2. 武汉大学基础医学院病理学教研室 湖北 武汉 430071
2. Dept. of Pathology, School of Basic Medical Sciences, Wuhan University, Wuhan 430071, China
子宫内膜样腺癌(endometrioid adenocarcinoma,EA)是子宫内膜癌中最常见的病理类型,近年来发病率逐渐上升并呈现年轻化趋势。子宫内膜样腺癌经过以手术为主的综合治疗,虽能够获得良好的生存率,却使患者丧失了内分泌生殖能力。部分孕激素受体(progestrone receptor, PR)阳性患者通过高效大剂量的孕激素治疗可达到保留内分泌生殖目的,但目前尚无PR阴性子宫内膜样腺癌保留内分泌生殖功能的有效方法。CD146是一种细胞黏附分子,属于免疫超家族成员,在多种恶性肿瘤组织表达上调,在肿瘤发生发展过程中起着重要作用。目前以CD146为靶点的治疗性抗体在研究中被证实具有抗癌作用。本文通过检测子宫内膜样腺癌中CD146的表达情况,旨在探讨PR阴性早期子宫内膜样腺癌患者保留内分泌生殖功能靶向治疗的可行性。
1 材料与方法 1.1 研究对象经长江大学医学院伦理委员会批准,在长江大学第一附属医院2008年1月至2014年4月收集110例子宫内膜样腺癌患者手术标本作为实验组,该组患者术前未进行化疗、放疗等治疗。年龄32-63(46.6±7.4)岁。收集48例子宫内膜不典型增生标本、40例子宫内膜息肉标本及30例正常子宫内膜增生性改变标本作为对照组,该组患者均无肿瘤、急性感染等疾病。所有标本均经有经验的病理医生再次检查确诊。
1.2 主要试剂免疫组化所用的兔抗人CD146单克隆抗体,鼠抗人PR抗体及免疫组化SP试剂盒均购自北京中杉金桥生物技术有限公司。
1.3 病理学检查所收集组织样本均采用4%多聚甲醛固定,常规石蜡包埋然后切片,进行HE和免疫组化染色,普通光学显微镜观察。
1.4 免疫组化染色所收集的样本均进行4 μm连续切片2张,微波进行抗原修复,免疫组化采用SP法,具体步骤严格按照试剂盒说明书进行。CD146单克隆抗体(工作浓度为1:50),PR单克隆抗体(工作浓度为1:50)。DAB显色和封片后,普通光学显微镜观察成像并进行数据分析。
1.5 免疫组化结果判断标准PR免疫组化阳性染色为棕黄和/或棕褐色颗粒,位于正常腺上皮和肿瘤细胞胞核。CD146阳性表达呈棕黄色颗粒,主要定位于肿瘤细胞、间质的血管内皮细胞和成纤维细胞的胞膜和/或胞质。阳性反应的分级参照文献[1],采用阳性细胞所占百分比的判断标准:每张切片随机选取5个高倍视野,首先按阳性细胞所占比例评分:阴性为0分,阳性细胞数≤10%为1分,11%-50%为2分,51%-75%为3分。最终根据评分分为:阴性:评分0-1分,阳性:2-3分。
1.6 统计学分析所有数据采用SPSS 17.0进行处理,组间比较采用卡方检验。相关性分析用相关系数。以P<0.05表示差异有统计学意义。
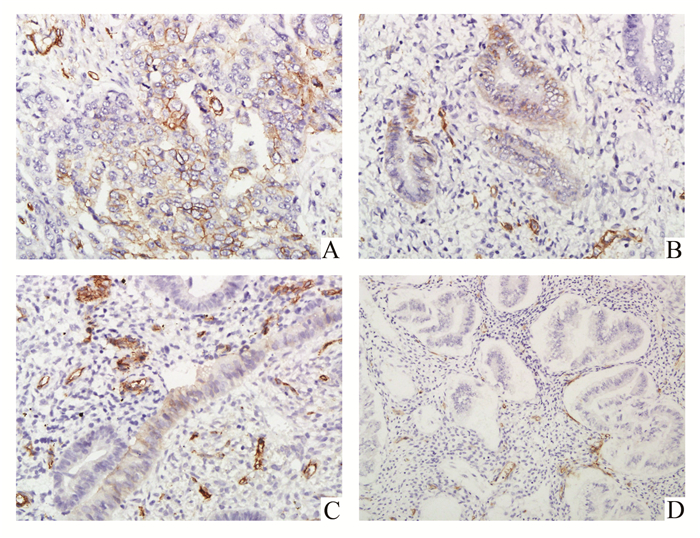
2 结果 2.1 子宫不同病变内膜组织中CD146表达情况本研究应用免疫组化技术检测通过病理学诊断为子宫内膜样腺癌、非典型增生、子宫内膜息肉、子宫内膜增生性改变的组织标本(图 1),各组CD146的表达情况见表 1,CD146表达在子宫内膜样腺癌组分别与子宫内膜增生性改变组、子宫内膜息肉组相比,差异具有统计学意义(分别为P=0.001, P<0.05),而子宫内膜样腺癌组与非典型增生组之间,CD146表达差异无统计学意义(P>0.05)。
|
图 1 子宫内膜不同病变中CD146的蛋白表达(SP×200) A:子宫内膜样腺癌; B:子宫内膜非典型增生C:子宫内膜息肉; D:子宫内膜增生性改变 |
| 表 1 不同子宫内膜组织中CD146表达比较 |
由表 2可见,PR表达与子宫内膜样腺癌组织学分级、FIGO分期、肿瘤浸润深度、淋巴结转移显著相关(P < 0.05),成正相关性,而与患者年龄无关(P>0.05)。
| 表 2 PR表达与子宫内膜样腺癌临床病理因素的关系 |
由表 3可见,CD146表达与子宫内膜样腺癌组织学分级、肿瘤浸润深度显著相关(P < 0.05),呈正相关; 而与患者年龄、FIGO分期、淋巴结转移无关(P>0.05)。
| 表 3 CD146表达与子宫内膜样腺癌临床病理因素的关系 |
