扩展功能
文章信息
- 刘苗, 张伟, 张静, 赵静霞
- 以新发脑梗死起病的新型隐球菌性脑膜炎1例报道及文献复习
- 国际神经病学神经外科学杂志, 2018, 45(6): 611-613
-
文章历史
收稿日期: 2018-05-04
修回日期: 2018-08-21
患者女,36岁,主因左手、舌左侧麻木3 d,加重伴头痛1 d,于2018-01-05入院。患者于3 d前无明显诱因出现左手、舌左侧麻木,伴乏力,以左上肢乏力为主,未予重视,1 d前症状较前明显加重,伴头痛、言语不利,伴恶心,非喷射性呕吐。既往5年前诊断为“自身免疫性溶血性贫血”,口服“甲泼尼龙片12 mg,每日2次”。无“高血压”“糖尿病”“冠心病”病史,无吸烟饮酒史,无“青年卒中”家族史。
查体:T:36.7℃,贫血貌,巩膜黄染,右上腹轻度压痛,Murphy征阳性,脾脏下缘平脐。神经系统查体:神清,轻度构音障碍,左侧鼻唇沟稍变浅,示齿口角稍右偏,余颅神经查体无定位,左上肢肌力Ⅳ级,右上肢肌力Ⅴ级,双下肢肌力Ⅴ-级。双侧Babinski征阴性。颈软,无抵抗,Kernig征可疑阳性,Brudzinski征阴性。
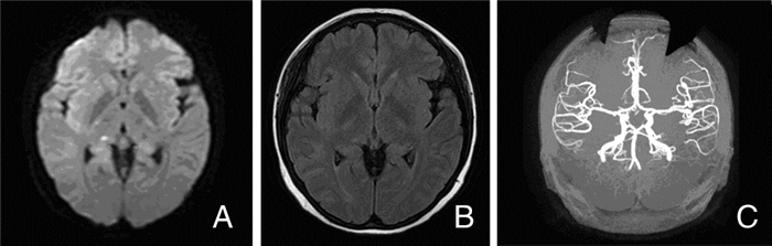
查头颅CT平扫未见异常。头颅MRI+DWI+MRA:右背侧丘脑见小片T1等信号,T2高信号影,DWI呈高信号,边界清,MRA未见异常,考虑右背侧丘脑新发腔隙性脑梗死(图 1)。血常规:WBC:7.06×109/L,Hb:98 g/L,PLT:118×109/L。初步诊断:①脑梗死;②自身免疫性溶血性贫血。予保护神经元、清除自由基及促进侧枝循环建立等治疗。
|
| 图 1 患者入院时MRI图像 注:A:右背侧丘脑见小片椭圆形DWI高信号影;B:病灶于T1呈等信号;C:MRA未见异常 |
入院后第2天患者间断发热,体温波动于36.5℃~38℃,可自行热退,降钙素原0.07 ng/mL,血常规:WBC:2.67×109/L,Hb:77 g/L,PLT:108×109/L。第4天体温达38.9℃,患者精神萎靡,间断发作一过性意识模糊,呼之不应,头痛,恶心,呕吐并出现复视。查体:左眼外展及下视受限,余查体同前。复查血常规:WBC:2.09×109/L,Hb:74 g/L,PLT:89×109/L。降钙素原0.1 ng/mL。凝血功能:凝血酶原时间16.1 s(正常值9.4~12.5 s),凝血酶原活动度57%(正常值80%~160%)。铁蛋白975 ng/mL。胆囊超声:胆囊壁增厚、毛糙,胆囊多发结石。患者发热,有颅内压增高表现,考虑中枢感染,因凝血功能异常,血小板进行性下降,出血风险高,暂缓腰穿。外周血三系血细胞进行性下降,铁蛋白增高,行骨穿:可见噬血细胞,结合腹部超声及Murphy征阳性,补充诊断:①噬血细胞综合征;②胆囊炎。予美罗培南及甲泼尼龙治疗10 d后患者体温正常,右上腹压痛消失,Murphy征阴性,复查血常规:WBC:3.14×109/L,Hb:82 g/L,PLT:107×109/L。骨穿未见明显异常。停用美罗培南,甲泼尼龙逐渐减量,患者精神好转,间断一过性意识丧失,发作时伴右上肢强直震颤,双眼凝视,约10 S后可自行缓解。