肠黏膜组织的HE染色结果进行观察,发现肠黏膜由内向外依次分为黏膜层、黏膜下层、肌层、浆膜层,各层排列有序,结构清晰,黏液细胞呈空泡状,分布于肠上皮中(见图 1A—D)。Methacarn-2 h组肠组织结构最完整清晰,基本无脆裂现象。颜色鲜艳,透明度高,细胞核质对比明显,可以看到被胞吐到肠腔中的黏液痕迹(见图 1A)。Methacarn-24 h组红蓝染色适中,但黏膜层与固有层产生空隙分离,存在明显空白区域(见图 1C)。而Carnoy固定组的固定效果不如Methacarn固定组颜色明亮,浆膜与肌层间存在裂隙,有黏膜层脱落,常出现脆裂,破碎明显;Carnoy-24 h组较Carnoy-2 h组固定效果稍差,且染色不均匀(见图 1B, D)。总体而言,Methacarn-2 h组固定肠组织的效果最好,Methacarn-24 h组次之,Carnoy固定组的破碎频率高,固定效果较差(见表 3)。
|
(A—D、E—H和I—L分别为牙鲆肠、鳃和皮肤组织HE染色结果。肠壁结构:ML: 黏膜层;SL: 黏膜下层;LP:黏膜固有层;M:肌层;SM: 浆膜层。鳃结构:GF:鳃丝;GL:鳃小片。A—L中标尺为100 μm。黑色箭头表示正在分泌黏液的杯状细胞。A—D, E—H and I—L were the results of HE staining in the intestinal, gill and skin tissues of flounder, respectively. Intestinal structure: ML: mucous layer; SL: submucosa layer; LP: lamina propria; M: muscle layer; SM: serous membrane. Gill structure: GF: gill filament; GL: gill lamella. The scale bars are as follows: 100 μm for (A—L). Black arrows indicate goblet cells in the process of secreting mucus.) 图 1 黏膜组织在4组固定方式中HE染色效果比较 Fig. 1 Comparison of HE staining eects of MALTs treated with four fixatives |
|
|
表 3 4种固定方式处理后HE染色的黏膜组织切片质量评估 Table 3 Histological evaluation of morphologic quality of flounder MALTs stained with HE staining after treatment with four fixation protocols |
黏液细胞多聚集在远端鳃间淋巴组织的膜上皮、鳃小片基部以及鳃丝上皮细胞之间,鳃基部黏液细胞排列紧密(见图 1E—H)。Methacarn固定组染色较为鲜艳,清晰可辨,鳃丝结构完整(见图 1E, G)。Carnoy-2 h组组织形态尚属完整(见图 1F),染色也较清晰,但因顶端细胞肿胀,致使鳃小片出现剥离与断裂;Carnoy-24 h组鳃丝的组织形态结构与Carnoy-2 h组相比差异不大(见图 1F、H),细胞形态易辨,可观察到鳃小片分布均匀、梳状排列,也存在细小裂隙,鳃小片上皮细胞存在部分断裂和脱落。Methacarn和Carnoy固定的鳃组织石蜡切片的效果无明显区别,染色后的组织结构均精细且清晰,略显不足的是Carnoy固定组的染色色彩不如Methacarn固定组鲜艳(见表 3)。
2.1.3 皮肤显微镜下观察皮肤切片,皮肤结构分为表皮层和真皮层,黏液细胞不均匀且排列紧密地散布在表皮层中,鳞片基部分布较多(见图 1I—L)。Methacarn-2 h组细胞结构较为清晰、完整,黏液细胞形态易识别,着色程度适中(见图 1I)。Methacarn-24 h组皮肤组织结构部分不完整,肌肉有裂痕皱缩现象,黏膜上皮细胞有脱落现象(见图 1K)。Carnoy-2 h组和Carnoy-24 h组的组织切片的染色效果总体相近,但Carnoy-24 h组在染色均匀性和细节上略差,尽管皮下肌肉细胞整体结构仍保持完整,但细胞轮廓及组织细节的清晰度较Carnoy-2h组有所下降(见图 1J、L)。总体而言,Methacarn-2 h组相较其他三组而言其组织形态最好,固定效果最佳(见表 3)。
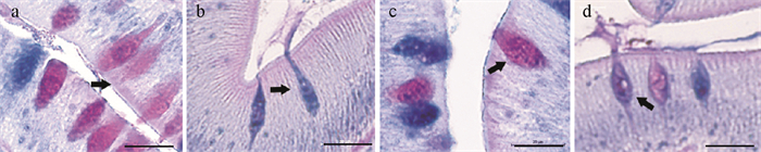
2.2 不同固定条件下AB-PAS染色结果比较AB-PAS染色可定性分析黏蛋白特性。根据AB-PAS染色(pH=2.5)结果,发现皮肤黏液细胞大多数为被染成红色的Ⅰ型黏液细胞(即含有中性黏蛋白)和紫红色的Ⅲ型黏液细胞(以中性黏蛋白为主且含少量酸性黏蛋白);而在鳃中除Ⅰ、Ⅲ型黏液细胞外,还观察到少数细胞被染成蓝紫色,即Ⅳ型黏液细胞(以酸性黏蛋白为主且含有少量中性黏蛋白);中后肠上皮中除上述3种黏液细胞外,还存在呈蓝色的Ⅱ型黏液细胞(含有酸性黏蛋白)。图 2以肠上皮为例展示4种类型的黏液细胞,可清晰地观察到黏液从黏液细胞顶部分泌出来。
|
