扩展功能
文章信息
- 樊如梦, 徐清霖, 刘娜, 胡兴越, 蔡华英
- 低颅压综合征继发缺血性脑卒中1例报道
- 国际神经病学神经外科学杂志, 2019, 46(3): 310-311
-
文章历史
收稿日期: 2018-10-17
修回日期: 2019-05-04
脑室-腹腔(ventriculo-peritoneal, V-P)分流术过度引流会引起颅内低压,引发颅脑下沉压迫相应动脉,最终导致动脉性缺血性脑卒中。现将我院的1例V-P分流术后,出现低颅压并继发缺血性脑卒中患者报告如下。
1 临床资料患者,男性,15岁,因“右侧肢体麻木无力7小时”于2017年12月9日急诊入院。7 h前患者夜间起床上厕所时感右侧肢体麻木无力,表现为右手持物不能,右下肢拖地行走,未予重视,继续睡觉。次日晨醒后,患者感右侧肢体麻木无力持续存在,遂至本院急诊就诊。
查体:生命体征平稳。神志清,右侧鼻唇沟变浅,右侧口角下垂,伸舌偏右,其余颅神经检查未见异常。左侧肢体肌力5级,右侧肢体肌力4级。右侧偏身浅感觉减退、左侧无殊。闭目难立征阴性,直线行走不能。双侧腱反射对称,右侧巴氏征阳性,左侧巴氏征阴性。
既往:5岁时诊断为“先天性脑积水”行V-P分流术,发病前3周曾更换引流管。个人史、家族史、用药史无殊。
急诊查头颅CT提示“经右额、右颞侧脑室置管。鞍区高密度结节”,诊断为“左侧脑梗死”,予阿司匹林、氯吡格雷联合抗血小板、强化他汀等治疗。
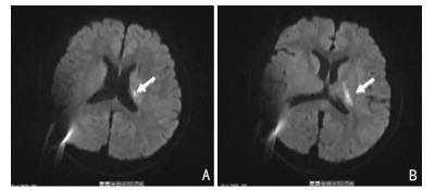
后完善颅脑MR增强+DWI证实左侧基底节区﹣侧脑室体旁新近梗死灶(图 1),同时还显示弥漫性硬脑膜增厚、明显强化,静脉窦扩张稍明显,脑下沉等低颅压影像特征。后行腰椎穿刺发现脑脊液压力15 mm水柱。24小时动态心电图、经食道心超等检查未见心源性栓塞证据。血管评估如主动脉弓及三分叉彩超、颈部CTA、头颅MRA未发现颅内、外大动脉狭窄及动脉夹层等。类风关抗体谱、磷脂综合征抗体、抗核抗体谱、血管炎系列均未见明显异常。颅脑MRV提示颅内静脉未见明显异常。
|
| A、B:提示左侧基底节区-侧脑室体旁新近梗死灶(箭头所示)。 图 1 头颅磁共振DWI序列 |
引起颅内低压的原因有很多,比如自发性脑脊液漏,多源自硬脊膜结构薄弱;此外还有创伤性原因,包括外伤或医源性操作造成脑脊液漏。本例中,V-P分流术后脑脊液的过度引流也是引起低颅压的原因之一[1]。
低颅压的诊断可通过行腰椎穿刺提示脑脊液压力降低(低于60 mm水柱)来明确,该患者脑脊液开放压力为15 mm水柱,远低于正常值。随后对V-P分流装置的测压也证实引流压力低于正常值。头颅增强MRI上的一些特征性改变往往提示低颅压,主要有弥漫性脑膜强化、硬膜下积液、静脉结构充血、垂体增大及脑下垂等[2]。本例中患者头颅增强MRI显示上述若干特征,更加强烈支持低颅压的诊断。
低颅压的并发症主要包括硬膜下积液或血肿、颅内静脉窦血栓、脑疝等。既往的报道中也提示缺血性脑卒中也是低颅压的并发症之一,在低颅压患者中,由于脑组织的下沉会造成相应颅内动脉的扭曲或闭塞,从而引起脑梗死[3]。由于脑组织的下沉在后颅窝位置特别明显,加之后颅窝特殊的血管解剖结构,低颅压并发的脑卒中往往发生在后循环[4]。也有病例报道提示低颅压患者可发生静脉性脑梗死,是由静脉系统代偿扩张、血流瘀滞引起,可同时合并静脉窦血栓[5]。上述既往文献中所报道病例多为自发性颅内低压患者,而本例患者为V-P分流术过度引流引起的继发性颅内低压,目前尚无V-P分流引起的动脉性缺血性脑卒中报道。V-P分流术在置管时可能直接损伤或压迫血管造成脑梗死[5],但本例患者脑梗死发生在术后3周且梗死位置远离置管区域,故不考虑置管本身压迫血管引起。该患者梗死区责任血管为发自大脑后动脉的丘脑下外侧动脉,这也是脑组织下沉后容易引起扭曲或闭塞的血管。同时该患者符合低颅压诊断,且缺血性脑卒中相关病因筛查并无其他明确病因。综上,该青少年患者脑卒中发病机制考虑为V-P过度引流继发颅内低压,引起颅脑下沉压迫相应动脉,最终导致缺血性脑卒中。
该病例提示缺血性动脉性脑卒中是低颅压综合征的少见并发症之一。因此,当低颅压患者突发神经功能缺损时应当考虑缺血性脑卒中的发生。同时应当警惕,V-P分流术后可继发颅内低压,此时要重视继发性低颅压的相关并发症。
| [1] |
Mokri B. Spontaneous low pressure, low CSF volume headaches:spontaneous CSF leaks[J]. Headache, 2013, 53(7): 1034-1053. DOI:10.1111/head.2013.53.issue-7 |
| [2] |
Mokri B. Spontaneous Intracranial Hypotension[J]. Continuum (Minneap Minn), 2015, 21(4 Headache): 1086-1108. |
| [3] |
Matosevic B, Prieschl M, Luef G, et al. Recurrent brainstem infarction caused by spontaneous intracranial hypotension[J]. Cephalalgia, 2016, 36(8): 812-813. DOI:10.1177/0333102415604472 |
| [4] |
Chi NF, Wang SJ, Lirng JF, et al. Transtentorial herniation with cerebral infarction and duret haemorrhage in a patient with spontaneous intracranial hypotension[J]. Cephalalgia, 2007, 27(3): 279-282. DOI:10.1111/j.1468-2982.2007.01259.x |
| [5] |
Bray TJ, Chandrashekar H, Rees J, et al. Venous infarction mimicking a neoplasm in spontaneous intracranial hypotension:an unusual cause of Parinaud's syndrome[J]. J Surg Case Rep, 2016, 2016(3): pii:rjw037. DOI:10.1093/jscr/rjw037 |
2019, Vol. 46



