2. 右江民族医学院肿瘤分子实验室;
3. 右江民族医学院生物化学教研室
CYP1B1 是一类重要的细胞色素P 450 氧化酶,广泛存在于肝外组织,如肺、乳腺、子宫、中枢神经等,参与多种前致癌物(多环芳香烃和芳香胺) 的活化和体内的甾体激素(17β-雌二醇) 4-羟化氧化还原反应。研究发现CYP1B1 可能存在基因多态性,有多个位点的突变,且存在种族差异和地域差异[1]。关于外显子3 上的1 294 位C→G(Leu 432 Va1) 的基因多态性是目前研究热点,该位点的多态性可能与多种疾病如先天性青光眼、肺癌、乳腺癌和膀胱癌等发生有关[1, 2, 3, 4]。本研究通过检测分析广西壮族人群CYP1B1 Leu 432 Va1 的遗传特征,进一步探讨CYP1B1 基因多态性与疾病的发生易感性关系。结果报告如下。
1 材料与方法 1.1 对 象选择2008 年10 月-2009 年2 月右江民族医学院附属医院健康体检者288 人为研究对象,其中女性166 人,年龄24 ~ 75 岁,平均年龄 (43.9 ± 9.3) 岁; 男性122 人,年龄23 ~ 71 岁,平均年龄(44.9 ± 10.0) 岁,均为壮族,无血缘关系。排除扩增失败样本。抽取静脉血2 ~ 3 mL,肝素抗凝,3%明胶分离白细胞,酚氯仿法提取基因组DNA,乙醇沉淀,用含10 mmol /L 三羟甲基氨基甲烷和 1 mmol /L 乙二胺四乙酸溶液溶解,保存于-20℃ 冰箱中待用。
1.2 主要试剂及仪器热启动Taq 聚合酶和 dNTP 等(宝生物工程(大连) 有限公司) ; 其他试剂均为国产分析纯或化学纯; PTC 200 梯度PCR 仪 (美国Bio-rad 公司) 。
1.3 PCR 扩增CYP1B1参照文献[5],设计P1、 P2、S1 和S2 4 条引物,序列分别为: TTGTGCCTGTCACTATTCC 、AGCCAGGATGGAGATGAA、CCGGGTTAGGCCACTTGAC 和GTCTGTGAATCATGACCGAC,由上海生工生物工程有限公司合成。 P1P2 一对引物为外引物(扩增产物为284 bp) ,S1 引物3'末端与等位基因G 匹配,P1S1 检测等位基因G (扩增产物为132 bp) ; S2 引物3'末端与等位基因C 匹配,S2P2 检测等位基因C(扩增产物为190 bp) ,并分别在S1 和S2 的3'端倒数第3 个碱基引入不匹配碱基提高延伸反应的特异性。PCR 反应体积为25 μL,反应体积包括: 0.625 U 热启动Taq 酶,终浓度为 0.4 μmol /L 的P1、P2 引物、终浓度为0.6 μmol /L 的 S1、S2 引物、1.5 mmol /L MgCl2 和0.25 mmol /L dNTP,以及200 ng 左右的DNA。反应条件为: 95 ℃ 预变性5 min,循环周期依次为95 ℃变性30 s,56 ℃ 退火30 s,72 ℃延伸40 s,40 个循环周期后再延伸 7 min,1.5%琼脂糖凝胶电泳检查扩增产物。
1.4 统计分析采用SPSS 15.0 软件对数据进行统计分析,分析基因型、等位基因频率与Hardyweinberg 平衡的符合程度以及与其他人群基因型频率比较(χ2 检验) ,P < 0.05 为差异有统计学意义。
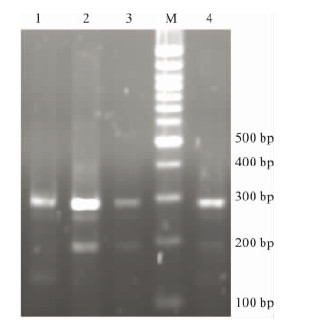
2 结 果 2.1 基因型分析(图 1)![]() | 注: 1: GG 纯合子型; 2、3: CC 纯合子型; 4: CG 杂合子型; M: DNA Marker。 图 1 广西壮族人群CYP1B1 Leu 432 Va1 PCR 扩增产物 |
凝胶电泳显示,PCR 扩增产物仅出现284 和190 bp 2 个片段为Leu 432 Va1 CC 纯合子型,出现284、190 和132 bp 为密码子432 CG 杂合子型,仅有284 和130 bp 为密码子432 GG 纯合子型。
2.2 群体代表性检验广西壮族女性和男性 CYP1B1 外显子3 Leu 432 Va1 基因型经Hardyweinberg 遗传平衡检验,P 值均大于0.05(女性P = 0.117,男性P = 0.912) ,表明该人群中CYP1B1 Leu 432 Va1 基因型检测具有很好的代表性。
2.3 不同性别CYP1B1 Leu 432 Va1 等位基因分布频率和基因型比较(表 1)| 表 1 广西不同性别壮族人群CYP1B1 Leu 432 Va1 等位基因和基因型比较 |
广西壮族男、女性 CYP1B1 Leu 432 Va1 等位基因(C 和G) 及基因型 (CC、CG 和GG) 分布频率差异比较均无统计学意义 (χ2 = 0.8、2.7,P > 0.05) ,表明广西壮族人群Leu 432 Va1 基因多态性无性别差异。
