随着微波技术广泛应用于工业、医疗、通讯等领域,其所引起的生物学效应越来越受到关注。研究表明,微波具有明显的中枢神经系统损伤效应[1, 3]。血脑屏障(BBB)是脑的主要防御结构,其在维持脑的内环境和脑与外周信息及物质传递中发挥重要作用[4]。当BBB被破坏时,其通透性会发生改变,导致中枢神经系统出现多种病变。微波致BBB损伤的研究报道较少。本实验旨在研究微波辐射后大鼠BBB结构和功能的变化,为明确损伤效应和阐明损伤机制奠定基础。
1 材料与方法 1.1 动物与分组二级雄性Wistar大鼠166只,体重(180±20) g(北京维通利华实验动物中心)。随机分为假辐射组、微波辐射10和100mW/cm2组,分别为12,50,50,54只大鼠。
1.2 辐射方法采用微波模拟辐射源进行全身均匀辐射,辐射平均功率密度分别为10,30和100mW/cm2,辐射时间均为5min。假辐射组为正常对照组。
1.3 病理形态观察各组动物分别于辐射后6 h及1,3,7和14 d活杀取材,取矢状切半脑置于10%福尔马林缓冲溶液中,1周后取海马和皮层组织进行石蜡包埋制片,苏木素伊红(HE)染色[5],光镜观察。
1.4 伊文思蓝(EB)染色法检测BBB通透性变化各组动物处死前0.5h尾静脉注入2%(EB),2ml/kg(美国Sigma公司),1%戊巴比妥钠麻醉后打开胸腔,心内灌注肝素生理盐水(0.9%氯化钠+20U/ml肝素钠)200~300ml,断头取脑作矢状切取半脑分离海马,称重,剪碎置于二甲基甲酰胺(1ml/100mg脑组织)60℃孵育24h,1000r/min离心5min,酶标仪(655nm)测定上清液A值[6]。采用Oringen7.0软件进行数据分析,根据标准曲线计算EB含量;另外一半脑组织进行冰冻切片后于共聚焦激光扫描显微镜下观察EB通透情况[7]。
1.5 硝酸镧电镜示踪检测BBB通透性变化1%戊巴比妥钠30mg/kg麻醉大鼠,打开胸腔,心内灌注肝素生理盐水冲洗至流出较清亮液体,采用镧醛固定液[8]灌注(200ml/只),灌注压为40.0kP。30min后剥离脑组织并分离海马,取3块1mm×1mm×1mm海马组织,置镧醛固定液中4℃过夜。用含1%硝酸镧的二甲砷酸钠缓冲液洗涤2次后,双蒸水冲洗置戊二醛后固定,酒精梯度脱水,制作超薄切片,醋酸铀和柠檬酸铅双重染色[9],透射电镜观察并照像。
1.6 统计分析采用SAS 8.0统计软件进行单因素多水平检验。
2 结果 2.1 大鼠海马和大脑皮层病理形态改变光镜下见假辐射组大脑皮层和海马呈正常形态结构。10,30和100mW/cm2组基本病理改变为大脑皮层和海马组织水肿、疏松,血管周间隙增宽;神经元胞体变小,胞核呈三角形和梭形,严重可见坏死;部分胶质细胞固缩变形,胞浆深染;病变以CA4区和齿状回较重。其动态变化规律为:辐射后6h,10和30mW/cm2组大脑皮层和海马组织见部分神经元固缩呈三角形,血管周间隙略增宽,3d内病变进行性加重,以空泡变性为主,血管轻度扩张,可见胞体变小、核深染的神经元,14d恢复。100 mW/cm2组病变7d内进行性加重,组织疏松、水肿,大量神经元变性、坏死,血管周间隙明显增宽,锥体细胞减少,14d时仍未见明显恢复。
