2. 荆州市明德科技有限公司, 湖北 荆州 434001
嗜水气单胞菌(Aeromonas hydrophila)为革兰氏阴性短杆菌,是引起哺乳动物和淡水鱼细菌性败血症的重要病原菌[1-2]。各种淡水鱼都可感染, 可表现为皮肤溃疡的慢性型, 如可引起鲤的“红皮炎”, 更多的则是患败血症急性死亡, 尤其是人工密集养殖的温水鱼在水温较高的季节最为常发, 自1989年起在中国南方各省家养鲤科鱼广泛流行的暴发性传染病造成严重经济损失, 殃及的种类包括鲫(Carassius auratus cuvieri)、鳊(Parabramis pekinensis)、鲢(Hypophthalmichthys molitrix)、鳙(Aristichthys nobilis)、鲮(Cirrhinus molitorella)等,已确诊患病的重要养殖鱼类有鲫、鳊、鲮、鲤、鲢、鳙、草鱼(Ctenopharyngodon idella)、香鱼(Plecoglossus altivelis)、狼鲈(Dicentrarchus labrax)、虹鳟(Oncorhynchus mykiss)、尼罗罗非鱼(Oreo-chromis niloticus)、斑点叉尾鮰(Ictalurus punctatus)和黄鳝(Monopterus albus)[3]。目前,抗生素是防治嗜水气单胞菌感染的主要手段,但随着抗生素的不规范应用以及滥用现象频繁发生,从而导致嗜水气单胞菌耐药菌株的出现[4]。然而,新型抗生素的开发依赖于药物作用靶点的寻找,且所需成本投入高,加之细菌易对新抗生素产生耐药性,使得研发面临挑战。
嗜水气单胞菌普遍存在于自然界水体、土壤和水生动物体表及消化道内[5],主要借助黏附因子黏附于宿主的上皮细胞并实现定植,随后伴随血液循环进入肾脏、肝脏以及其他组织器官。这会引发实质器官以及血液发生病变,导致细胞溶解和组织损伤,继而出现全身症状,给淡水养殖业带来极为严重的经济损失。目前防治其感染的措施主要依赖于抗生素,致使该菌的耐药性日益严重。因此,用于防治嗜水气单胞菌感染的替抗药物开发迫在眉睫。黄芩苷具有抗炎、抗菌、抗病毒、清除自由基及抗氧化等多种药理活性[6],但其具体通过哪些靶点发挥药理作用,相关研究尚少。随着高通量基因测序技术的迅速发展与广泛应用,转录组分析结合微阵列以及生物信息学技术,能够有效地识别出疾病共有的生物标志物,同时还能够深入地了解疾病的发病机制。这种技术组合为疾病的研究和诊断提供了强大的工具,有助于揭示疾病发生发展过程中的关键分子变化,为开发新的治疗方法和药物提供重要的线索和依据。这一技术打破了疾病研究过程中的通量限制,具备高分辨率、高敏感性以及高准确性等优点[7-9]。
中药作为我国的天然宝库,具有分布广、成本低、药物残留低等多方面优势,有助于抗菌药物的研发。文献[10-11]报道中药能够有效防治嗜水气单胞菌的感染,并可作为替抗药物或与抗生素联用达到抗菌作用。因此,抗菌药物的研发和应用离不开对其抑菌机理的探索。黄芩苷是一种黄酮类化合物,分离提纯于植物黄芩(Scutellaria baicalensis Georgi)的根部,是被称为“植物界的抗生素”黄芩的主要活性成分之一,具有广谱抗菌活性,对大肠杆菌、金黄色葡萄球菌等多种细菌均具有显著的抑制甚至杀灭作用[12-15]。本研究基于转录组测序技术探讨黄芩苷抑制嗜水气单胞菌感染的作用效果,通过生物信息学方法进行基因功能注释和富集分析,旨在为黄芩苷的临床应用及替抗药物的研发提供新思路。
1 材料与方法 1.1 实验菌株和主要试剂黄芩苷(B20570,分析标准品, HPLC≥98%,上海源叶生物科技有限公司),嗜水气单胞菌标准株(ATCC7966,中国兽医微生物细菌保存中心),TRIzol试剂(EX1880,金克隆生物技术有限公司,北京),cDNA逆转录试剂盒(RK20400,Abconal,武汉),RT-qPCR试剂盒(RK21203,Abconal,武汉),PBS缓冲液(G4202,Servicebio,武汉)。
1.2 黄芩苷对嗜水气单胞菌抑菌效果的测定采用倍比稀释法测定黄芩苷对嗜水气单胞菌的最小抑菌浓度(Minimum inhibitory concentration,MIC)和最小杀菌浓度(Minimum bactericidal concentration,MBC)。在96孔细胞培养板中,梯度稀释黄芩苷,使其终浓度分别为62.50、31.25、15.62、7.81和3.91 mg/mL,调整菌液终浓度为1×108 CFU/mL,每孔加入100 μL,并设置阳性对照。28 ℃条件下培养24 h后肉眼观察细胞培养板每孔澄清程度,无菌生长对应的最低浓度即为药物对嗜水气单胞菌的MIC值。根据MIC实验结果,吸取澄清孔中的培养液,涂布于固体培养基上。恒温培养箱培养24 h后,观察培养板中菌落生长情况,以培养板中无菌落出现对应的黄芩苷最小浓度为MBC值。
1.3 不同浓度黄芩苷作用下嗜水气单胞菌的生长变化培养嗜水气单胞菌,用PBS将其稀释至浓度为1×108 CFU/mL,按照1%(V/V)的比例将细菌接种于LB液体培养基(成分:胰蛋白胨10 g;酵母提取物5 g;氯化钠10 g)中。加入黄芩苷使其终浓度分别为1/16 MIC、1/8 MIC、1/4 MIC、1/2 MIC、1 MIC,并设置PBS空白对照。随后,将样本置于28 ℃培养。在此过程中,每隔2 h提取一次菌液,检测其在600 nm波长下的吸光值(OD600),并据此绘制细菌生长曲线。
1.4 黄芩苷作用后嗜水气单胞菌菌体形态变化根据贺超等[16]的研究方法,将嗜水气单胞菌接种于液体培养基中,随后调整菌液浓度,并向其中加入黄芩苷溶液,使其最终浓度达到1/4 MIC,而空白对照则加入等体积的培养基。接着,将其置于恒温摇床中培养6 h。之后,对菌液进行离心处理,并用PBS洗涤沉淀,直至沉淀呈现无色透明状态。用2.5%的戊二醛溶液对其固定2 h,再将其与1%的磷钨酸钠缓冲液混合。最后,用毛细吸管吸取混合后的菌悬液,滴在铜网膜上,待样品充分干燥后,利用透射电子显微镜对菌体形态进行观察。
1.5 转录组测序样品准备细菌活化后,转至LB培养基中。根据张美玲等[17]的研究,将菌液浓度稀释至1×108 CFU/mL,然后向其中加入黄芩苷,使最终药物浓度达到1/4 MIC,对照组则加入等体积的液体培养基。之后,于37 ℃恒温培养箱中静置孵育4 h。随后,取4 mL菌液进行离心,弃去上清液,用PBS清洗菌体以终止药物作用,再以5 000 r/min离心5 min,收集菌体沉淀,用于RNA提取和RNA-seq测序。
