患者男,37岁,因“发热4天,胸闷、气促伴呕吐1天”于2016年11月01日入院,4天前受凉后出现发热,最高体温达39.8℃。外院诊断“社区获得性肺炎”,予“阿奇霉素”抗感染及“布洛芬”解热等治疗。治疗后症状未见明显缓解。既往有2型糖尿病10余年,不规律口服降糖药及胰岛素治疗,未监测血糖,己自行停药约7年。入院查体:T 38.9℃,P 117次/min,R 20次/min,BP 138/85 mmHg。神清,精神疲倦。双肺呼吸音粗,右肺可闻及少许湿罗音。左侧腹股沟可见1 cm×2 cm的皮肤破溃,有脓性分泌物(患者诉2016年10月18日台风“莎莉嘉”后无明显诱因出现腹股沟区皮肤破溃)。入院辅助检查:床旁查末梢血糖提示高测不出;血常规示WBC 15.27×109/L,NEUT 88.8%;CRP:83.56 mg/L;PCT:1.36nE/mL;细菌内毒素0.2289EU/mL,1-3-β-D 364.6435;血气分析:PH 7.173,PCO2 2.04 Kpa,PO2 13.014 Kpa,AB 3.3 mmol/L,BE-20.9 mmol/L;血生化:葡萄糖28.75 mmol/L,Na+ 124.0 mmol/L,CL- 89.5 mmol/L;β-羟丁酸5.82 mmol/L,肝肾功能未见明显异常;糖化血红蛋白14.1%;C肽0.18ng/mL;抗人胰岛素抗体末见异常;尿液分析:尿糖(++++),尿蛋白(+),尿酮(++++)。余检查如传染病筛查、甲状腺功能五项、肿瘤指标等未见异常;心电图示:①窦性心动过速(114 bpm);②ST-T异常改变;2016年10月30日外院胸部CT示:右肺下叶少量渗出影。床旁胸片提示双侧肺多发炎症,未见有气胸影(图 1)。初步诊断:1.肺部感染;2.糖尿病酮症酸中毒;3.低钠血症;4.左侧腹股沟皮下脓肿。治疗经过:治疗上予哌拉西林/他唑巴坦抗感染、
|
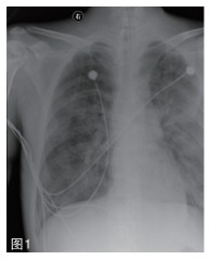
图 1 2016年11月4日床旁胸片提示双侧肺多发炎症,未见有气胸影。 |
补液消酮、胰岛素控制血糖等对症支持治疗。11月3日患者酮症逐渐好转,但酸中毒进行性加重,最重时血气分析:PH 6.822,PCO2 21.4 mmHg,BE -27.7 mmol/L。最高体温39℃,并伴有患者神志改变,烦躁。左侧腹股沟伤口分泌物首次培养回报革兰阴性(G-)杆菌。予行左侧腹股沟伤口脓肿切开引流、气管插管、有创呼吸机辅助通气及床旁血液净化等ICU多脏器功能支持治疗。11月6日,患者血培养及伤口分泌物再次培养回报:类鼻疽伯克霍尔德氏菌(Burkolderia pseud-omallei, BP)。为求进一步明确,请实验室对患者腹股沟分泌物、血培养分离得到的2株细菌进一步鉴定,确认为同一菌种即类鼻疽伯克霍尔德菌。药敏试验仅对头孢他啶及亚胺培南敏感。两次查血G试验均明显升高,结合患者既往有糖尿病病史,不排外存在侵袭性全身真菌感染可能,治疗方案上调整抗生素为亚胺培南+氟康唑。2周后,患者体温逐渐降至正常,左侧腹股沟伤口愈合良好,血气、感染指标及肺部感染情况较前明显好转(如图 3)。给予降阶梯治疗,调整抗生素为头孢他啶1.5g q6h。21日患者突发胸闷、气促,伴大汗。急诊床旁彩超可见左侧胸膜滑动征消失及沙滩征(如图 4),胸片提示左侧大量气胸(压缩约90%)(如图 2)。11月27日再次出现胸闷气促,胸片提示右侧大量气胸(压缩约90%),治疗上予胸腔闭式引流术、肺复张、机械通气、足疗程抗感染、器官功能维持等。复查胸部CT变化(如图 5)。12月12日患者症状好转,成功撤机,拔除气管导管、转出急诊ICU至急诊观察病区。转出诊断:1.左侧腹股沟皮下脓肿;2.脓毒性休克;3.重症肺炎;4.糖尿病酮症酸中毒;5.多器官功能障碍综合征MODS(ARDS、AKI、DIC);6.双侧液气胸。患者与12月24日好转出院。
|
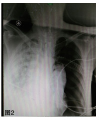