2.2 伊文思蓝染色结果 2.2.1 共聚焦激光扫描显微镜性观察EB在G激发状态下呈鲜艳明亮的红色荧光。假辐射组海马组织中,EB仅局限于血管腔内,未见透过血管壁渗出至管腔外。100mW/cm2组辐射后3d可见大小不一的光斑,边界模糊,呈片状,血管周围可见弥散的红色荧光。
2.2.2 EB定量分析结果(表 1)| 表 1 S波段HPM辐射后海马组织内EB含量变化(μg/ g,x ± s) |
由表 1可见,与假辐射组比较,10,30和100mW/cm2组于辐射后3~14d内海马组织EB含量均有所升高。10mW/cm2组辐射后3d EB含量达高峰,7d呈下降趋势,但仍高于假辐射组(P<0.01) ,14d基本恢复。30 mW/cm2组EB含量3d时明显增加(P<0.01) ,7d时达高峰,14d见恢复。100mW/cm2组EB含量3d时增加(P<0.01) ,14d内呈进行性增加的趋势。
2.3 硝酸镧电镜示踪结果假辐射组镧离子滞留于血管腔内,未见透过脑毛细血管内皮细胞间的紧密连接,管腔外无镧离子沉积(图 1) ;100mW/cm2组辐射后1d,镧离子见于血管周围内皮下层,部分透过基底膜(图 2) ;辐射后7d,大量镧离子弥漫性分布于脑间质细胞间隙(图 3) 。
|
图 1 假辐射组大鼠海马( TEM, 8000 × ) |
|
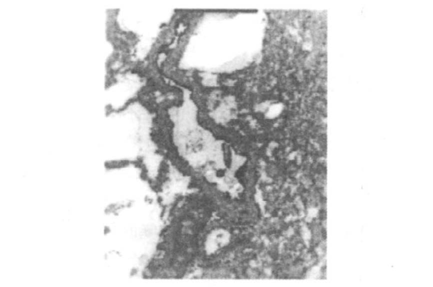
图 2 100mW/ cm2 组辐射后1d 大鼠海马( TEM, 22000 × ) |
|
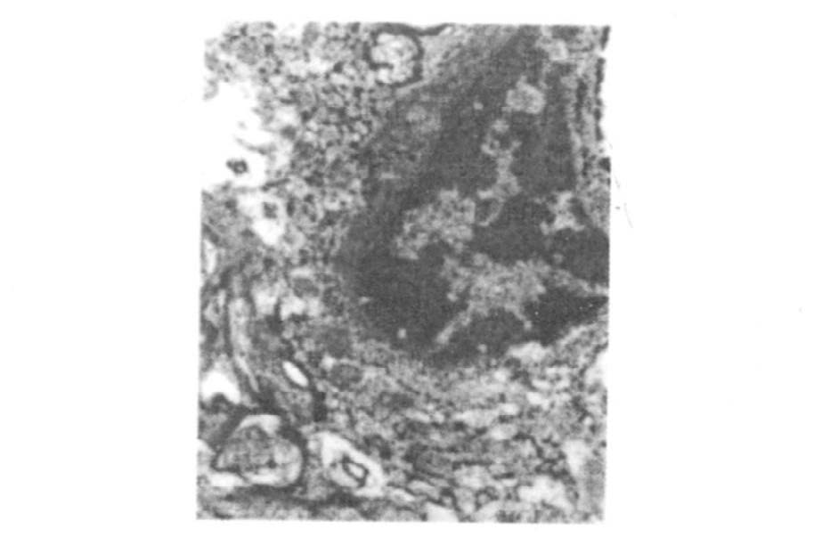
图 3 100mW/ cm2 组辐射后7d 大鼠海马( TEM, 13000 × ) |
3 讨论
有学者采用2.45GHz、2W/kg的微波辐射大鼠45min,发现渗入脑实质中的EB含量增加[10]。本实验光镜下观察到10~100 mW/cm2微波辐射后血管周间隙增宽,部分胶质细胞固缩深染等基本病理变化,表明皮层和海马部位的BBB形态结构发生了改变。白蛋白的相对分子质量为67000KDa,正常情况下不能透过BBB,当机体因各种因素导致BBB通透性增加时,结合EB的白蛋白可通过BBB进入脑组织,在荧光显微镜下呈红色荧光。本研究可看到100mW/cm2组辐射后3d有红色荧光透过血管壁渗出至脑实质,而假辐射组中EB未见渗出。表明BBB的通透性有所增加。从定量分析结果看,10,30和100mW/cm2微波辐射均可导致大鼠BBB通透性增加,且前2个剂量组在3和7d时的EB含量明显高于第3个剂量组,表明10和30mW/cm2组短时期内对BBB损伤较重,但可以恢复,是一个可逆的过程。100mW/cm2组EB含量在14d内呈进行性增加,未见恢复,表明剂量越大,损伤越不易恢复,超出了机体代偿能力,延迟效应明显。
本实验电镜下可见假辐射组中镧离子局限在血管腔内,表明BBB尚未被破坏;100mW/cm2组辐射后1d,血管内皮细胞空泡化明显,胞质内含有吞噬的镧颗粒,说明此阶段内皮细胞膜通透性开始增大;辐射后7d,可观察到大量的镧离子透过微血管进入脑实质中,表明此时BBB的组成结构发生了较严重的损害。该实验进一步证实了微波辐射可引起大鼠BBB通透性显著增加。
综上所述,10~100 mW/cm2微波辐射可引起大鼠BBB结构与功能发生改变,BBB通透性增加,但其损伤机制尚待进一步探讨。