(a、b、c、d图中的箭头分别示牙鲆Ⅰ、Ⅱ、Ⅲ和Ⅳ型黏液细胞,分别被AB-PAS染成红色、蓝色、紫红色和蓝紫色;标尺为20 μm。Arrows in figure a, b, c, d showed the four types of mucous cells, Ⅰ, Ⅱ, Ⅲ and Ⅳ, in flounder, which was stained magenta, blue, purple and blueviolet by AB-PAS staining, respectively. Scale=20 μm.) 图 2 牙鲆黏液细胞分类 Fig. 2 Classification of mucous cells in flounder |
光镜下,后肠上皮中观察到大量AB-PAS阳性的杯状细胞,边界清晰,多数细胞的胞质内布满蓝染的酸性黏蛋白颗粒,亦可见被分泌至肠腔的黏液(见图 3A)。Methacarn固定液固定的杯状细胞内黏蛋白呈细微颗粒状外观(见图 3A-a1、c1)。Carnoy组的肠组织表面也能观察到黏液层,但其连续性或厚度不如Methacarn组清晰(见图 3A-b1、d1)。Image J分析结果显示,Methacarn-2 h组与其他3组的杯状细胞数量皆无显著性差异(见图 3B,P>0.05);其黏液层连续性与黏蛋白含量与Methacarn-24 h组无显著性差异,但与Carnoy-2 h组存在显著差异(P < 0.05),与Carnoy-24 h组存在极显著差异(见图 3C、D,P < 0.01)。Methacarn-2 h组黏液层保存效果更佳,而Carnoy组的样本会随时间延长黏液层连续性减少、黏蛋白含量降低。
|
(A. 不同固定条件下肠组织AB-PAS染色结果。a1—d1为a—d中黑色虚线框中的局部放大,其中a—d中标尺为100 μm, a1—d1中标尺为50 μm。B. 不同固定条件下肠组织的黏液细胞数量。C. 不同固定条件下肠组织中黏液细胞及其分泌黏蛋白的平均染色面积。D. 不同固定条件下肠组织的黏液层平均连续长度。各图中黑色箭头所示为黏液细胞。在图B、C、D中,与Methacarn-2 h组比较,a与b之间差异显著P < 0.05,a与c之间差异极显著P < 0.01。A. AB-PAS staining results of gut tissue under different fixed conditions. a1—d1: the higher magnification view of the insert area (black box) in (a—d) respectively; the scale bars are as follows: 100 μm for (a—d); 50 μm for (a1—d1). B. The number of mucous cells in intestinal tissue under different fixed conditions. C. The average stained area of intestinal tissue under different fixed conditions. D. The mean continuous length of mucous layer of intestinal tissue under different fixed conditions. Black arrows showed the mucus cells that were secreting the mucus. In figure B, C, D compared with the Methacarn-2 h fixed group, the differences between a and b showed significant P < 0.05; while those between a and c showed great signi-ficant P < 0.01.) 图 3 4组固定方式肠组织AB-PAS染色效果比较 Fig. 3 Comparison of AB-PAS staining eects of flounder gut treated with four fixatives |
Methacarn处理组中,黏液主要存在于鳃丝尖端,也可以看到斑块状黏液存在于次级鳃片之间(见图 4A)。黏液在各个鳃小片之间的分布不均匀,黏液从黏液细胞中分泌出来后,在鳃小片之间形成一个更紧密的条纹“网状物”,呈链状或束状的黏液层在鳃丝尖端尤为明显(见图A-a1)。Image J分析结果显示,Methacarn-2 h组与其他3组的杯状细胞数量无显著性差异(见图 4B,P>0.05);对鳃小片上黏液痕迹的半定量分析表明,Methacarn组与Carnoy组的黏液保存率存在显著差异,其中,Methacarn-2 h组和Methacarn-24 h组显示出更高的黏液痕迹发生率,且二者无显著差异;但Methacarn组与Carnoy-2 h组存在显著差异(P < 0.05),与Carnoy-24 h组存在极显著差异(见图 4C,P < 0.01)。总体显示Methacarn组鳃组织黏液层的保存更佳。
|
