脑是微波辐射极为敏感的靶部位。学习记忆是脑的高级功能,是在中枢神经系统控制下的极其复杂的过程。特定频段的微波辐射,不但可以引起中枢神经系统内与学习记忆过程有关的神经递质失调,而且可以引起诸如记忆障碍等神经系统功能紊乱[1]。大鼠肾上腺嗜铬细胞瘤细胞系(PC12)细胞具有神经元和神经分泌细胞的性质,目前广泛用于神经细胞死亡以及神经毒理方面的研究,但微波辐射对其影响报道较少。为此,本研究观察微波辐射后PC12细胞形态、超微结构、周期和凋亡等变化,探讨微波辐射对PC12细胞的影响,为进一步探讨其损伤机制提供实验模型。
1 材料与方法 1.1 PC12细胞培养PC12细胞(中国协和医科大学细胞库),以1×105个/ml浓度接种于Dulbecoo改良的Eagle’s 高糖培养基(DMEM)中,内含10%胎牛血清,100 U/L青霉素,100 U/L链霉素,置于37℃,5%CO2培养箱中培养,6~7 d后细胞处于对数生长期,用于实验,细胞培养板均预先以多聚赖氨酸处理。
1.2 PC12细胞诱导分化及其鉴定将培养的PC12细胞制成细胞悬液,接种于终浓度为含1%胎牛血清的培养液(DMEM)和终浓度为含50 ng/ml神经生长因子(NGF)的DMEM培养液中,诱导7~10 d。采用免疫细胞化学染色方法进行神经元特异性烯醇化酶(NSE)检测,以鉴定PC12细胞。
1.3 微波辐射方法采用微波模拟源进行均匀辐射,平均功率密度分别为0,10,30和50 mW/cm2,辐射时间均为5 min。
1.4 PC12细胞周期检测收集培养的PC12细胞,1 500r/min离心5 min,去除上清,洗涤2次后,制成500 μl单细胞悬液,加入300μl含5%小牛血清的磷酸盐缓冲液(PBS)和700 μl无水乙醇,-20℃放置24 h;PBS洗涤2次后,加入200 μl核糖核酸酶A(RNaseA)(1 mg/ml),37℃水浴30 min,再加入碘化丙啶(PI)染色液,4℃避光放置30 min,采用FACS Calibur型流式细胞仪测定细胞周期。
1.5 PC12细胞坏死和凋亡检测PC12细胞以2.5%胰蛋白酶消化,再以1 000 r/min离心5 min,收集细胞,细胞沉淀以PBS重悬混匀,300目滤网过滤,滤液再次重复过滤,离心收集细胞沉淀,加入预先准备好Annexin-V标记液100 μl,25℃孵育15min,再加0.8 ml孵育缓冲液,混匀,采用FACS Calibur型流式细胞仪以488和515 nm双波长检测,分析活细胞、死亡细胞、凋亡细胞百分率;取剩余细胞悬液,离心涂片,采用Radiance 2100TM型激光共聚焦扫描显微镜观察细胞凋亡和坏死。
1.6 电镜标本30mW/cm2辐射后1 d,离心收集细胞(1×106/ml),2.5%戊二醛内固定2 h,1%锇酸固定2 h,乙醇和丙酮脱水,Epon 812树脂包埋,半薄切片定位,超薄切片厚70 nm,醋酸铀和柠檬酸铅双重染色[2],Philip-CM120型透射电镜观察。
1.7 原子力显微镜观察标本30mW/cm2辐射后6 h,细胞用PBS洗3×5 min,1.5%戊二醛固定,把贴有细胞的培养皿 剪下,把样品盖玻片粘在原子力显微镜的样品台上后,放入SPM-9500J3型原子力显微镜样品室内,SPM-online软件控制,进行接触式连续扫描,所得图像参数应用SPM-online软件进行分析。