| [1] | Fukui Y, Hoshino K, Inouye M, et al. Effects of hyperthermia induced by microwave irradiation on brain development in mice[J]. Radiat Res, 1992, 33(1) : 1–10. DOI:10.1269/jrr.33.1 |
| [2] | Yamaguehi H, Tsurita G, Ueno S, et al. 1439 MHz pulsed TDMA fields affect performance of rats in a T-mtask only when body temperature is elevated[J]. Bioelectromagnetics, 2003, 24(4) : 223–230. DOI:10.1002/bem.10099 |
| [3] | 王丽峰, 彭瑞云, 胡向军, 等. HPM对大鼠大脑结构及其神经递质的影响[J]. 中国公共卫生, 2005, 21(9) : 1059–1060. |
| [4] | 成令忠, 钟翠平, 蔡文琴. 现代组织学[M]. 上海: 上海科学技术文献出版社, 2003: 467-470. |
| [5] | 龚志锦, 詹洲. 病理组织制片和染色技术[M]. 上海: 上海科学技术出版社, 1994: 50-54. |
| [6] | Kaya M, Palanduz A, Kalayei R, et al. Effects of lipopolysaccharide on the radiation-induced changes in the blood-brain barrier and the astrocytes[J]. Brain Res, 2004, 1019(1-2) : 105–112. DOI:10.1016/j.brainres.2004.05.102 |
| [7] | 王琦, 任东青, 邝芳, 等. 脉冲式电磁辐射对大鼠血脑屏障影响的量效关系[J]. 疾病控制杂志, 2003, 7(5) : 401–404. |
| [8] | 王爽, 李学荣, 王晓峰. 用硝酸镧示踪测定大鼠脑损伤后血脑屏障通透性改变的电镜技术[J]. 第四军医大学学报, 1999, 20(2) : 171–172. |
| [9] | 王伯云, 李玉松, 黄高升, 等. 病理学技术[M]. 北京: 人民卫生出版社, 2000: 37-40. |
| [10] | Cosquera B, Pereira A, Vasconcelosa D, et al. Blood-brain barrier and electromagnetic fields:Effects of scopolamine methylbromide on working memory after whole-body exposure to 2.45 GHz microwaves in rats[J]. Behavioural Brain Res, 2005, 161(2) : 229–237. DOI:10.1016/j.bbr.2005.02.025 |
2008, Vol. 24

, 彭瑞云