(A. 不同固定条件下鳃组织的AB-PAS染色结果。a1—d1为a—d中黑色虚线框中的局部放大,其中a—d中标尺为100 μm, a1—d1中标尺为50 μm。B.不同固定条件下鳃组织黏液细胞数量。C.不同固定条件下鳃组织的黏液痕迹发生率。黑色箭头所示为黏液细胞。与Methacarn-2 h组相比较,a与b之间差异显著P < 0.05,a与c之间差异极显著P < 0.01。A. AB-PAS staining results of gill tissue under different fixed conditions. (a1—d1): the higher magnification view of the insert area (black box) in (a—d) respectively; the scale bars are as follows: 100 μm for (a—d); 50 μm for (a1—d1). B. The numbers of mucous cells in gill tissue under different fixed conditions. C. The average stained area of gill tissue under different fixed conditions. Black arrows showed the mucous cells. In figure B, C, D compared with the Methacarn-2 h fixed group, a and b showed significant differences P < 0.05; a and c showed great significant differences P < 0.05.) 图 4 4组固定方式固定牙鲆鳃组织的AB-PAS染色效果比较 Fig. 4 Comparison of AB-PASstaining eects of flounder gills treated with four fixatives |
牙鲆皮肤组织AB-PAS染色显示,Carnoy与Methacarn固定组的表皮层都比较完整,细胞形态正常,染色清晰且着色均匀,皮肤表面有黏液痕迹,但未观察到连续的黏液层,且表皮下皆有不同程度的组织破裂或变形(见图 5A,a—d、a1—d1),没有发现固定时间的明显影响(2和24 h)。Image J分析结果显示,4组皮肤的黏液细胞数量及黏蛋白含量分析结果均无显著性差异(见图 5B、C,P>0.05)。这表明皮肤表面的黏液在处理过程中比鳃黏液和肠黏液更易脱落。
|
(A.不同固定条件下皮肤组织AB-PAS染色结果。a1—d1为a—d中黑色虚线框中的局部放大,其中a—d中标尺为100 μm, a1—d1中标尺为50 μm。B.不同固定条件下皮肤组织的黏液细胞数量。C.不同固定条件下皮肤组织表面黏液的平均染色面积。A. AB-PAS staining results of skin tissue under different fixed conditions; (a1—d1): the higher magnification view of the insert area (black box) in (a—d) respectively; the scale bars are as follows: 100 μm for (a—d), 50 μm for (a1—d1). B. The number of mucous cells in skin tissue under different fixed conditions. C. The average stained area of skin tissue under different fixed conditions.) 图 5 4组固定方式牙鲆皮肤组织AB-PAS染色效果比较 Fig. 5 Comparison of AB-PAS staining eects of flounder skin treated with four fixatives |
为了确认4种固定方式对黏蛋白成分的固定效果,利用凝集素WGA与黏蛋白Muc2/Muc5ac抗体对牙鲆肠和皮肤进行多荧光共染色。结果显示,肠上皮表面黏液、黏液细胞、基膜及结缔组织中的血管壁和胶原纤维等被染成WGA阳性绿色(见图 6A-a1),而肠上皮表面黏液、黏液细胞也呈现Muc2阳性(见图 6A-a2)。皮肤染色结果显示,表皮层中黏液细胞及表面黏液呈现WGA和Muc5ac阳性,皮肤表面可清晰地观察到连续的黏液层(见图 6A-b1、b2)。WGA与黏蛋白Muc2/Muc5ac染色结果叠加后呈现出双阳性黄色荧光,表明两种醇基固定液皆可以较好地保存黏液中的黏蛋白成分(见图 6A-a3、b3,以Methacarn-2 h组的肠和皮肤组织为例,其余结果未显示)。使用Image J软件分析WGA与黏蛋白Muc2/Muc5ac的共定位,利用矩形工具在图 6A-a3、b3中分别选择分析区域,各通道荧光强度值以二维折线图绘制在图 6B-a1、b1中,横坐标上方的重叠区域即为二者的共定位部位,箭头所示位置为像素中红、绿通道共同的峰值位置,即黏蛋白含量最高部位。图 6B-a2、b2为所选区域的散点图,显示WGA和黏蛋白Muc2/Muc5ac存在共定位。鼠阴性血清和PBS阴性对照组没有检测到荧光信号(图中未显示)。
|
