碘作为甲状腺合成甲状腺激素的基本原料,碘摄入不足或过量都会影响甲状腺激素的合成水平。已证实,对于介导碘摄取和转运过程的钠碘转运体(sodiumiodidesymporter,NIS)在碘代谢中起着重要的调节作用,同时,NIS在机体内广泛分布,包括甲状腺、唾液腺、乳腺及胃肠消化道等器官〔1〕,但它们在碘代谢中的协调作用有待深入研究。本研究借助组织芯片技术观察对碘代谢调控起重要作用的NIS在大鼠体内的分布及不同碘摄入量对大鼠不同组织器官NIS表达水平的影响。
1 对象与方法 1.1 动物与分组选用断乳后1个月,体重120~140g的健康Wistar大鼠30只,雌雄各半。随机分为3组:低碘组(LI),正常碘组(NI),高碘组(HI)。LI组动物饲以低碘地区的粮食制成的饲料(平均碘含量为50μg/kg左右),其他2组饲以正常大鼠饲料(平均碘含量为300μg/kg左右);LI组饮用去离子水(碘含量为0μg/L),NI组饮用自来水(水碘5μg/L);HI组饮用含碘量为20295μg/L的碘酸钾的自来水,按大鼠每日进食20g,进水30ml估计每只大鼠每日的总摄碘量为:LI组<1.00μg;NI组6.15μg;HI组615.00μg。
1.2 试剂兔抗鼠NIS抗体(美国AlphaDiagnostic公司);NIS二抗-辣根过氧化物酶(HRPO)标记羊抗兔IgG(北京中杉生物公司)。
1.3 方法 1.3.1 取材各组大鼠在饲养3个月时笼收集其尿液,之后处死分别取甲状腺、肝、肾、胃、空肠、颌下腺、卵巢和睾丸。
1.3.2 尿碘测定采用过硫酸铵消化-砷铈催化分光光度法测定〔2〕。
1.3.3 组织芯片制备组织均以4%的多聚甲醛固定,石蜡包埋,每个组织蜡块苏木素-伊红(HE)染色定位,美国Beecher阵列仪将每种组织各2孔,(雌雄各选1个),构建直径为2.0mm共48个点的微阵列组织芯片,4um厚的连续切片,分别进行HE染色和免疫组人染色。
1.3.4 免疫组织化学法组织常规脱蜡,滴加3%H2O2,室温10min灭活内源性过氧化物酶后,用0.01mol/L枸橼酸盐缓冲液(pH6.0)微波抗原热修复15min,5%牛血清白蛋白(BSA)室温封闭20min,滴加1:50兔抗鼠NIS抗体,4℃过夜。滴加生物素标记的羊抗兔IgG,37℃温浴20min,滴加辣根过氧化物酶标记链霉亲和素(SABC),37℃温浴20min后滴加二氨基联苯胺(DAB)显色,12min蒸馏水洗涤终止反应,常规苏木素复染,脱水,透明,封片。用磷酸盐缓冲液(PBS)代替一抗染色做阴性对照。判定阳性标准为细胞质或细胞膜出现棕黄色颗粒。
1.4 统计分析采用SPSS 12.0统计软件进行分析。尿碘以中位数表示,采用秩和检验。
2 结 果 2.1 尿碘水平LI组、NI组、HI组大鼠的尿碘含量中位数分别为1.7,305.8和28065.5mg/L,LI组、HI组与NI组比较差异均有统计学意义(P<0.001),且HI组尿碘水平接近NI组的100倍。
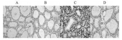
2.2 组织芯片和免疫组化结果 (图 1,2)![]() | 注: A: 对照组; B: NI组; C: LI组; D: HI组。 图 1 各组大鼠甲状腺组织NIS分布与表达 (400×) |
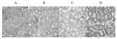
![]() | 注: A: 对照组; B: NI组; C: LI组; D: HI组。 图 2 各组大鼠肾皮质NIS分布与表达 (400×) |
NIS在NI组的表达除肝细胞、睾丸生精小管上皮细胞为阴性外,其他组织均有少量表达,尤其胃黏膜上皮细胞较其他组织NIS有大量的表达。与NI组比较,NIS在LI组甲状腺滤泡上皮细胞基底膜呈线性分布强表达,而HI组较弱表达;与之相反,HI组肾小管上皮细胞基底膜和胞浆均有较强表达,而LI组相对较弱表达。
3 讨 论正常碘摄入对NIS在大鼠许多组织器官都有表达,特别是胃粘膜上皮细胞,与肠粘膜上皮细胞仅见少量NIS表达比较,表明胃对无机碘有很强的吸收能力。同时,碘摄入量对其影响不大,表明胃对碘的摄入能力较为稳定〔3〕。另外,碘摄入量对大多数组织NIS的表达影响较小,但在甲状腺和肾脏组织中NIS对碘代谢调节有重要作用。低碘时为提高碘的转运能力保证甲状腺激素的合成,甲状腺滤泡上皮细胞高表达NIS。它增强摄碘能力是机体对碘供应不足的重要代偿,以保证甲状腺内碘含量的相对稳定〔4〕。高碘时甲状腺滤泡上皮细胞NIS表达量减少表明摄碘能力下降,借此保持甲状腺细胞内碘含量的相对稳定,从而避免高碘对甲状腺组织的损伤〔5, 6〕。同时,由肾脏排出的过量碘引起了肾小管上皮细胞NIS的大量表达,可能与高尿碘重吸收增强有关。提示高碘摄入有可能造成肾脏的损伤。已有研究表明,高碘可引起小鼠新月体形成为主的肾小球病理改变〔7〕。本研究虽未观察到肾小球和肾小管的病理损伤,但也提示高碘摄入可能带来潜在危害。
| 〔1〕 | 肖欢,孟庆勇,刘琼玲,等.钠/碘共同转运体(N IS)基因及其应用研究[J].中国辐射卫生,2007,16(1):116-119. |
| 〔2〕 | 玉芹,张亚平,刘列钧,等.尿中碘的过硫酸胺消化-砷铈催化分光光度测定方法[J].中国地方学病杂志,2004,23(6):582-585. |
| 〔3〕 | Josefsson M,Evilevitch L,Westrom B,et al.Sodiumiodide symporter mediaesiodide secretion in ratgastric mucosa in vitro[J].Exp Biol Med,2006,231(3):277-281. |
| 〔4〕 | Suzuk iK,Kohn LD.Differential regulation of apical and basal iodide transporters in the thyroid by thyroglobu lin[J].Endocrinology,2006,189(2):247-255. |
| 〔5〕 | Chen ZP,Lin LX,Nie XL,et al.Iodin emetab olism and thyroid function in rat model induced byiod in edeficiency and iodne excessat different levels of highiod ine in take[J].Thyroid,2005,15(Supple1):170-171. |
| 〔6〕 | 叶艳,王琨,张璐,等.不同碘摄入量对大鼠碘代谢及甲状腺功能影响[J].中国公共卫生,2007,23(6):714-716. |
| 〔7〕 | 张建宁,杨长春,梁立武,等.过量碘对肾脏的损伤及机制初探[J].武警医学,2004,15(12):906-909. |
2010, Vol. 26