头痛,为左侧额颞部及左眼眶周疼痛,复视,恶心、呕吐,此时患者凝血功能大致恢复正常,不除外中枢感染,行腰椎穿刺术。脑脊液:压力>330 mmHg,氯109 mmol/L,总蛋白162.07 mg/dL,糖0.85 mg/dL,墨汁染色可见隐球菌,抗酸染色阴性。复查头颅MRI+DWI+SWI+MRA:左侧颞叶、左侧大脑脚多发斑片状及斑点状DWI高、稍高信号影。右侧丘脑斑点状短T1长T2信号,FLAIR高信号影,边界清。双侧大脑半球多发条状FLAIR高信号,SWI、MRA未见异常(图 2)。补充诊断:新型隐球菌性脑膜炎。予氟康唑抗新型隐球菌治疗,甲泼尼龙逐渐减量至12 mg/d,白细胞及血小板计数未见下降,血红蛋白波动于82~95 g/L。氟康唑应用3周后患者未再发作一过性意识丧失,头痛较前好转,复查腰穿,脑脊液墨汁染色仍可见隐球菌,抗酸染色阴性,压力240 mmHg,氯136 mmol/L,总蛋白66.25 mg/dL,糖19.72 mg/dL。后患者继发泌尿系感染,再次发热,出现昏睡,病情恶化,由于经济原因,患者家属放弃治疗出院。其他辅助检查:抗中性粒细胞胞浆抗体阴性,抗链球菌溶血素O阴性,类风湿因子阴性,抗核抗体谱筛查未见异常。抗心磷脂抗体:阴性。血同型半胱氨酸:4.2 μmol/L。梅毒+HIV:阴性。常规心电图及超声心动图未见异常。甲状腺功能及抗甲状腺抗体未见异常。
|
| 图 2 患者2018-01-31的MRI图像 注:A:双侧大脑半球多发条状FLAIR高信号,右侧丘脑斑点状FLAIR高信号影;B:左侧颞叶斑片状DWI高信号影;C:右侧丘脑及两侧基底节区多发斑点状T2高信号影 |
患者青年女性,入院时初步诊断脑梗死,属青年卒中,患者头颅MRA未见异常,抗中性粒细胞胞浆抗体阴性,抗链球菌溶血素O阴性,类风湿因子阴性,抗核抗体谱筛查未见异常。抗心磷脂抗体:阴性。常规心电图及超声心动图未见异常。甲状腺功能及抗甲状腺抗体未见异常。追问病史,无关节肿痛、晨僵,无光过敏、面部红斑,无口腔溃疡,无习惯性流产等病史,因此暂不考虑ANCA相关性小血管炎、系统性红斑狼疮、抗心磷脂抗体综合征及桥本氏甲状腺炎等自身免疫性疾病引起的脑血管炎及家族性遗传病,且暂时除外心源性脑梗死。因此考虑脑梗死的发生与隐球菌感染相关。据报道,非艾滋病相关隐球菌性脑膜炎中合并急性/亚急性脑梗死者发生率仅4%[1],而以卒中样方式起病的新型隐球菌性脑膜炎(cryptococcus neoformans meningitis, CNM)国内尚无报道[2]。
新型隐球菌作为深部真菌,常常累及中枢神经系统,但为条件致病菌,感染大多发生于长期应用激素和免疫抑制剂等免疫功能低下的人群,起病隐匿,呈亚急性或慢性病程,进展缓慢。临床表现为发热、头痛、呕吐、视物模糊和脑膜刺激征阳性,以及脑神经和脑实质损伤症状,如精神症状、性格改变、嗜睡、偏瘫、复视和癫痫等。少数患者可无发热症状。最常见的症状为颅高压。主要影像学表现有VR间隙扩大、胶样假囊、脑膜强化、脑积水、肉芽肿性病变和血管炎等。