(A. Methacarn-2 h组牙鲆肠(a1—a3)和皮肤组织(b1—b3)的WGA与黏蛋白Muc2/Muc5ac共染色荧光图。白色箭头代表Muc2+ WGA+双阳性信号(黄色),蓝色代表DAPI染核,绿色代表WGA阳性,红色代表Muc2/Muc5ac阳性;LP:固有层;Lu:肠腔;标尺为50 μm。B. 图A-a3,b3中白色虚线框的各通道荧光强度的折线图(a1,b1)及共定位分析的散点图(a2,b2)。A. Immunofluorescence images of intestinal (a1—a3) and skin (b1—b3) tissues, respectively. White arrows indicated Muc2+ WGA+ and Muc5ac+ WGA+ signals in yellow. The cell nuclei were counterstained in blue with DAPI. WGA was present red and Muc2 and Muc5ac was present green fluoresce, respectively. LP: lamina propria; Lu: lumen. Bars=50 μm. B. The line chart of the fluorescence intensity (a1, b1) and the scatter diagrams for co-localization analysis (a2, b2) of each channel in the white dashed boxes in Fi-gure A-a3 and Figure A-b3.) 图 6 牙鲆黏膜组织中凝集素WGA与黏蛋白Muc2和Muc5ac抗体的共定位检测 Fig. 6 Co-localization staining of lectin WGA and mucin Muc2 and Muc5ac in the MALTs of flounder by combined fluorescent lectin/immunohistochemistry |
组织固定是制备石蜡切片的关键步骤。其中,固定液的选择和固定程度是影响切片质量最重要的因素,只有选取合适的固定液并控制固定时间,才能最大程度地显示细胞的固有形态及组织结构成分[11]。本文采用的4种固定方式均可固定鱼类黏膜组织形态结构,但固定液成分不同且固定时间不同,固定效果也会有所差异。结果显示,Carnoy固定液在保存上皮黏膜完整性以及黏液层的连续性或厚度方面不如Methacarn固定组,而Methacarn固定液以固定2 h较为理想,黏蛋白含量较高。黏膜组织杯状细胞在进行HE染色时,不能将黏液细胞和体表黏液中的中性黏蛋白染上颜色,致使黏液细胞多呈现出空泡状,也不能真实反映黏液层厚度。AB-PAS染色方法不仅可以清晰地区别中性黏蛋白、酸性黏蛋白以及混合黏蛋白,将黏液细胞鉴别出4种类型,而且胞内黏蛋白可呈现出细微颗粒状外观,胞外能观察到清晰、连续的黏液层,可以比HE染色更准确地显示不同固定剂的固定效果。因此,合理选择固定液,控制组织的固定时间并使用合适的染色方法有利于牙鲆黏液细胞和黏液层分布及其含量的观察与测量。同时利用FITC-WGA和我们实验室前期制备的鼠抗牙鲆Muc2/Muc5ac抗体,开展凝集素组织化学结合黏蛋白免疫组化研究也证实了Carnoy和Methacarn固定液较好的固定结果,其中Methacarn固定效果相对更好,并且可以在皮肤表面观察到HE染色中观察不到的连续黏液层,表明凝集素组织化学染色技术及免疫荧光技术可以更好地展示黏蛋白成分。本文还通过使用Image J软件进一步验证了WGA与黏蛋白Muc2+/Muc5ac+细胞的共定位。
Carnoy液穿透力强,固定作用迅速,是组织学研究中制备石蜡切片常用的固定液之一,其主要成分无水乙醇可以固定高分子蛋白和糖类,在室温下使水中的不溶性蛋白质变性,但核蛋白被乙醇沉淀后能溶于水会导致细胞核细节失真[11]。冰醋酸可使组织膨胀、染色体铺展,与乙醇混合使用可抵消乙醇固定和长时间浸泡产生的组织收缩和硬化等问题[16]。Methacarn固定液能迅速固定组织结构和黏液层、增强染色体的嗜碱性,达到优良染色效果,AB-PAS染色后的糖蛋白呈细微颗粒状。Methacarn固定液以甲醇为主要成分,其固定机制与乙醇类似,但引起组织收缩的程度较乙醇轻,可减少乙醇引起的过度硬化和组织收缩[10],避免了由于组织脆裂导致一定程度上黏液层脱落、黏蛋白含量降低。另一主要成分氯仿可以提高pH值并增加溶液的黏稠度,使黏膜上皮在固定过程中降低了黏液被冲刷掉的概率,组织切片染色后在显微镜下均能观察到黏液痕迹以及黏液分泌过程,而Carnoy固定液的水质特性则会导致黏液的固定效果不稳定[12-13]。另外,本文结果显示同一固定液对不同组织的固定效果也存在显著差异。肠道可以在很大程度上通过管腔内容物(例如粪便颗粒)的压强来稳定黏液[20],而鳃和皮肤组织的黏液层缺乏外力支撑,无法将黏液层牢固地保留在细胞表面,这使得牙鲆鳃和皮肤的黏液层结构稳定程度和覆盖面积远不如肠上皮,且相对而言皮肤表面黏液比鳃黏液更容易脱落。