1.6 测序数据质控评估根据弓晋灵[18]的研究,使用TRIzol试剂分别从6个样品中单独提取总RNA。利用Nano-Photometer分光光度计对RNA的纯度进行检测;通过琼脂糖凝胶电泳分析样品RNA的完整性以及是否存在DNA污染;借助Agilent2100 bioanalyzer精确检测RNA的完整性。在质检合格后,采用TruSeqTM Stranded Total RNA Library Prep Kit试剂构建cDNA文库。
1.7 转录组测序应用Illumina公司的Illumina HiSeq测序平台对库检合格的cDNA文库进行测序。接着,通过对原始数据进行Raw reads过滤以进行质量剪切,随后对得到的Clean reads进行测序质量评估,从而为后续的生物信息学分析做好准备。具体操作流程由生工生物工程(上海)股份有限公司负责完成。
1.8 差异基因鉴定筛选、功能注释和富集分析通过StringTie进行转录本和基因重构,分析每个转录本在各样本中的表达量,利用GO功能注释和KEGG功能富集分析,筛选出差异基因及其涉及的通路,用FPKM表示结果。以|log2(Fold change)|≥1且P≤0.05作为差异基因的筛选阈值,运用软件DESeq2分析每个基因表达的差异性,并进行嗜水气单胞菌不同处理组(Control组和Baicalin组)的组间比较,进而研究差异基因的功能。
1.9 差异基因蛋白质互作网络的构建把差异基因导入STRING数据库,将背景设置为“Aeromonas hydrophila”,且将置信区间设为大于0.4,去除那些无连接的靶点。随后,将所得结果导入Cytoscape 3.0软件,进而生成蛋白互作网络。最后,运用CytoHubba对其展开进一步分析,以确定核心靶点。
1.10 RT-qPCR验证嗜水气单胞菌活化稀释后,分别采用1/4 MIC、1/2 MIC黄芩苷药物处理,设置对照组,具体实验步骤同1.5。提取RNA后立即反转录为cDNA,使用SYBR Green Ⅰ嵌合荧光法进行检测,检测依据为GenBank上公布的嗜水气单胞菌相关序列,以16S rRNA基因为内参,实验设置3个重复。利用Primer Premier 5软件进行引物设计,引物由生工生物工程(上海)股份有限公司合成。筛选的基因引物信息如表 1所示。目的基因的相对表达量采用2-△△Ct法进行计算,并通过t检验分析各组数据间的差异。
|
|
表 1 引物序列 Table 1 Primer sequences |
试验鱼为黄颡鱼(Pelteobagrus fulvidraco,购自长江大学水产基地),将其随机分为3组(空白组、模型组和药物组),每组15尾。在嗜水气单胞菌攻毒前2 h,药物组分别注射黄芩苷(25 mg/kg)。病原菌接种于LB培养基,离心收集,用无菌PBS调整浓度接近半数致死量,每尾鱼腹腔注射100 μL菌液,空白组每尾鱼注射100 μL生理盐水。攻毒后7 d,记录死亡量。对体质量、体长进行测量,并对组织病变明显的部位进行拍照记录,测定肝脏、脾脏和肠道的脏器指数,并记录生存曲线。收集样品,随机从10尾鱼中采集血清,并将其肝、脾、肾组织样品保存于-80 ℃。
1.11.2 实验指标测定(1) 生存曲线。在感染后2周内每日观察临床症状并统计各组鱼的死亡数量,最后计算累计存活率,制作生存曲线。
(2) 脏器指数测定。肝脏指数计算公式如下:
| $ \text { 肝脏指数 }=\text {(肝脏质量/动物体质量)} \times 100 \% 。$ |
再分别计算每组动物的肝脏指数平均值和标准差,将数据整理成表格形式。
(3) HE染色。取病鱼相同部位的肠道组织样本,用10%中性福尔马林固定,常规石蜡切片,用苏木精-伊红(HE)染色,中性树胶封片后置于光学显微镜下观察。
1.11.3 荧光定量PCR检测脾脏抗氧化、免疫基因按照上述RNA提取方法,分离实验鱼脾脏组织中总RNA,并反转录为cDNA,选取抗氧化相关基因SOD、CAT和炎症相关基因TNF-α、INF-β进行PCR检测。
2 结果 2.1 MIC和MBC的测定结果通过对培养孔的观察发现,当黄芩苷浓度大于或等于7.81 mg/mL时,肉眼可见孔中澄清透明无菌生长,说明该浓度下嗜水气单胞菌生长受到抑制。随后吸取孔中培养液于固体培养基均匀涂布培养,24 h后7.81 mg/mL以及更高浓度的黄芩苷作用后无菌落生长,结果表明黄芩苷对嗜水气单胞菌的MIC和MBC均为7.81 mg/mL。
2.2 生长曲线的测定结果黄芩苷对嗜水气单胞菌生长的影响如图 1所示。0~4 h嗜水气单胞菌生长迅速,菌体密度持续升高;4~10 h生长趋于稳定。在1/2 MIC黄芩苷作用下,细菌进入稳定期的时间延迟,且其生长受到一定抑制;1 MIC黄芩苷处理后,嗜水气单胞菌的生长受到显著抑制。
|
( MIC表示最小抑菌浓度,即最小能抑制可见细菌生长的药物浓度。MIC stands for minimum inhibitory concentration, which is the minimum concentration of a drug that can inhibit the growth of visible bacteria. ) 图 1 不同浓度黄芩苷作用下嗜水气单胞菌的生长变化 Fig. 1 Growth changes of Aeromonas hydrophila under different concentrations of baicalin |
如图 2A所示,嗜水气单胞菌菌体表面圆整、细胞壁光滑,菌体形态结构较为完整;图 2B显示经黄芩苷处理后,菌体膨胀且表面不光滑,细胞壁边缘粗糙,胞壁和细胞膜可能被破坏,且细胞内容物有较高程度的泄漏,导致细胞不可逆损伤和死亡。这表明黄芩苷可以通过破坏嗜水气单胞菌菌体结构的完整性,从而抑制该细菌的生长。
|
( A: 电镜下正常菌体形态图;B:经黄芩苷处理后电镜下菌体形态图。A: Normal bacterial morphology under electron microscope; B: Morphology of the cells under electron microscope after baicalin treatment. ) 图 2 透射电镜下嗜水气单胞菌菌体形态图 Fig. 2 Morphology of Aeromonas hydrophila under transmission electron microscope |