2.4 广西壮族人群CYP1B1 Leu 432 Va1 基因型与其他人群比较(表 2)| 表 2 广西壮族人群CYP1B1 Leu 432 Va1 基因型分布频率与其他人群比较 |
广西壮族人群CYP1B1 Leu 432 Va1 基因型分布频率(包括男、女性人群) 与朝鲜人群比较,差异无统计学意义(χ2 = 4.5,P > 0.05) ,但与国内江苏汉族、上海和四川女性比较,差异有统计学意义(χ2 = 8.9、6.4、13.3,P < 0.05) ,与日本、印度、波兰、尼日利亚、美国白人和美国黑人人群比较,差异有统计学意义(χ2 = 17.7 ~ 397.5,P < 0.01) 。表明广西壮族人群CYP1B1 密码子432 基因型分布频率与其他种族存在差异。
3 讨 论本研究结果显示,广西壮族人群CYP1B1 Leu 432 Va1 基因型以CC 纯合子为主(80.6%) ,其所对应的氨基酸为Leu(亮氨酸) ,CG 杂合子占19.1%,GG 纯合子较少。该基因型分布频率与朝鲜人群无明显差异,但与国内江苏、上海和四川比较有明显差异。本研究结果还显示,广西壮族人群Leu 432 Va1 基因型分布频率与日本和印度、波兰、尼日利亚、美国黑人和白人差异明显。值得注意的是在亚洲人群如广西壮族、江苏、上海和四川、日本、印度和朝鲜人群Leu 432 Va1 主要以CC 纯合子为主,而非洲如尼日利亚等人群则以GG 纯合子为主,即亚洲人群 CYP1B1 以Leu 为主,而非洲人则以Val(缬氨酸) 为主。
已知CYP1B1 参与多种多环芳香烃化合物如: 苯并芘(B[a]P) 、7,12-二甲基胆蒽(7,12-DMBA) 和 2-硝基芘等的代谢,对17β-雌二醇亦有催化活性。 CYP1B1 是催化17β-雌二醇4-羟化代谢的主要酶,而17β-雌二醇4-羟化产物增多则是乳腺癌的致病因素之一[14]。有研究报道CYP1B1 Leu 432 Va1 的突变会导致CYP1B1 催化雌激素和苯并芘活性发生改变[15, 16]。Watanabe 等[15] 发现CYP1B1 Val 432 对雌激素4 位羟化比Leu 432活性要高,因此携带 Val 432 基因型的人群可能乳腺癌易感性高,国内研究发现新疆汉族人群携带CYP1B1 Val 432 基因型患乳腺癌易感性高于Leu 432 组[16]。Aklillu 等[17] 则发现Val 432 可降低CYP1B1 催化苯并芘的活性。 本研究结果提示,广西壮族人群CYP1B1 Leu 432 Va1 存在基因多态性,携带不同基因型的广西壮族人群对经CYP1B1 代谢活化的前致癌物和雌激素暴露反应可能不同,而进一步可能对这些前致癌引起的肿瘤易感性不同,值得进一步研究证实。
| [1] | Salinas-Sánchez AS,Donate-Moreno MJ,López-Garrido MP,et al. Role of CYP1B1 gene polymorphisms in bladder cancer susceptibility[J].J Urol,2012,187(2):700-706. |
| [2] | Xu W,Zhou Y,Hang X,et al.Current evidence on the relationship between CYP1B1 polymorphisms and lung cancer risk:a meta-analysis[J].Mol Biol Rep,2012,39(3):2821-2829. |
| [3] | Hilal L,Boutayeb S,Serrou A,et al.Screening of CYP1B1 and MYOC in Moroccan families with primary congenital glaucoma: three novel mutations in CYP1B1[J].Mol Vis,2010,16: 1215-1226. |
| [4] | Cerne JZ,Pohar-Perme M,Novakovic S,et al.Combined effect of CYP1B1,COMT,GSTP1,and MnSOD genotypes and risk of postmenopausal breast cancer[J].J Gynecol Oncol,2011,22(2): 110-119. |
| [5] | 梁戈玉,浦跃朴,尹立红,等.人工修饰双等位基因特异性引物扩增法检测CYP1B1多态性与肺癌易感性的关系[J].环境与职业医学,2005,22(1):4-7. |
| [6] | Han W,Kang D,Park IA,et al.Associations between breast cancer susceptibility gene polymorphisms and clinicopathological features[J].Clin Cancer Res,2004,10(1 Pt 1):124-130. |