黏液层作为黏膜上皮的“护盾”,其内含有高分子量糖蛋白,从而能够阻止外界病菌的入侵[21]。因此,黏液在调节病原菌与寄主之间的相互作用中起着关键作用[22]。本研究中探索和优化的黏液靶向固定方法,不仅有助于观察黏液在上皮的黏附情况,确定黏液产生水平及变化幅度[23],还可以广泛地用于观察黏液表面相关病原体,研究病原体与机体黏膜之间相互作用,以反映感染强度及黏液成分和功能的变化。总体而言,在黏膜组织的形态学及黏液分泌的观察中,本文所述的4组固定方式皆可以一定程度上保存黏液,其中Methacarn-2 h组的固定效果最佳,黏膜组织形态清晰并保留了相对更多的黏液层。这与先前涉及人类及哺乳动物的声道、结肠以及对大西洋鲑鳃组织的研究结论相似[12-13, 24-26]。虽然本文显示Methacarn可提供最佳固定效果,但需指出,任何固定方法均无法完全、无损失地保存黏液层。因为在石蜡切片制备过程中黏液损失是不可避免的,对石蜡包埋组织进行切片时施加的力度可能会压缩和扭曲黏液层,并且进行染色等处理时的乙醇脱水过程也会造成组织约30%的收缩及黏液损失[27]。因此,整个制片过程的各个环节仍需要进一步优化。除此之外,黏液不是以均匀的一层存在于鱼类鳃上皮层,这不利于黏液的定量和厚度测量,给黏液定量检测带来了挑战,很有必要改进鱼类黏液定量方法,这有待后续进一步研究。
综上所述,本研究筛选出了利于鱼类黏液细胞与黏液分泌观察的石蜡切片固定方法,并通过不同染色方法呈现了牙鲆不同黏膜组织的固定效果差异。在对鱼类黏膜组织中的黏液细胞和黏液分泌进行观察时用Methacarn固定液处理标本的方法更为合适,以固定2 h较为理想。这种方法不仅解决了固定过程中黏液丢失的问题,也较好地保存了黏膜组织中黏液细胞形态和黏蛋白成分,以及黏液层的完整性。此外,本研究首次利用鱼类黏蛋白Muc2和Muc5ac的特异性抗体,从分子水平验证不同固定剂对黏蛋白抗原的保存效果。研究结果为后续鱼类黏液细胞分泌调控及其黏膜防御作用等研究提供了技术支持。
| [1] |
Salinas I. The mucosal immune system of teleost fish[J]. Biology (Basel), 2015, 4(3): 525-539. ( 0) |
| [2] |
Bordas M A, Balebona M C, Rodriguez-Maroto J M, et al. Chemotaxis of pathogenic Vibrio strains towards mucus surfaces of gilt-head sea bream (Sparus aurata L.)[J]. Applied and Environmental Microbiology, 1998, 64(4): 1573-1575. DOI:10.1128/AEM.64.4.1573-1575.1998 ( 0) |
| [3] |
Salinas I, Zhang Y A, Sunyer J O. Mucosal immunoglobulins and B cells of teleost fish[J]. Developmental and Comparative Immunology, 2011, 35(12): 1346-1365. DOI:10.1016/j.dci.2011.11.009 ( 0) |
| [4] |
Rogan M P, Geraghty P, Greene C M, et al. Antimicrobial proteins and polypeptides in pulmonary innate defence[J]. Respiratory Research, 2006, 7(1): 29. DOI:10.1186/1465-9921-7-29 ( 0) |
| [5] |
黄春兰, 曾悦. 杯状细胞及肠道黏液屏障的功能研究[J]. 国际消化病杂志, 2017, 37(6): 357-360. Huang C L, Zeng Y. Function of goblet cells and intestinal mucus barrier[J]. International Journal of Digestive Diseases, 2017, 37(6): 357-360. ( 0) |
| [6] |
Johansson M E, Hansson G C. Mucus and the goblet cell[J]. Digestive Diseases and Sciences, 2013, 31(3-4): 305-309. DOI:10.1159/000354683 ( 0) |
| [7] |
Gregorieff A, Stange D E, Kujala P, et al. The ets-domain transcription factor Spdef promotes maturation of goblet and paneth cells in the intestinal epithelium[J]. Gastroenterology, 2009, 137(4): 1333-1345. DOI:10.1053/j.gastro.2009.06.044 ( 0) |
| [8] |
