克-雅氏病(Creutzfeldt-Jakob disease, CJD)是一种较为罕见但致死率极高的神经系统变性性疾病,可因基因突变或被致病性朊蛋白PrPsc感染患病,年发病率为1/100万。世界卫生组织将该病分为散发型、遗传型、变异型和医源型,其中散发型约占90%。神经系统的主要临床表现为性格改变、共济失调及迅速进展性痴呆等,而有不少患者是以视觉症状作为首发表现。现将我院收治的1例以视力损伤为首发症状的克-雅氏病例报告如下。
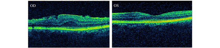
1 病史回顾患者王某,女,75岁。因双眼视力进行性下降50余天收入院。现病史:50余天前出现双眼明显视物模糊,无其他特殊不适,到外院查视力右眼0.2,左眼0.3,未明确病因,给予扩管、营养神经等药物治疗,后视力进一步下降并出现记忆力明显减退,反应迟钝等症状,遂到我院眼科就诊。既往病史为高血压病Ⅰ级。入院检查:①眼科查体:VOD 0.02,矫正视力(BCVA) 0.15+,VOS 0.03(BCVA 0.1),眼压正常,双眼瞳孔直径约2.5 mm,光反射灵敏,晶体及玻璃体轻度混浊,右眼黄斑区呈玻璃纸样反光,左眼黄斑反光暗。②眼科辅助检查:黄斑OCT扫描提示右眼黄斑前膜伴中心凹结构消失(图 1),FFA及ICGA仅提示右眼黄斑前膜,左眼上述检查无异常。VEP提示双眼P100潜时延迟,振幅降低。ERG提示双眼视杆细胞、视锥细胞反应均降低。③全身系统检查:术前常规查血无异常; 头颅MRI平扫+增强提示:双侧基底节区、放射冠区、半卵圆中心、额顶叶皮层下多发腔隙性脑梗塞,增强无明显异常强化; 脑萎缩。
|
图 1 双眼黄斑OCT扫描 |
患者入院数天内出现情感淡漠,不能语言交流且运动迟缓,遂请神经内科会诊,检查结果如下:生命体征平稳,颅神经(-),四肢肌张力增高近强直,异常姿势,四肢腱反射低下,深浅感觉正常。追问病史患者半年前有食用生牛肉史。经颅多普勒(TCD)未见异常。MRI-DWI(弥散加权成像,图 2)显示双侧枕顶叶皮层对称性高信号。脑电图提示重度异常脑电图,全头部可见较多慢波、阵发性周期性双向波及三相波(图 3)。脑脊液常规及生化结果正常,寡克隆带阴性。根据上述检查结果并结合患者临床表现,神经内科医师临床诊断为散发型克雅氏病(Creutzfeldt-Jakob disease, CJD)。
|
图 2 DWI显示双侧枕顶叶皮层可见对称性高信号 |
|
图 3 脑电图提示顶枕叶周期性三相波 |
武汉大学学报(医学版)第39卷第5期严茜茜,等.以视力损伤为首发症状克雅氏病1例报告CJD是一种较为罕见但致死率极高的神经系统变性性疾病,可因基因突变或被致病性朊蛋白PrPsc感染患病。世界卫生组织将该病分为散发型、遗传型、变异型和医源型。尽管患者有近期国外生食牛肉史,但并无疫情爆发事件报道,考虑患者并非变异型而为散发型。散发型CJD临床表现为性格改变,共济失调,肌阵挛,进行性痴呆和视功能损伤,通常发病后3-12个月内死亡。本例患者出现进行性痴呆,视觉障碍,椎体/椎体外系体征并具有典型的周期性三相波脑电图,结合MRI-DWI双侧枕顶叶皮层对称性高信号均符合CJD的临床诊断标准。值得眼科医师注意的是,约10%-19%的CJD患者以视力损伤为首发症状,有50%-75%的CJD患者在病程进展过程中表现出视力下降、复视等多种视觉障碍而曾到眼科就诊[1]。少数患者可因角膜移植术或佩戴接触镜感染朊病毒致病[2, 3],医护人员也需做好自身防护,预防自身感染和避免病原体的传播[4]。
散发型CJD为亚急性起病,而特发性黄斑前膜病程进展缓慢,因此考虑该患者右眼黄斑前膜与CJD为伴发关系。本例患者大脑顶枕叶皮质损害,考虑视力障碍的主要原因为视皮质损害,患者VEP异常而瞳孔反射正常亦可反映视中枢病变。有文献总结了克雅氏病的眼科临床表现:①视功能改变,包括不伴有视神经乳头改变的视敏感度下降,色觉和瞳孔反射正常; 视野缺损和复视(常见); ②异常眼球运动:周期性交互性眼球震颤相对常见[1]。近期CJD诊疗取得一定进展,但尚无有效治疗方法,主要以提高患者生活质量和延长生存期为治疗目的[5]。该病需与脑血管疾病、肿瘤和外伤导致的皮质盲鉴别,其他易误诊的可导致双眼视力进行性下降的疾病有球后视神经炎[6]、视神经脊髓炎和多种视觉通路病变。
| [1] | Kang YJ, Kin JH, Kim TE, et al. A case of creutzfeldt-jakob disease presenting mainly with abnormal eye movements[J]. Research in Vestibular Science, 2014, 13: 53-56. |
| [2] | Hogan RN, Cavanagh HD. Transplantation of corneal tissue from donors with diseases of the central nervous system[J]. Cornea, 1995, 14(6): 547-553. |
| [3] | Amin SZ, Smith L, Luthert PJ, et al. Minimising the risk of prion transmission by contact tonometry[J]. Br J Ophthalmol, 2003, 87(11): 1 360-1 362. DOI: 10.1136/bjo.87.11.1360. |
| [4] | Martin M, Trouvin JH. Risk of transmission of Creutzfeldt-Jakob disease via blood and blood products. The French risk-analysis over the last 15 years[J]. Transfus Clin Biol, 2013, 20(11): 398-404. |
| [5] | Chen C, Shi Q, Zhang BY, et al. The prepared tau exon-specific antibodies revealed distinct profiles of tau in CSF of the patients with Creutzfeldt-Jakob disease[J]. PLoS One, 2010, 5: e11 886. DOI: 10.1371/journal.pone.0011886. |
| [6] |
胡怀彬, 童绎, 魏世辉, 等. 首发为球后视神经炎的克-雅氏病1例[J].
中国中医眼科杂志, 2006, 16(1): 52-53.
Hu HB, Tong Y, Wei SH, et al. One case of Creutzfeldt-Jakob disease with visual impairment as the first symptom[J]. China Journal of Chinese Ophthalmology, 2006, 16(1): 52-53. DOI: 10.3969/j.issn.1002-4379.2006.01.023. |
2018, Vol. 39