图 2 2016年11月21日床旁胸片提示左侧大量胸腔积气,右肺弥漫性渗出病变。 |
|
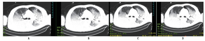
图 3 2016年11月14日胸部CT示:1.双肺弥漫性多发渗出灶;2.左侧胸腔少量气胸,肺组织压缩约5%,继发下叶膨胀不全;3.右侧胸腔少-中量积液,双肺多发肺大泡。 |
|
图 4 2016年11月22日床旁超声提示沙滩征。 |
|
图 5 2016年12月8日复查胸部CT提示:1.左侧液气胸,左肺压缩约70%,右侧胸腔少量积液;2.双肺炎症,较前略有吸收,右侧胸壁皮下气肿。 |
随访:患者与2017年2月来院随诊,一般情况可,未诉特殊不适。
讨论BP所致的人兽共患传染病,流行于热带和亚热带地区[1],特别是澳洲北部,东南亚和我国海南等地[4-5]。该病临床表现多样,有“似百样病”之称,常出现肺部感染、严重脓毒症和脏器脓肿等临床损害,可潜伏感染,也可急性起病,病情进展急进,病程迁延,耐药广泛,复发率高,死亡率高达20~50% [2, 6-7]。类鼻疽主要存在于热带地区的水和土壤中。沾有BP的水和泥土或者气溶胶成为类鼻疽的传染源,经常与土地和水打交道的农民、
海上作业者是其感染的主要对象,另外年老体弱、有糖尿病等免疫功能低下者也容易被感染。类鼻疽发病初期,可出现畏寒、发热、头痛、咳嗽、咳痰、胸痛、腹痛、尿频、尿急、尿痛、骨关节疼痛等非特异性表现,极易误诊,误诊率高达100%[8]。该病例因发热起病,有胸闷气促等不适,当地医院应用抗生素前未行血培养检查,过于依赖影像学结果,考虑社区获得性肺炎,满足于常见病诊断,错误用药,导致病情恶化。最终根据患者长期居住海南,有明确腹股沟皮肤破损病史,且有引起机体免疫力低下的糖尿病病史。发病初仅有局部皮肤感染,随后出现脓毒症、双侧气胸、多脏器功能损害,结合病原学检查明确考虑类鼻疽。
有文献报道BP对亚胺培南、美罗培南、头孢他啶、复方新诺明、哌拉西林/他唑巴坦有高度敏感性[2, 9-12],但由于BP属于细胞内寄生菌,很多药物不能达到细胞内,即使使用敏感的药物,常规剂量也可能会受到影响。而且有文献显示BP具有药物外排泵系统和一些基因编码的A, B和D类β-内酞胺酶等,故对多种抗生素天然耐药,包括氨基糖苷类、β-内酞胺类、大环内酷类和多粘菌素等[13]。因此,对于类鼻疽的治疗,选用合适药物、剂量、疗程都显得至关重要。有文献推荐类鼻疽的治疗应分为初期强化治疗和后期病原菌清除2个治疗阶段[14]。初期强化治疗方案是静脉碳青霉烯类药、头孢他啶或哌拉西林/他唑巴坦至少14d,病情严重者可联合用药;局部脓肿形成应在使用抗生素控制感染同时辅以外科干预或脓肿引流;合并化脓性感染,则应延长强化治疗至6周;病原菌清除治疗可采用口服复方新诺明和(或)四环素,阿莫西林/克拉维酸(儿童和孕妇),治疗周期一般为3~6个月,以防复发。由于该病耐药谱广泛,且易播散,在相应分泌物培养+药敏结果回报前采用经验性治疗常难于覆盖该细菌,故早期容易引起病情恶化进展为脓毒症,严重时可引起脓毒性休克及多器官功能衰竭。本例尽管根据药敏实验结果指导用药,联合腹股沟脓肿切开引流,治疗方案有效,但在病程早期药敏结果回报前,患者已出现多器官功能损害,经对症治疗后病情好转;远期预后有待进一步随诊。急性重症期是否需要联合其他抗菌药物后续治疗,目前研究尚无对照,仍需进一步探索。
类鼻疽临床表现极不典型、耐药谱广泛,易播散、病情凶险、病死率高、极易误诊,多数医务人员不熟知其生物学及形态学特点,因此本文目的是引起医务人员对类鼻疽关注,对于发热患者,尤其有热带、亚热带地区居住史,局部有皮肤或黏膜破损,有引起免疫力低下疾病如糖尿病等的患者,且病情进展迅速,要高度考虑类鼻疽感染的可能。笔者建议应尽快行相应分泌物细菌培养及药敏试验,以便尽早确诊,及时使用有效的药物进行治疗,避免误诊、漏诊。
| [1] |
李俐, 陆振豸, 韩藕儿, 等. 我国类鼻疽流行病学调查[J]. 中华流行病学杂志, 1994(5): 292-295. |
| [2] |