Johansson M E, Larsson J M, Hansson G C. The two mucus layers of colon are organized by the MUC2 mucin, whereas the outer layer is a legislator of host-microbial interactions[J]. Proceedings of the National Academy of Sciences of the United States of America, 2011, 108(Suppl 1): 4659-4665. ( 0) |
| [9] |
Carvalho F, Samuel R, Feitosa V, et al. Physicochemical and rheological characterization of different Carnoy's solutions applied in oral and maxillofacial surgery[J]. Journal of Raman Spectroscopy, 2017, 48(10): 1375-1384. DOI:10.1002/jrs.5227 ( 0) |
| [10] |
黄荣祥, 余岚岚, 朱晨雁, 等. 无醛固定液与醛类固定液对细胞核DNA及细胞质着色的影响[J]. 重庆医学, 2017, 46(23): 3241-3244. Huang R X, Yu L L, Zhu C Y, et al. Effects of aldehyde-free fixation solution and aldehyde fixation solution on the nucleus DNA and cytoplasm staining[J]. Chongqing Medical Journal, 2017, 46(23): 3241-3244. ( 0) |
| [11] |
孙河龙, 李耀洋, 李丹, 等. 组织固定液与固定方法选择的探讨[J]. 甘肃医药, 2019, 38(12): 1061-1064. Sun H L, Li Y Y, Li D, et al. Selection of tissue fixation fluid and fixation method[J]. Gansu Medical Journal, 2019, 38(12): 1061-1064. ( 0) |
| [12] |
Carolina F, Dario M, Sean J, et al. Methacarn preserves mucus integrity and improves visualization of amoebae in gills of Atlantic salmon (Salmo salar L.)[J]. Journal of Fish Diseases, 2019, 42(6): 883-894. DOI:10.1111/jfd.12988 ( 0) |
| [13] |
Ran A, Daniel R, Federico R, et al. Vocal fold mucus layer: Comparison of histological protocols for visualization in mice[J]. Laryngoscope Investigative Otolaryngology, 2022, 7(2): 444-453. DOI:10.1002/lio2.743 ( 0) |
| [14] |
Wang J C, Gao J L, Sheng X Z, et al. Teleost Muc2 and Muc5ac: Key guardians of mucosal immunity in flounder (Paralichthys olivaceus)[J]. International Journal of Biological Macromolecules, 2024, 277(1): 134127. ( 0) |
| [15] |
路珍, 绳秀珍, 唐小千, 等. 浸泡免疫迟钝爱德华氏菌疫苗诱导牙鲆黏液细胞的动态变化[J]. 水产学报, 2016, 40(3): 414-427. Lu Z, Shen X Z, Tang X Q, et al. Dynamic changes of mucous cells of flounder induced by immersing Edwardsiella vaccine[J]. Journal of Fisheries of China, 2016, 40(3): 414-427. ( 0) |
| [16] |
Pallav S, Nath S N, Gadiputi S, et al. Evaluation of histomorphometric changes in tissue architecture in relation to alteration in fixation protocol: An invitro study[J]. Journal of Clinical and Diagnostic Research, 2016, 10(8): 28-32. ( 0) |
| [17] |