| [7] | Wen W,Cai Q,Shu XO,et al.Cytochrome P450 1B1 and catechol-O-methyltransferase genetic polymorphisms and breast cancer risk in Chinese women:results from the Shanghai breast cancer study and a meta-analysis[J].Cancer Epidemiol Biomarkers Prev,2005,14(2):329-335. |
| [8] | Ye Y,Cheng X,Luo HB,et al.CYP1A1 and CYP1B1 genetic polymorphisms and uterine leiomyoma risk in Chinese women[J].J Assist Reprod Genet,2008,25(8):389-394. |
| [9] | Sasaki M,Tanaka Y,Kaneuchi M,et al.CYP1B1 gene polymorphisms have higher risk for endometrial cancer,and positive correlations with estrogen receptor alpha and estrogen receptor beta expressions[J].Cancer Res,2003,63(14):3913-3918. |
| [10] | Shah PP,Singh AP,Singh M,et al.Association of functionally important polymorphisms in cytochrome P4501B1 with lung cancer[J].Mutat Res,2008,643(1-2):4-10. |
| [11] | Sliwinski T,Sitarek P,Stetkiewicz T,et al.Polymorphism of the ER alpha and CYP1B1 genes in endometrial cancer in a Polish subpopulation[J].J Obstet Gynaecol Res,2010,36(2): 311-317. |
| [12] | Holt SK,Rossing MA,Malone KE,et al.Ovarian cancer risk and polymorphisms involved in estrogen catabolism[J].Cancer Epidemiol Biomarkers Prev,2007,16(3):481-489. |
| [13] | Okobia MN,Bunker CH,Garte SJ,et al.Cytochrome P450 1B1 Val 432 Leu polymorphism and breast cancer risk in Nigerian women:a case control study[J].Infect Agent Cancer,2009,4 Suppl 1:S12. |
| [14] | Tsuchiya Y,Nakajima M,Yokoi T.Cytochrome P450-mediated metabolism of estrogens and its regulation in human[J].Cancer Lett,2005,227(2):115-124. |
| [15] | Watanabe J,Shimada T,Gillam EM,et al.Association of CYP1B1 genetic polymorphism with incidence to breast and lung cancer[J].Pharmacogenetics,2000,10:25-33. |
| [16] | 吐尔逊·买买提,哈木拉提·吾甫尔,伊力哈木·乃扎木, 等.CYP1B1基因多态性与异常体液型乳腺癌易感性[J].中国公共卫生,2011,27(9):1121-1123. |
| [17] | Aklillu E,∅vrebΨ S,Botnen IV,et al.Characterization of common CYP1B1 variants with different capacity for benzo[a] pyrene-7,8-dihydrodiol epoxide formation from benzoapyrene[J]. Cancer Res,2005,65(12):5105-5111. |
2012, Vol. 28