1.8 统计分析采用Origin 7.0软件进行配对设计定量资料的t检验。
2 结 果 2.1 PC12细胞的形态学改变倒置相差显微镜下观察,培养的PC12细胞呈圆形,胞体透亮,贴壁性良好,生长旺盛;经NGF诱导分化后细胞呈锥形,有明显突起,相互连接,折光性强;经NSE免疫细胞化学染色鉴定,具备神经元细胞特性。
2.2 PC12细胞周期改变(表 1)| 表 1 微波辐射6 h后PC12细胞周期的改变略(%,x±s) |
由表 1可见,G0-G1期:30和50 mW/cm2组均较假辐射组细胞数升高(P<0.05);G2-M期:10 mW/cm2组细胞数较假辐射组显著升高(P<0.01);30和50mW/cm2组细胞数均较假辐射组显著降低(P<0.01);S期:30mW/cm2(500 ns)组较假辐射组显著降低(P<0.01),50 mW/cm2组较假辐射组显著升高(P<0.01)。表明微波辐射后G0-G1期细胞数增加,细胞生长抑制,以30和50 mW/cm2组为明显,10 mW/cm2组未见明显改变。
2.3 PC12细胞凋亡和坏死改变30mW/cm2辐射后6 h,与假辐射组比较,PC12细胞凋亡率增加(P<0.01),坏死率差异无统计学意义。
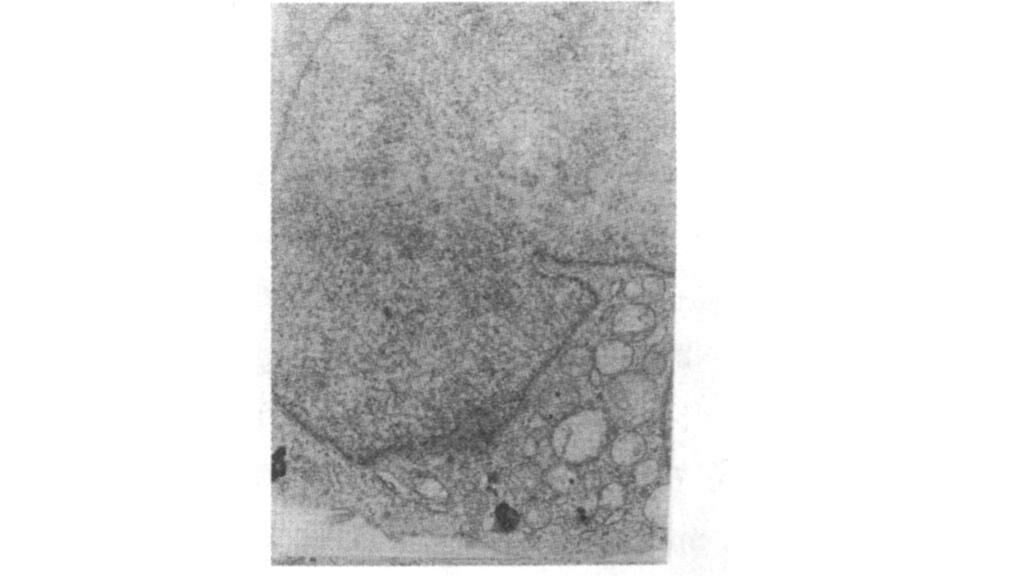
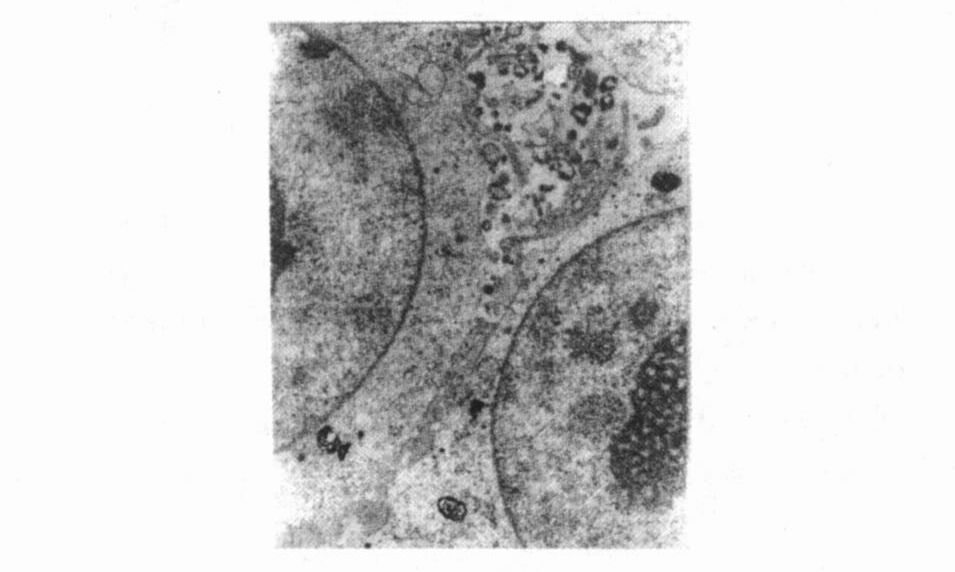
2.4 PC12细胞超微结构改变(图 1~3)假辐射组PC12细胞可见细胞核较大,染色质均匀或呈絮状,核膜间隙清楚,核仁清晰;30 mW/cm2辐射后1 d,细胞核膜间隙增宽,染色质不均,浓缩边集,核型不整,线粒体肿胀空化,内质网扩张。
|
图 1 假辐射组PC12 细胞电镜下超微结构(×6 300) |
|
图 2 30 mW/ cm2 微波辐射后1 d PC12细胞电镜下超微结构(×10 000) |
|
图 3 30 mW/ cm2 微波辐射后1 d PC12细胞电镜下超微结构(×13 000) |
2.5 PC12细胞原子力显微镜观察结果(图 4,5)
辐射后6 h,假辐射组细胞膜表面光滑平整;30 mW/cm2组可见细胞膜表面粗糙不平,有多量凹陷和明显穿孔现象。
|
图 4 假辐射组PC12 细胞膜表面结构(×130 000) |
|
图 5 30 mW/ cm2 微波辐射后6 h PC12 细胞膜表面结构(×130 000) |
3 讨 论
本实验结果显示,不同剂量微波辐射后细胞周期出现改变,提示细胞增殖活力减弱,功能下降,生长受到一定程度的抑制。近年研究证实,细胞周期G1期阻滞和S期延迟,一方面对损伤的DNA进行修复,另一方面对不能修复的损伤细胞诱导凋亡,以降低基因组不稳定性,减少细胞突变及癌变[3-5]。有学者认为,细胞通过细胞周期阻滞引起凋亡是细胞对电磁辐射导致的基因毒性破坏的最初反应[6]。30mW/cm2辐射后6 h,PC12细胞凋亡率增加,表明30 mW/cm2辐射可引起PC12细胞损伤。细胞凋亡与细胞增殖是一种自然生理过程,这种生理过程对维持机体细胞数量的稳定起至关重要的作用。凋亡参与了神经细胞的萎缩,颞叶、额前皮质中神经细胞分布不均匀[7]。30 mW/cm2辐射后1 d,PC12细胞超微结构发生改变,提示细胞可能发生了功能代谢上的障碍。另30 mW/cm2微波辐射后6 h,PC12细胞膜表面粗糙不平,有多量凹陷和穿孔现象,辐射所引起的细胞损伤可能与膜结构的损伤密切相关。细胞膜是细胞功能的重要调节器,细胞膜结构与功能的变化直接影响细胞正常功能的发挥。