构建6个目的样本文库上机进行测序。数据质控结果如表 2所示,黄芩苷处理组(Baicalin组)和Control组分别获得有效序列平均为13 495 902条和14 593 832条。此外,Control组和Baicalin组各个样品的碱基错误率均处于0.078%以下。其中,碱基质量值Q20(识别碱基的平均正确率为98.40%)和Q30(识别碱基的平均正确率为96.61%)分别在97.60%和95.62%以上。这表明测序所得的原始读数(Raw reads) 以及过滤后的清洁读数(Clean reads)均满足质控要求,能够进行样本的生物信息学分析。
|
|
表 2 嗜水气单胞菌RNA-Seq测序数据质控表 Table 2 Quality control table for sequencing data of aeromonas hydrophila RNA-Seq |
在样本的转录组表达量分析中选用TPM(每百万转录本,Transcripts per million)作为定量指标,差异表达基因及样本间关系分析见图 3。图 3A韦恩图显示,四组比较(Baicalin-1 vs Control-1、Baicalin-2 vs Control-2、Baicalin-3 vs Control-3及三批合并的Baicalin vs Control)共有234个一致差异表达基因,其构成黄芩苷处理的核心应答基因集;各组特有的差异表达基因分别为28、15、70和8个,批次间变异小、重复性高。图 3B小提琴图显示,三组对照样本(红色)的log2(TPM)分布高度一致,三组黄芩苷处理样本(青色)也分布高度一致,但整体表达水平较对照组显著下移,表明黄芩苷稳定诱导全局转录抑制。图 3C样本间距离热图及层级聚类显示,组内相关性极高(距离接近0),三组对照样本完全聚为一支,三组黄芩苷处理样本完全聚为另一支,组间距离显著大于组内距离(最大组间距离约0.08,最大组内距离接近0),这证实了实验的重复性极佳,黄芩苷处理导致了高度一致且显著的转录组重编程。
|
( A:韦恩图,不同的颜色代表不同的组别。B:小提琴图,横坐标为样本名,纵坐标各样本基因表达量显示TPM+1的对数值。C:聚类热图,右侧和下侧为样本名,左侧和上侧显示样本聚类情况,不同颜色代表样本间相关系数的大小。Control为空白组,Baicalin为药物处理组。A: Venn diagram. Diffe-rent colors represent different groups. B: Violin plot. The horizontal coordinate is the sample name. The vertical coordinate shows the logarithm value of TPM+1 of each sample′s gene expression. C: Cluster heatmap. The right and lower sides are sample names. The left and upper sides show the sample clusteringsituation. Different colors represent the size of the correlation coefficient between samples. Control was the blank group, and Baicalin was the drug treatment group. ) 图 3 样本间的基因表达量及其差异性分析 Fig. 3 Gene expression and differential analysis among samples |
通过基因差异表达分析软件DESeq2分析,以log2(Fold change)≥1且P≤0.05作为筛选阈值,结果如图 4A所示。黄芩苷作用后,嗜水气单胞菌共得到908个基因发生差异表达,其中上调基因556个,下调基因352个,差异基因的表达模式热图如图 4B所示。图 4C呈现了差异基因GO功能注释的分析成果。其中,生物过程包括生物调节、细胞杀伤以及细胞组分的组织或生物发生等。细胞组分涉及细胞、细胞部分、细胞外区域等。此外,经富集分析所得的分子功能涵盖抗氧化活性、细胞组分的组织或生物发生以及生物过程的负调控等方面。而KEGG结果表明(见图 4D),在黄芩苷发挥作用后,运输和分解代谢、折叠、分选和降解、核苷酸代谢、环境适应等信号通路出现了显著变化。这些信号通路的改变或许会对细胞的功能与生存状态产生重大影响。
|
( A:差异基因表达模式的聚类热图,横坐标表示样本,纵坐标表示差异表达基因;B:火山图,绿色表示下调基因,红色表示上调基因,黑色表示非显著差异基因;C:差异基因的GO注释分析;D:差异基因的KEEG富集分析。Control为空白组,Baicalin为药物处理组。A: Heatmap of differential gene expression pattern. The abscissa represents samples and the ordinate represents differentially expressed genes. B: Volcano plot. Green represents down-regulated genes, red represents up-regulated genes, and black represents non-significantly differentially expressed genes. C: GO annotation analysis of differentially expressed genes. D: KEGG enrichment analysis of differential genes. Control was the blank group, and Baicalin was the drug treatment group. ) 图 4 差异基因筛选结果及GO功能注释和KEGG富集分析 Fig. 4 Differential gene screening results and GO functional annotation and KEGG enrichment analysis |
对差异基因构建蛋白互作网络并进行节点度(Degree)分析,结果如图 5A所示。在这些基因中,有51个蛋白质展现出良好的互作能力。图 5B显示,metG(Degree=14)在网络中连接作用最核心,rpoB、dnaK(Degree=10)、dnaJ、groL(Degree=8)、fusA、purL、glnS(Degree=6)、purH、purF、proS(Degree=4)等基因是黄芩苷作用于嗜水气单胞菌的关键调控靶点。通过Cytoscape的CytoHubba插件进行核心蛋白质筛选,结果如图 5C所示,其中11个蛋白质被识别为核心蛋白质。
