带绦虫是常见的人兽共患寄生虫,中国北部和西部地区是较严重的流行区。近年来,本课题组构建了3种人体带绦虫成虫全长cDNA 质粒文库进行对比研究,以期研究3 种绦虫结构、生长发育、物质和能量代谢、侵袭和免疫调节〔1, 2〕。 本研究从牛带绦虫成虫cDNA 质粒文库中筛选出精氨酰-tRNA转移酶基因的同源基因,并构建原核表达载体,为进一步研究其生物学功能奠定基础。
1 材料与方法 1.1 材料 1.1.1 载体与菌株牛带绦虫虫体标本采自广东省湛江市医院患者; 原核表达质粒( pET-28a) ( + ) 及大肠埃希菌BL-21 /DE3( 中山大学热带病防治教育部重点实验室惠赠)。
1.1.2 主要试剂和工具酶TaKaRa Ex Taq TM 酶( 含 dNTP)、EcoR I、H ind Ⅲ 、DNA 标准( DL15000、DL2000) (大连宝生物工程公司); T4 DNA连接酶( 美国prom ega公司); 质粒提取试剂盒(广州东盛科技公司); DNA 凝胶回收试剂盒( 广州铂尔生物科技公司)。
1.2 方法 1.2.1 精氨酰-tRNA 转移酶基因的识别及扩增将获得的牛带绦虫精氨酰-tRNA 转移酶基因进行BLASTX 分析〔3〕 ( http://www.ncbi.nlm.nih.gov/BLAST),判断该基因是否为全长基因,目的基因序列测序是否正确; 再利用蛋白分析专家系统Expasy预测蛋白质的理化性质,、一级结构、亚细胞定位序列、氨基酸序列的跨膜区和拓扑结构以及二级结构、分子的亲水性、溶液中的分子形态等。最后根据已获得的该基因全长编码序列的开放阅读框,利用软件设计引物( 引物由上海联合基因公司合成) ,分别带上EcoR I和H ind Ⅲ 的酶切位点进行PCR反应。
1.2.2 重组原核表达质粒的构建及鉴定PCR产物和pET-28a( + ) 载体分别用E coR I和H ind Ⅲ 双酶切,回收、连接后转入大肠埃希菌BL-21 /DE3 感受态细胞,对阳性克隆依次进行质粒的提取、双酶切和PCR 鉴定,并进行重组质粒 DNA 测序鉴定(测序由英俊科技股份有限公司完成)。
2 结 果 2.1 BLASTX分析从分析结果看,该基因是精氨酰-tRNA 转移酶的同源基因,与小鼠的同源性较高,是较保守的基因。 该基因全长1 476 bp,编码区为141~ 1 617 bp,编码491个氨基酸,在5'端和3'端都有非翻译区。
2.2 蛋白质的理化性质牛带绦虫精氨酰-tRNA 转移酶基因的理论分子量为56 436.3 Da。当成熟肽N端的一个氨基酸为蛋氨酸时,在哺乳动物网状红细胞体外表达的半衰期为 30 h,在酵母和大肠埃希菌中体内表达的半衰期分别大于20 和10 h。在溶液中的不稳定指数为48.57,高于域值40,在溶液中性质不很稳定。
2.3 翻译后修饰与结构的特征性序列及拓扑结构预测6 个潜在的酪蛋白激酶 ( CK2) 位点,3 个潜在N-肉豆蔻酰位点,11个潜在的蛋白激酶磷酸化位点。拓扑结构预测牛带绦虫精氨酰-tRNA 转移酶为非跨膜蛋白。未发现线粒体、过氧化酶体、溶酶体和细胞核等亚细胞定位序列。
2.4 一级结构中包含的结构和功能域特征序列该氨基酸序列中含有2 个ATE 保守的催化位点基序。其结构域分为 N 端和C 端两个部分。
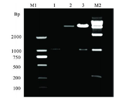
2.5 原核重组载体的鉴定(图 1)![]() | 注: M1: DNA标准( DL2000) ; 1: PCR产物; 2 重组质粒双酶切; 3: 质粒双酶切; M2: DNA 标准( DL 15000)。 图 1 重组质粒的PCR和双酶切鉴定 |
将重组质粒进行PCR 和双酶切鉴定,产物行10 g /L 琼脂糖凝胶鉴定。第1 泳道为 PCR结果,出现条带位置大约与目的基因1 476 bp大致相符; 第2泳道为双酶切结果,可以看到质粒被切成两条带,下边条带位置与目的基因相符。以上初步证明重组质粒构建成功。
3 讨 论构建3种人体带绦虫成虫cDNA质粒文库为研究绦虫的功能基因组学提供了丰富的资源,同时也利于比较3种绦虫的进化、遗传、致病等方面的研究。精氨酰-tRNA 转移酶催化翻译后的特殊氨基酸蛋白结合到受体蛋白氨基末端这一反应,其在真核生物可将不稳定的氨基酸结合到短寿命的蛋白中,成为蛋白降解N末端规律途径的一个组成部分〔4〕。前期,对亚洲带绦虫成虫精氨酰-tRNA转移酶基因进行了初步的探索,并成功的构建了原核表达质粒。本次实验,从牛带绦虫文库中也筛选出该基因,补充了在带绦虫领域对这个控制蛋白质的降解基因更多的了解。
在进行实验验证之前,生物信息学所获得的信息可以指导实验,以避免实验的盲目性〔5〕。对牛带绦虫精氨酰-tRNA 转移酶基因进行生物信息学分析,通过BLASTX 从牛带绦虫 cDNA 文库中识别出了该基因的全长编码基因,但是预测该基因与其他物种的精氨酰-tRNA 转移酶基因同源性不是很高,可以暗示该基因可以作为诊断的候选基因。蛋白质理化性质分析表明,该蛋白在原核和真核表达系统及水溶液中的稳定性不高,说明该蛋白不适宜于基因工程表达,这就需要找寻另一条表达途径。
本研究在生物信息学预测牛带绦虫精氨酰-tRNA 转移酶的结构和功能之外,还成功构建了牛带绦虫该基因的原核表达载体。在下一步的实验中,还可以对其进行诱导表达及免疫学功能的研究,为掌握该酶在致病、免疫、代谢、生理等各方面的规律,和寻找有开发价值的绦、囊虫诊断、疫苗以及药物靶标抗原基因提供更加完善的理论基础。
| 〔1〕 | 黄江,胡旭初,徐劲,等.亚洲牛带绦虫26kD aGST基因表达及免疫学分析[J].中国公共卫生,2008,24(8):970-972. |
| 〔2〕 | 戴鹏,戴佳琳,黄江等,亚洲牛带绦虫TaCR ISP基因的克隆、表达和序列分析[J].中国公共卫生,2009,25(4):398-400. |
| 〔3〕 | Vullo A,Frasconi P.Disulfide connectivity prediction using recursiven eural newtorks and evolutionary in formation[J].Bioin formatics,2004;20:653-659. |
| 〔4〕 | Kwon Y T,Kash ina AS,Davydov IV,et al.An essential role of Nterminal arginylation in cardiovascu lar development[J].Science,2002,297(5578):96-99. |
| 〔5〕 | 尚丹,国强华,景霞.常用医学生物信息学[M].北京大学医学出版社,2003:148-258. |
2011, Vol. 27