| [1] | Lai H, Carino MA, Horita A, et al. Intraseptal microinjection of beta-funaltre-mamine blocked a microwave-induced decrease of hippocampal cholinergic activity in the rat[J]. Pharmocol Biochem Behav, 1996, 553(3) : 613–616. |
| [2] | 王伯云, 李玉松, 黄高升, 等. 病理学技术[M]. 北京: 人民卫生出版社, 2000: 283-294. |
| [3] | Epel D. Protection of DNA during early development:adaptations and evolutionary consequences[J]. Evol Dev, 2003, 5(1) : 83–88. DOI:10.1046/j.1525-142X.2003.03013.x |
| [4] | Amundson SA, Lee RA, Koch-Paiz CA, et al. Differential responses of stress genes to low dose-rate gamma irradiation[J]. Mol Cancer Res, 2003, 1(6) : 445–452. |
| [5] | Marinelli F, La SD, Cicciotti G, et al. Exposure to 900 MHz electro-magnetic field induces an unbalance between pro-apoptotic and pro-survival signals in T-lymphoblastoid leukemia CCRF-CEM cells[J]. J Cell Physiol, 2004, 198(2) : 324–332. DOI:10.1002/(ISSN)1097-4652 |
| [6] | Zang C, Wchter M, Liu H, et al. Ligands for PPAR gamma and RAR cause induction of growth inhibition and apoptosis in human glioblastomas[J]. J Neurooncol, 2003, 65(2) : 107–118. DOI:10.1023/B:NEON.0000003728.80052.a8 |
| [7] | Jarskog LF, Gilmore JH, Selinger ES, et al. Cortical bcl-2 protein expression and apoptotic regulation in schizophrenia[J]. Biol Psychiatry, 2000, 48 : 641–650. DOI:10.1016/S0006-3223(00)00988-4 |
2008, Vol. 24

, 高亚兵, 王丽峰, 左红艳, 徐新萍 