|
( A:51个靶点相互作用的结果;B:显示为11个核心蛋白的Degree值进行排序;C:11个核心蛋白的相互作用的情况。A: The result of the interaction of 51 targets. B: The Degree values of the 11 core proteins are displayed and sorted. C: The interaction of the 11 core proteins. ) 图 5 蛋白互作网络构建及核心基因的筛选结果 Fig. 5 Protein interaction network construction and screening results of core genes |
为了验证转录组测序结果的准确性,随机选取显著上调和下调基因各5个,采用RT-qPCR法进行验证,结果表明差异基因表达水平在两组之间与转录组预测结果一致(见图 6),说明转录组分析结果准确可靠。
|
( 图A为上调基因;图B为下调基因。Control代表对照组;1/4 MIC代表特定浓度黄芩苷处理组;MIC表示最小抑菌浓度,即最小能抑制可见细菌生长的药物浓度。**表示组间差异显著(P < 0.05),***表示组间差异高度显著(P < 0.01),****表示组间差异极显著(P < 0.001)。Figure A shows upregulated genes, and Figure B shows downregulated genes. Control represents the control group, and 1/4 MIC represents the specific concentration of baicalin treatment group; MIC stands for minimum inhibitory concentration, which is the minimum concentration of a drug that can inhibit the growth of visible bacteria. ** indicates a significant difference between groups (P < 0.05), *** indicates a highly significant difference between groups (P < 0.01), and **** indicates an extremely significant difference between groups (P < 0.001). ) 图 6 差异基因RT-qPCR验证结果 Fig. 6 RT-qPCR validation results of differential genes |
感染后12 h,模型组就出现游动慢、摄食下降等情况,随后其他组也出现摄食量下降、活力低等情况,剖检发现肛门红肿和肠道出血。对照组无明显状况,活力正常。在60 h之内,模型组生存率仅有30%,而药物处理组的存活率达到了90%(见图 7)。
|
图 7 嗜水气单胞菌感染鱼的生存曲线 Fig. 7 Survival curve of Aeromonas hydrophila-infected fish |
由图 8可知,各药物处理组的肝脏脏器指数与对照组相比虽有一定差异,但相对较为接近,且均显著低于模型组,表明黄芩苷药物处理可能对肝脏的异常情况有一定的改善作用。药物组的脾脏脏器指数与对照组相近,但均高于模型组。部分处理组的肠道脏器指数与对照组无显著差异。
|
( ns表示组间差异不显著,*表示组间差异显著(P < 0.05),**表示组间差异非常显著(P < 0.01),***表示组间差异极显著(P < 0.001),****表示组间差异超显著(P < 0.000 1)。ns indicates no significant difference between groups, * indicates a significant difference between groups (P < 0.05), ** indicates a very significant difference between groups (P < 0.01), *** indicates a highly significant difference between groups (P < 0.001), and **** indicates an extremely significant difference between groups (P < 0.000 1). ) 图 8 各组脏器指数 Fig. 8 Organ indices for each group |
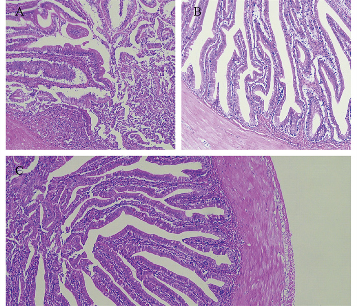
HE切片观察结果如图 9和图 10所示。对照组肝细胞排列整齐,整体结果形态正常。模型组肝脏细胞排列紊乱,正常层次结构消失,组织结构破坏,并观察到较多炎症细胞浸润,血管可能出现充血或增生现象,表明存在炎症反应(见图 9)。对照组肠绒毛完整,肠壁结构清晰,肠黏膜上皮的细胞形态完整;模型组肠道固有层充血、水肿、增厚,并伴有炎性细胞浸润,黏膜上皮损伤脱落(见图 10)。药物组相较于模型组,肝脏组织得到修复,细胞排列整齐平滑,炎症细胞浸润减少,血管形态趋于正常,肝小叶结构有一定程度恢复,肝细胞排列整齐,胆管和肝血窦形态有所改善(见图 9)。药物处理组肠绒毛结构完好,与对照组无明显差异;隐窝结构正常,细胞增殖和分化正常;肠道各层结构正常,无炎症细胞浸润,肌层和浆膜层正常(见图 10)。
|
( A:模型组;B:对照组;C:黄芩苷药物处理组。A: Model group; B: Control group; C: Baicalin-treated group. ) 图 9 肝脏病理学观察(HE染色) Fig. 9 Liver pathological observation (HE staining) |
|
