2. 贵阳医学院生理教研室;
3. 贵阳医学院寄生虫教研室
肾脏是砷及其代谢产物排泄的主要器官,砷的肾脏毒性以及肾接触砷后的效应,已引起广泛关注[1]。本文从形态学角度探讨砷中毒所致肾小球细胞损伤及凋亡情况,以为砷中毒致肾损伤的发病机制研究和预防及治疗提供科学依据。
1 材料与方法 1.1 动物分组及染毒选择清洁级SD大鼠30只,体重为100~120 g (贵阳医学院动物实验中心,批号:SCXK (黔)2002-0001)。将大鼠随机分为高、低剂量组和对照组,每组10只,雌雄各半,用三氧化二砷(As2O3),(省公安厅审批贵医设备处) 溶于蒸馏水中进行染毒。高、低剂量组染毒剂量按10,0.4mg/(kg·d), 对照组自由饮水。连续染毒6个月,每周称体重,调节给药量。
1.2 取材与制片及细胞凋亡染色(Tunel法)处死动物,立即取右肾Bouin液固定,脱水,石腊包埋,连续切片4 μm,苏木素-伊红(HE) 染色,观察肾脏及肾小球一般形态学变化。细胞凋亡试剂盒(武汉博士德生物有限公司) 检测。磷酸盐缓冲液(PBS) 代替一抗作阴性对照。
1.3 细胞计数及图像分析每组标本随机观察10张切片,每张切片随机观察10个肾小球,光镜下观察细胞核为棕黑色是凋亡阳性细胞并计数,用Biomias图像分析软件,计算机图像分析系统测定正常细胞和凋亡细胞核平均灰度值。
1.4 统计分析应用SPSS 11.50软件进行统计分析。
2 结果 2.1 肾脏及肾小球形态学变化光镜下,对照组大鼠肾脏分层,结构清晰,肾小球形态正常,肾小球细胞数量及形态正常,肾小囊壁层细胞界限清楚。砷中毒高剂量组肾脏血管扩张、充血、肾小球细胞数量增多,有炎性细胞浸润。低剂量肾脏未见明显异常改变。
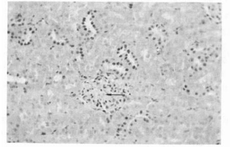
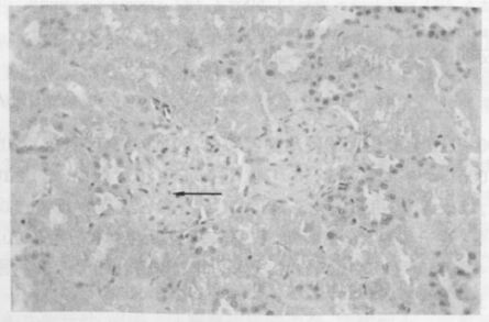
2.2 肾小球细胞凋亡计数及形态学变化(表 1)砷中毒高剂量组和低剂量组与对照组比较,肾小球凋亡细胞均明显增多。砷中毒高剂量组、低剂量组凋亡细胞和对照组比较,平均灰度值明显降低,P<0.01,差异有统计学意义。对照组肾小球未见明显凋亡细胞(图 1)。砷中毒低剂量组肾小球有少量凋亡细胞(图 2)。砷中毒高剂量组凋亡细胞数量明显增多,凋亡细胞核染色质浓缩、深染,呈棕黑色,核固缩、变小(图 3)。
| 表 1 砷中毒大鼠肾小球细胞凋亡及灰度值(x±s) |
|
注:a P<0.01, b P<0.01;n=10。 图 1 对照组肾小球(TUNEL,×400) |
|
图 2 低剂量组肾小球(TUNEL,×400) |
|
图 3 高剂量组肾小球(TUNEL,×400) |
3 讨论
砷是自然环境中广泛存在的一种类金属元素。过量的砷通过饮水、食物、空气等进入人体引发的砷中毒是全球所关注的严重的公共卫生问题之一[2]。肾脏是砷及其代谢产物排泄的主要器官,也是砷蓄积部位和毒性主要靶器官之一[3]。本研究发现,慢性砷中毒大鼠高剂量组肾脏血管扩张、充血、肾小球细胞增生和杨运旗、孙贵范等人报道相符[4, 5],推测砷可通过甲基化等作用使肾脏受损,同时,砷作为一种细胞原浆毒对机体的损伤也与细胞凋亡有密切的关系。SKalnaia等发现,砷对甲状腺的影响与砷所致的甲状腺淋巴细胞凋亡有关[6]。杨东焱等报道,砷可导致海马神经细胞不同程度的凋亡[7]。细胞凋亡又称程序性细胞死亡,是受基因调控的一种主动细胞自杀过程。在一定程度上,细胞凋亡对多细胞生物体维持自身稳定具有重要作用。细胞凋亡失常(凋亡不足或凋亡过度) 参与多种疾病的发生与发展[6]。本实验中,慢性砷中毒高剂量组和低剂量组大鼠肾小球细胞凋亡较对照组明显增加,说明慢性砷中毒所致肾功能损害的发病机制不仅和砷的氧化损伤作用、甲基化作用等有关,还可能和肾小球细胞凋亡增加有关。同时,凋亡作为一种维持内环境的机制,使细胞增殖过多的肾小球恢复正常,然而过度的凋亡又可能引起肾小球损害加剧。值得注意的是,砷诱导细胞凋亡的同时,为某些恶性肿瘤的治疗提供了新的途径。随着对砷与细胞凋亡相关基因研究的不断深入,将会为探索砷中毒的发病机制和防治提供科学依据。
| [1] | 洪峰. 无机砷的肾脏损伤作用研究进展[J]. 国外医学:卫生学分册, 2002, 29(1) : 27–30. |
| [2] | 王毅, 李冰, 李昕, 等. 砷和香烟烟气溶液对基因Bcl/2和Bax表达影响[J]. 中国公共卫生, 2008, 24(3) : 325–326. |
| [3] | 洪峰, 金泰赓, 张爱华. 应用基准剂量法探讨砷、镉接触人群肾功能损害危险性评价[J]. 中华预防医学杂志, 2004, 38(6) : 374–378. |
| [4] | 杨运旗, 孙兰英, 黄晓欣, 等. 慢性燃煤砷污染所致肾损害的临床病理观察[J]. 中国地方病学杂志, 2003, 22(4) : 358–359. |
| [5] | 孙贵范, 李富君, 李革新, 等. 砷对小鼠肾脏毒性机理的探讨[J]. 中国地方病学杂志, 1998, 17(5) : 284–286. |
| [6] | 刘开泰. 砷与细胞凋亡[J]. 地方病通报, 1998, 13(4) : 93–96. |
| [7] | 杨东焱, 梁超轲, 金银龙, 等. 砷对原代培养海马神经细胞凋亡的研究[J]. 中国地方病学杂志, 2003, 22(3) : 204–206. |
2008, Vol. 24