本文中PR阳性子宫内膜样腺癌中CD146表达阳性所占比例为50.88%; PR阴性子宫内膜样腺癌中CD146表达阳性所占比例为60.38%。子宫内膜样腺癌中CD146表达与PR表达无相关性(表 4)。
| 表 4 子宫内膜样腺癌中CD146与PR表达的相关性 |
子宫内膜样腺癌是子宫内膜癌中最常见的病理类型,约占各种亚型的80%以上。近年来发病率逐渐上升并呈现年轻化趋势,40岁以下患者所占比例已由1%-8%上升到3%-14%,其中约80%以上患者未曾生育或仍有生育愿望。子宫内膜样腺癌患者经过以手术(全子宫切除+双侧附件切除)为主的综合治疗,虽能够获得良好的生存率,却使年轻患者丧失了生育能力和赖以维持女性生理特征的卵巢内分泌功能,继而导致全身代谢紊乱及其相关并发症的发生,严重地影响了患者的生活质量。近年来在子宫内膜样腺癌保留内分泌生殖功能治疗方面已取得了一些成果,基于子宫内膜样腺癌发生与长期无孕激素拮抗的雌激素刺激相关的机制提出了孕激素治疗的方法,已被多年临床实践证明具有一定疗效,目前国内外均有经孕激素治疗后的子宫内膜样腺癌患者成功分娩的报道[2, 3]。然而研究发现孕激素治疗疗效与肿瘤组织中的PR表达情况密切相关,PR表达阳性的患者对孕激素治疗效果好; PR阴性患者对孕激素治疗效果差[4]。针对PR阴性早期子宫内膜样腺癌患者,目前尚无保留生育功能的有效疗法。
CD146是一种细胞黏附分子,属于免疫超家族成员,主要表达于上皮细胞表面。在肿瘤发生发展过程中起着重要作用[5],CD146已被认定为多种恶性肿瘤转移及血管内皮细胞的生物标记[6, 7]。目前国内外文献报道CD146治疗性抗体具有抑制肿瘤作用[8-10],预示将可成为面向临床应用的肿瘤靶向治疗药物。
本文通过免疫组化技术检测发现CD146在子宫内膜样腺癌标本中的表达高于不典型增生、子宫内膜息肉及增生性改变内膜标本,且具有统计学意义。分析临床资料发现CD146在子宫内膜样腺癌中的表达与组织学分级、肿瘤浸润深度相关,而与FIGO分期、淋巴结转移无统计学相关性,与Zhang文献报道不一致[11],考虑为临床收集样本量不足,但这些数据仍提示CD146表达与子宫内膜样腺癌的发生发展具有相关性,不仅可作为子宫内膜样腺癌新的生物标记,而且其可作为子宫内膜样腺癌评估预后指标。
既往研究表明PR的缺失与子宫内膜样腺癌恶性程度上升,侵袭度增加及向非激素依赖型肿瘤转化相关,提示预后不良[12]。本研究结果显示PR表达在子宫内膜样腺癌高分化组别明显低于低分化组,PR阳性组及PR阴性组CD146均有表达,但无明显统计学差异及相关性。PR阴性早期子宫内膜癌中CD146阳性比例约为60.38%,这提示针对PR阴性而CD146阳性的早期子宫内膜样腺癌患者,有可能利用CD146作为靶点进行靶向治疗,从而保留其生育及内分泌功能。以CD146为靶点的靶向治疗,我们在体外和动物模型上取得了令人鼓舞的初步结果(另文发表),提示CD146可能成为针对PR阴性子宫内膜样腺癌保留生育功能治疗的新策略。
| [1] | Wu Z, Wu Z, Li J, et al. MCAM is a novel metastasis marker and regulates spreading, apoptosis and invasion of ovarian cancer cells[J]. Tumour Biol, 2012, 33(5): 1619-1628. DOI: 10.1007/s13277-012-0417-0. |
| [2] | Ricciardi E, Maniglio P, Frega A, et al. Fertility-sparing treatment of endometrial cancer precursors among young women: a reproductive point of view[J]. Eur Rev Med Pharmacol Sci, 2012, 16(14): 1934-1937. |
| [3] | Jafari SM, Mostafa GP, Esmaeili H, et al. Fertility sparing treatment in young patients with early endometrial adenocarcinoma: case series[J]. Pak J Med Sci, 2013, 29(2): 651-655. |