( A:模型组;B:对照组;C:黄芩苷药物处理组。A: Model group; B: Control group; C: Baicalin-treated group. ) 图 10 肠道病理学观察(HE染色) Fig. 10 Intestinal pathological observation (HE staining) |
抗氧化指标结果如图 11所示。在SOD基因表达方面,模型组表达量最高,对照组最低,药物组介于两者之间(P < 0.001),这表明模型组存在氧化应激反应,导致SOD基因表达量升高,而黄芩苷药物处理能够部分缓解这种反应(见图 11)。抗氧化的炎症因子指标结果如图 12所示。药物组的表达水平介于对照组和模型组之间,且药物组与模型组、对照组在两种基因上都存在显著差异(P < 0.001),这表明药物处理对模型组的炎症反应有一定的缓解作用,但还不能完全将基因表达水平恢复到对照组的状态。各组脾脏中炎症相关基因IFN-γ和TNF-α的mRNA相对表达量存在显著组间差异。与空白组相比,模型组IFN-γ和TNF-α表达极显著升高(P < 0.001);25 mg/kg组IFN-γ表达显著低于模型组(P < 0.05),TNF-α表达极显著低于模型组(P < 0.001),表明该处理可显著调控脾脏炎症因子的基因表达水平。
|
( ns表示组间差异不显著,****表示组间差异极显著(P < 0.001)。ns indicates that the differences between groups are not significant, **** indicates an extremely significant difference between groups (P < 0.001). ) 图 11 脾脏抗氧化相关基因表达 Fig. 11 Expression of antioxidant-related genes in the spleen |
|
( **表示组间差异显著(P < 0.05),***表示组间差异高度显著(P < 0.01),****表示组间差异极显著(P < 0.001)。** indicates a significant difference between groups (P < 0.05), *** indicates a highly significant difference between groups (P < 0.01), and **** indicates an extremely significant difference between groups (P < 0.001). ) 图 12 脾脏炎症相关基因表达 Fig. 12 Expression of inflammation-related genes in the spleen |
在本研究中,通过对黄芩苷作用嗜水气单胞菌后的转录组分析,联合生物信息学探索黄芩苷抑制嗜水气单胞菌感染所涉及到的生物学功能及信号转导途径的变化,发现metG和groL基因的转录水平显著下调,其中,metG参与甲硫氨酸转化的反应。当该基因的表达受到影响,甲硫氨酸的合成可能受阻,进而影响细菌的蛋白质合成。而groL基因主要参与蛋白质的折叠和稳定过程,当groL基因的表达受到抑制,细菌将无法有效地应对环境压力,导致蛋白质错误折叠,影响细菌的正常生理功能和生存能力[19]。这表明黄芩苷可能通过影响细菌氨基酸合成和代谢来抑制其生长。
利用DESeq2软件筛选与对照组相比显著差异表达的基因,结果显示,嗜水气单胞菌经黄芩苷处理后,差异表达上调基因有556个,下调基因352个,这些基因主要与细菌的双组分系统、磷酸转移酶系统有关。双组分系统在细菌适应外界环境变化以及代谢、氧化还原控制和感染中具有重要功能[20]。马世林等[21]研究表明,嗜水气单胞菌双组分系统EnvZ/OmpR参与了对渗透胁迫的响应,并在调控生物被膜的形成方面起着关键作用。此外,该系统在促进细菌在宿主体内的系统扩散过程中也发挥着重要作用。这一发现为深入理解嗜水气单胞菌的致病机制提供了新的视角,也为开发针对该细菌的防治策略提供了潜在的靶点[22]。本研究中,与对照组相比,黄芩苷处理组嗜水气单胞菌的双组分系统相关基因PaaJ、Tar、FlgL、COG4564、SfcA、COG3437、RocR的转录水平显著下调,推测黄芩苷可能通过双组分系统调控嗜水气单胞菌的毒力。
通过对差异基因进行GO和KEGG富集分析,发现经黄芩苷处理后嗜水气单胞菌差异表达基因主要影响细菌的蛋白质合成、碳氮代谢以及氨基酸的合成代谢。碳源和氮源作为微生物生长代谢的重要营养元素[23],转录组分析发现黄芩苷干预后嗜水气单胞菌碳氮代谢受到限制,从而影响磷酸酶转移系统的运行和对嗜水气单胞菌毒力的调控[24]。本研究发现黄芩苷作用嗜水气单胞菌后,差异基因涉及到的生物学功能以及通路变化集中于氨基酸的生物合成和代谢,与上述转录组分析结果一致,其中,调控氨基酸合成与代谢的相关基因表达水平下调,表明黄芩苷可能通过抑制氨基酸的合成代谢,来影响嗜水气单胞菌的生理生化功能及致病性。
在实验中,随机筛选差异表达基因进行RT-qPCR实验验证。结果显示,相关基因的表达趋势与转录组分析一致,这表明转录组测序结果可靠且准确。此外,分析显示,与双组分系统相关的调控基因Tar表达下调,与磷酸转移酶系统相关的基因PtsG的表达水平上调,而与氨基酸合成代谢相关的基因argB、argD的转录水平显著下调。这进一步表明,黄芩苷通过调控双组分系统、磷酸转移酶系统以及氨基酸的合成代谢,从而抑制嗜水气单胞菌的生长、毒力及致病性。
王帅兵等[25]研究发现,在亚抑菌浓度(1/2 MIC)下黄芩苷只能减缓细菌生长速度,不能完全抑制细菌生长,而在1 MIC浓度下可以完全抑制细菌生长,这与本研究结果一致。此外,一些中药药物在联合使用时具有协同增效作用,本研究可以为中药复方抑制嗜水气单胞菌生长提供理论依据。Wang等[26]研究发现,黄芩苷可通过激活JNKs、p38/MAPK和SRA信号通路促进巨噬细胞凋亡,促进M2型巨噬细胞极化来降低炎症反应。同时,黄芩苷能增强CD4 T细胞的Foxp3表达,促进调节性T细胞的分化,抑制Th17细胞分化,并通过调控mTOR途径影响Treg/Th17平衡。上述结果表明,黄芩苷可通过刺激水产动物的免疫活性,来提高免疫相关基因的表达,从而在免疫调节方面发挥积极作用。