钟有清, 林慧. 海南岛类鼻疽40例患者的临床特征及随访分析[J]. 中华肺部疾病杂志电子版, 2014, 7(2): 55-57. |
| [3] |
金浩承, 陈雪华, 潘珏, 等. 疑难病例析评——第76例发热-干咳-右膝关节肿痛-双侧胸腔积液伴左侧液气胸-类鼻疽伯克霍尔德菌感染[J]. 中华医学杂志, 2005, 85(18): 1287-1289. DOI:10.3760/j:issn:0376-2491.2005.18.021 |
| [4] |
Yang S. Melioidosis research in China[J]. Acta Tropica, 2000, 77(2): 157-165. DOI:10.1016/S0001-706X(00)00139-X |
| [5] |
Fang Y, Chen H, Li L Y, et al. Melioidosis in Hainan, China:a restrospective study[J]. Transactions of the Royal Society of Tropical Medicine & Hygiene, 2015, 109(10): 636. |
| [6] |
Wiersinga W J, Currie B J, Peacock S J. Melioidosis[J]. New England Journal of Medicine, 2012, 367(11): 1035-1044. DOI:10.1056/NEJMra1204699 |
| [7] |
Limmathurotsakul D, Golding N, Dance D A B, et al. Predicted global distribution of Burkholderia pseudomallei and burden of melioidosis[J]. Nature Microbiology, 2016, 1(1): 15008. DOI:10.1038/nmicrobiol.2015.8 |
| [8] |
方瑶, 陈建国, 朱叶飞, 等. 1例输入性类鼻疽病例的溯源分析[J]. 第三军医大学学报, 2016, 38(11): 1224-1225. |
| [9] |
蔡笃运, 贾杰, 吴涛, 等. 类鼻疽假单胞菌肺炎32例临床分析[J]. 中国热带医学, 2006, 6(4): 620-621. |
| [10] |
李金钟. 鼻疽和类鼻疽的实验室诊断研究进展[J]. 中国热带医学, 2008, 8(11): 2048-2051. DOI:10.3969/j.issn.1009-9727.2008.11.093 |
| [11] |
陈永悻, 莫成锦, 程宏宁. 类鼻疽假单胞菌感染22例临床分析[J]. 中国热带医学, 2005, 5(2): 266-267,274. |
| [12] |
Sam I C, See K H, Puthucheary S D. Susceptibility oI Burkholderia pseudomallei to tigecline and other antimicrobials[J]. Diagn Microbiol.infect Dis, 2010, 67(3): 308-309. DOI:10.1016/j.diagmicrobio.2010.02.005 |
| [13] |
Limmathurotsakul D, Peacock SJ. Melioidosis:a clinical overview[J]. Br Med Bull, 2011, 99: 125-139. DOI:10.1093/bmb/ldr007 |
| [14] |
麦文慧, 朱雄, 陈海, 等. 1例类鼻疽伯克霍尔德菌感染复发翠丸脓肿的临床分析[J]. 第三军医大学学报, 2016, 38(11): 1226-1228. |
2017, Vol. 1