| [4] | 姚远洋, 徐文展, 王悦, 等. 子宫内膜症分子标志物与临床病理特征及预后的关系[J]. 北京大学:医学版, 2011, 43(5): 743-748. |
| [5] | Wang Z, Yan X. CD146, a multi-functional molecule beyond adhesion[J]. Cancer Lett, 2013, 330(2): 150-162. DOI: 10.1016/j.canlet.2012.11.049. |
| [6] | Aldovini D, Demichelis F, Doglioni C, et al. M-CAM expression as marker of poor prognosis in epithelial ovarian cancer[J]. Int J Cancer, 2006, 119(8): 1920-1926. DOI: 10.1002/(ISSN)1097-0215. |
| [7] | Wang W, Yang ZL, Liu JQ, et al. Identification of CD146 expression, angiogenesis, and lymphangiogenesis as progression, metastasis, and poor-prognosis related markers for gallbladder adenocarcinoma[J]. Tumour Biol, 2012, 33(1): 173-182. DOI: 10.1007/s13277-011-0260-8. |
| [8] | Leslie MC, Zhao YJ, Lachman LB, et al. Immunization against MUC18/MCAM, a novel antigen that drives melanoma invasion and metastasis[J]. Gene Ther, 2007, 14(4): 316-323. DOI: 10.1038/sj.gt.3302864. |
| [9] | Zheng C, Qiu Y, Zeng Q, et al. Endothelial CD146 is required for in vitro tumor-induced angiogenesis: the role of a disulfide bond in signaling and dimerization[J]. Int J Biochem Cell Biol, 2009, 41(11): 2163-2172. DOI: 10.1016/j.biocel.2009.03.014. |
| [10] | Bidlingmaier S, He J, Wang Y, et al. Identification of MCAM/CD146 as the target antigen of a human monoclonal antibody that recognizes both epithelioid and sarcomatoid types of mesothelioma[J]. Cancer Res, 2009, 69(4): 1570-1577. DOI: 10.1158/0008-5472.CAN-08-1363. |
| [11] | Zhang H, Zhang J, Wang Z, et al. CD146 is a potential marker for the diagnosis of malignancy in cervical and endometrial cancer[J]. Oncol Lett, 2013, 5(4): 1189-1194. |
| [12] | Suthipintawong C, Wejaranayang C, Vipupinyo C. Prognostic significance of ER, PR, Ki67, c-erbB-2, and p53 in endometrial carcinoma[J]. J Med Assoc Thai, 2008, 91(12): 1779-1784. |
2016, Vol. 37