Jia等[27]研究表明,黄芩苷具有抗氧化和抗炎活性,日粮中添加黄芩苷提高了罗非鱼的饲料效率,增强了抗氧化能力,减轻了肝脏损伤。Zhang等[28]研究表明,黄芩苷可以改善TAA诱导的发育毒性和炎症反应,降低斑马鱼(Danio rerio)幼虫的氧化应激水平。黄芩苷可以增加p38、ERK1/2和PPARa转录活性,进而调节肝脏发育。黄芩苷可通过MAPK信号通路抑制TAA诱导的斑马鱼幼虫的发育毒性。本研究的保护性实验结果表明黄芩苷对于感染了嗜水气单胞菌的宿主具有一定的治疗作用,添加一定量的黄芩苷可以显著提高感染鱼的存活率,增强脾脏组织抗氧化能力,减少炎症因子的表达。黄芩苷干预后,肠道黏膜结构相对完整,肝小叶结构有所恢复,炎症细胞浸润程度减轻,胆管及肝血窦形态趋于正常。RT-qPCR结果显示,黄芩苷对于缓解氧化应激和炎症反应有一定作用,这进一步说明黄芩苷在体内对嗜水气单胞菌具有一定的抑制作用,该结果与前述部分体外实验结果相互印证。
4 结语本研究结果显示,黄芩苷处理嗜水气单胞菌后,细菌生长受到显著抑制,菌体结构的完整性被破坏。此外,细菌双组分系统和磷酸转移酶系统相关基因的表达水平发生了显著变化。通过GO和KEGG富集分析发现,相关基因显著富集的通路或生物学过程包括蛋白质合成、碳氮代谢以及氨基酸合成代谢。这表明黄芩苷能够通过上述信号通路调控嗜水气单胞菌的毒力和致病性,体内实验结果进一步验证了黄芩苷对于嗜水气单胞菌感染的作用。黄芩苷对感染鱼的肠道、肝脏等有一定修复作用,能增强组织抗氧化能力,可以减轻因感染病菌导致的炎症反应,从而增加感染鱼的存活率。本研究结果为深入探究黄芩苷防治嗜水气单胞菌感染的作用机制,及其作为替抗药物的开发应用提供了新思路。尽管本研究对黄芩苷的作用机制进行了初步探索,但研究尚存在一定局限性,未来研究需进一步考虑体内环境的复杂性,如动物体内的免疫系统、微生物群落的相互作用等因素可能对黄芩苷的抑菌效果和作用机制产生影响。
| [1] |
Ghatak S, Blom J, Das S, et al. Pan-genome analysis of Aeromonas hydrophila, Aeromonas veronii and Aeromonas caviae indicates phylogenomic diversity and greater pathogenic potential for Aeromonas hydrophila[J]. Antonie van Leeuwenhoek International Journal of General and Molecular Microbiology, 2016, 109(7): 945-956. DOI:10.1007/s10482-016-0693-6 ( 0) |
| [2] |
Jin L, Chen Y, Yang W, et al. Complete genome sequence of fish-pathogenic Aeromonas hydrophila HX-3 and a comparative analysis: Insights into virulence factors and quorum sensing[J]. Scientific Reports, 2020, 10(1): 15479. DOI:10.1038/s41598-020-72484-8 ( 0) |
| [3] |
陆承平. 致病性嗜水气单胞菌及其所致鱼病综述[J]. 水产学报, 1992(3): 282-288. Lu C P. A review of pathogenic Aeromonas hydrophila and the fish diseases caused by it[J]. Journal of Fisheries of China, 1992(3): 282-288. ( 0) |
| [4] |
Bhaedwaj S, Mehra P, Dhanjal D S, et al. Antibiotics and antibiotic resistance-flipsides of the same coin[J]. Current Pharmaceutical Design, 2022, 28(28): 2312-2329. DOI:10.2174/1381612828666220608120238 ( 0) |
| [5] |
徐晓菲. 黄芩苷对鼠伤寒沙门氏菌活性的影响[J]. 山东畜牧兽医, 2022, 43(6): 18-22+5. Xu X F. Effect of baicalin on the activity of Salmonella typhimurium[J]. Shandong Animal Husbandry and Veterinary Medicine, 2022, 43(6): 18-22+5. ( 0) |
| [6] |
蒋长军, 管翠翠, 胡小敏, 等. 黄芩苷对嗜水气单胞菌生物膜形成的影响及体内外的抑菌作用[J]. 微生物学报, 2021, 61(7): 2112-2120. Jiang C J, Guan C C, Hu X M, et al. Effects of baicalin on the biofilm formation of Aeromonas hydrophila and its antibacterial activities in vitro and in vivo[J]. Acta Microbiologica Sinica, 2021, 61(7): 2112-2120. ( 0) |
| [7] |
姜博达. 杨梅素及二氢杨梅素对鸡白痢沙门菌的抑菌效果评估及初步机制研究[D]. 荆州: 长江大学, 2023. Jiang B D. Evaluation of the Antibacterial Effects and Preliminary Mechanism Study of Myricetin and Dihydromyricetin on Salmonella pullorum[D]. Jingzhou: Yangtze University, 2023. ( 0) |
| [8] |
黄永熙, 闫普普, 刘佳丽, 等. 基于GEO数据库探索鸡白痢沙门氏菌感染宿主基因特征[J/OL]. 中国动物传染病学报, (2023-11-27)[2024-10-10]. https://doi.org/10.19958/j.cnki.cn31-2031/s.20231124.001. Huang Y X, Yan P P, Liu J L, et al. Exploration of the gene characteristics of hosts infected with Salmonella pullorum based on the GEO database[J/OL]. Chinese Journal of Animal Infectious Diseases, (2023-11-27)[2024-10-10]. https://doi.org/10.19958/j.cnki.cn31-2031/s.20231124.001. ( 0) |