Milcheva R, Janega P, Celec P, et al. Alcohol based fixatives provide excellent tissue morphology, protein immunoreactivity and RNA integrity in paraffin embedded tissue specimens[J]. Acta Histochemica, 2013, 115(3): 279-289. DOI:10.1016/j.acthis.2012.08.002 ( 0) |
| [18] |
Cox M L, Schray C L, Luster C N, et al. Assessment of fixatives, fixation, and tissue processing on morphology and RNA integrity[J]. Experimental and Molecular Pathology, 2006, 80(2): 183-191. DOI:10.1016/j.yexmp.2005.10.002 ( 0) |
| [19] |
Rebelo A L, Contessotto P, Joyce K, et al. An optimized protocol for combined fluorescent lectin/immunohistochemistry to characterize tissue-specific glycan distribution in human or rodent tissues[J]. STAR Protocols, 2021, 2(1): 100237. DOI:10.1016/j.xpro.2020.100237 ( 0) |
| [20] |
Kamphuis J B J, Mercier-Bonin M, et al. Mucus organisation is shaped by colonic content: A new view[J]. Scientific Reports, 2017, 7(1-4): 8527. ( 0) |
| [21] |
Johansson M E, Hansson G C. Immunological aspects of intestinal mucus and mucins[J]. Nature Reviews Immunology, 2016, 16(10): 639-649. DOI:10.1038/nri.2016.88 ( 0) |
| [22] |
Paone P, Cani P D. Correction: Mucus barrier, mucins and gut microbiota: The expected slimy partners?[J]. Gut, 2023, 72(12): e7. DOI:10.1136/gutjnl-2020-322260corr1 ( 0) |
| [23] |
Cohen M, Varki N M, Jankowski M D, et al. Using unfixed, frozen tissues to study natural mucin distribution[J]. Journal of Visualized Experiments, 2012(67): e3928. ( 0) |
| [24] |
Johansson M E, Hansson G C. Preservation of mucus in histological sections, immunostaining of mucins in fixed tissue, and localization of bacteria with FISH[J]. Methods in Molecular Biology, 2012, 842: 229-235. ( 0) |
| [25] |
Uneyama C, Shibutani M, Masutomi N, et al. Methacarn fixation for genomic DNA analysis in microdissected, paraffin-embedded tissue specimens[J]. Journal of Histochem Cytochem, 2002, 50(9): 1237-1245. DOI:10.1177/002215540205000911 ( 0) |
| [26] |
Matsuo K, Ota H, Akamatsu T, et al. Histochemistry of the surface mucous gel layer of the human colon[J]. Gut, 1997, 40(6): 782-789. DOI:10.1136/gut.40.6.782 ( 0) |
| [27] |
Boyde A, Maconnachie E. Treatment with lithium salts reduces ethanol dehydration shrinkage of glutaraldehyde fixed tissue[J]. Histochemistry, 1980, 66(2): 181-187. DOI:10.1007/BF00494644 ( 0) |
2026, Vol. 56



0)