| [9] |
Liu J, Gao S, Dong Y, et al. Isolation and characterization of bacteriophages against virulent Aeromonas hydrophila[J]. BMC Microbiology, 2020, 20(1): 141. DOI:10.1186/s12866-020-01811-w ( 0) |
| [10] |
Hou T, Liu H, Li C. Traditional Chinese herb formulas in diet enhance the non-specific immune responses of yellow catfish (Pelteobagrus fulvidraco) and resistance against Aeromonas hydrophila[J]. Fish & Shellfish Immunology, 2022, 131: 631-636. ( 0) |
| [11] |
吴家玉, 陈凯, 习丙文, 等. 厚朴酚对嗜水气单胞菌感染异育银鲫的抗氧化因子及抗炎TLR-5/MyD88通路基因表达的影响[J]. 中国水产科学, 2021, 28(5): 579-590. Wu J Y, Chen K, Xi B W, et al. Effects of magnolol on the antioxidant factors and the gene expression of anti-inflammatory TLR-5/MyD88 pathway in Carassius auratus gibelio infected by Aeromonas hydrophila[J]. Journal of Fishery Sciences of China, 2021, 28(5): 579-590. ( 0) |
| [12] |
Jafari B, Bahrami A R, Matin M M. Targeted bacteria-mediated therapy of mouse colorectal cancer using baicalin, a natural glucuronide compound, and E. coli overexpressing β-glucuronidase[J]. International Journal of Pharmaceutics, 2023, 642: 123099. DOI:10.1016/j.ijpharm.2023.123099 ( 0) |
| [13] |
Guo M, Cao Y, Wang T, et al. Baicalin inhibits Staphylococcus aureus-induced apoptosis by regulating TLR2 and TLR2-related apoptotic factors in the mouse mammary glands[J]. European Journal of Pharmacology, 2014, 723: 481-488. DOI:10.1016/j.ejphar.2013.10.032 ( 0) |
| [14] |
Li L, Cui H, Zhang Y, et al. Baicalin ameliorates multidrug-resistant Pseudomonas aeruginosa-induced pulmonary inflammation in rat via arginine biosynthesis[J]. Biomedicine & Pharmacotherapy, 2023, 162: 114660. ( 0) |
| [15] |
Allaoui A, Schulte R, Cornelis G R. Mutational analysis of the Yersinia enterocolitica virC operon: Characterization of yscE, F, G, I, J, K required for Yop secretion and yscH encoding YopR[J]. Molecular Microbiology, 1995, 18(2): 343-355. DOI:10.1111/j.1365-2958.1995.mmi_18020343.x ( 0) |
| [16] |
贺超, 陈伟燕, 贺学礼, 等. 不同水肥因子与AM真菌对黄芩生长和营养成分的交互效应[J]. 生态学报, 2016, 36(10): 2798-2806. He C, Chen W Y, He X L, et al. Interaction effects of different water and fertilizer factors and AM fungi on the growth and nutrient content of Scutellaria[J]. Acta Ecologica Sinica, 2016, 36(10): 2798-2806. ( 0) |
| [17] |
张美玲, 魏莲花, 王宏伟, 等. 甘肃黄芩中提取物黄芩苷元体外抑制假丝酵母菌研究[J]. 国际检验医学杂志, 2013, 34(7): 780-781. Zhang M L, Wei L H, Wang H W, et al. In vitro inhibition of Candida albicans by baicalein extracted from Scutellaria in Gansu[J]. International Journal of Laboratory Medicine, 2013, 34(7): 780-781. ( 0) |
| [18] |
弓晋灵. 一种新CD44变异体(CD44V17)在乳腺癌中的表达及其与多药耐药相关性的研究[D]. 镇江: 江苏大学, 2010. Gong J L. Expression of a New CD44 Variant (CD44V17) in Breast Cancer and Its Correlation with Multidrug Resistance[D]. Zhenjiang: Jiangsu University, 2010. ( 0) |
| [19] |
Wood W N, Rubio M A, Leiva L E, et al. Methionyl-tRNA synthetase synthetic and proofreading activities are determinants of antibiotic persistence[J]. Frontiers in Microbiology, 2024, 15: 1384552. DOI:10.3389/fmicb.2024.1384552 ( 0) |
| [20] |
Zhu D, Fan Y, Wang X, et al. Characterization of molecular chaperone GroEL as a potential virulence factor in Cronobacter sakazakii[J]. Foods, 2023, 12(18): 3404. DOI:10.3390/foods12183404 ( 0) |
| [21] |
马世林, 李继红, 马倩倩, 等. 嗜水气单胞菌双组分系统EnvZ/OmpR功能探究[J]. 华中农业大学学报, 2021, 40(6): 161-167. Ma S L, Li J H, Ma Q Q, et al. Functional exploration of the two-component system EnvZ/OmpR of Aeromonas hydrophila[J]. Journal of Huazhong Agricultural University, 2021, 40(6): 161-167. ( 0) |
| [22] |
Zhang W C, Xie X Q, Huang Z J, et al. The integration of single-cell sequencing, TCGA, and GEO data analysis revealed that PRRT3-AS1 is a biomarker and therapeutic target of SKCM[J]. Frontiers in Immunology, 2022, 13: 919145. DOI:10.3389/fimmu.2022.919145 ( 0) |
| [23] |
Zhao R L, Peng C, Song C H, et al. BICC1 as a novel prognostic biomarker in gastric cancer correlating with immune infiltrates[J]. International Immunopharmacology, 2020, 87: 106828. DOI:10.1016/j.intimp.2020.106828 ( 0) |
| [24] |
Tian X, Xu W H, Xu F J, et al. Identification of prognostic biomarkers in papillary renal cell carcinoma and PTTG1 may serve as a biomarker for predicting immunotherapy response[J]. Annals of Medicine, 2022, 54(1): 211-226. DOI:10.1080/07853890.2021.2011956 ( 0) |
| [25] |
王帅兵, 张雅城. 5种中药提取物及其组合对嗜水气单胞菌的体外抑制作用[J]. 饲料研究, 2023, 46(22): 80-85. Wang S B, Zhang Y C. In vitro inhibitory effects of five traditional Chinese medicine extracts and their combinations on Aeromonas hydrophila[J]. Feed Research, 2023, 46(22): 80-85. ( 0) |
| [26] |
Wang L, Huang S Y, Liang X L, et al. Immuno-modulatory role of baicalin in atherosclerosis prevention and treatment: Current scenario and future directions[J]. Frontiers in Immunology, 2024, 15: 1377470. DOI:10.3389/fimmu.2024.1377470 ( 0) |
| [27] |
Jia R, Du J L, Cao L P, et al. Effects of dietary baicalin supplementation on growth performance, antioxidative status and protection against oxidative stress-induced liver injury in GIFT tilapia (Oreochromis niloticus)[J]. Comparative Biochemistry and Physiology, Part C: Toxicology & Pharmacology, 2021, 240: 108914. ( 0) |
| [28] |
Zhang J, Deng Y Y, Cheng B, et al. Protective effects and molecular mechanisms of baicalein on thioacetamide-induced toxicity in zebrafish larvae[J]. Chemosphere, 2020, 256: 127038. DOI:10.1016/j.chemosphere.2020.127038 ( 0) |
2. Jingzhou Mingde Technology Limited Company, Jingzhou 434001, China
2026, Vol. 56



0)