VR间隙由Vircbow和Robin最先提出,为小动脉的周围血管间隙,VR间隙扩大是CNM最早出现且最具有特征性的影像学表现,MRI表现为脑实质内点状、圆形或椭圆形异常信号影,边界清,T1呈等或低信号,T2呈高信号,FLALR上呈高信号,DWI弥散受限,增强后无强化,直径多≤3 mm,类似腔隙性脑梗死灶,扩大的VR间隙融合形成胶样假囊。其原理为大量的隐球菌酵母细胞聚集于血管周围间隙引起VR间隙扩大。病原菌代谢产生酸性黏多糖及其他高蛋白含量、高黏稠度代谢产物,使影像表现为FLALR高信号,DWI弥散受限,部分可以阻滞脑脊液的回流,致颅内压增高[3]。CNM致脑梗死的发生多与脑膜炎性渗出累及血管外膜,进而影响整个血管壁,导致全身坏死性动脉炎相关,MRA多有血管炎或狭窄表现[4]。而本例患者MRA未见异常。因此,考虑本患者并未发生脑梗死,而是发生以卒中样方式起病的CNM。
该患者卒中样起病,病情复杂,发热症状被胆囊炎覆盖,并发嗜血细胞综合征,在治疗噬血细胞综合征过程中应用激素加重了隐球菌感染。如可以早期诊断新型隐球菌性脑膜炎,在抗真菌的基础上应用激素或许可以减轻感染病情的进展程度。
新型隐球菌性脑膜炎是中枢神经系统常见的真菌感染,近年来,由于免疫抑制剂、激素和器官移植技术等的大范围应用,非艾滋病相关隐球菌性脑膜炎的发病率逐年增加。其病情易复发,治疗持续时间长,并发症复杂,病死率达62.5%[5]。由于糖皮质激素对典型症状的掩盖,合并其他病原菌感染及原发病的存在,脑膜炎易被忽视。长期接受免疫抑制剂治疗的患者出现神经定位体征及头痛伴呕吐时,要警惕中枢神经系统感染的发生,新型隐球菌感染早期形成VR间隙扩大,酷似新发脑梗死的影像学表现,应注意疾病的鉴别,以期早诊断,早治疗,降低病死率。
| [1] |
陈艳芳.非艾滋病相关隐球菌性脑膜炎并发急性/亚急性脑梗死的临床特点及危险因素分析[D].福建医科大学, 2015, 1-30.
|
| [2] |
Kao CD, Liao KK. A flow chart proposed for early diagnosis of cryptococcal infection as a cause of stroke[J]. Acta Neurol Taiwan, 2009, 18(1): 30-33. |
| [3] |
王月波, 施裕新, 张志勇. AIDS及非AIDS相关新型隐球菌性脑膜脑炎的临床及影像学对照研究[J]. 放射学实践, 2012, 27(9): 932-936. DOI:10.3969/j.issn.1000-0313.2012.09.002 |
| [4] |
徐庆东, 贺光辉, 武娜, 等. 结核性脑膜炎和新型隐球菌性脑膜炎合并脑梗死36例分析[J]. 疑难病杂志, 2010, 9(1): 34-35. DOI:10.3969/j.issn.1671-6450.2010.01.018 |
| [5] |
Lui G, Lee N, Ip M, et al. Cryptococcosis in apparently immunocompetent patients[J]. QJM, 2006, 99(3): 143-151. DOI:10.1093/qjmed/hcl014 |
2018, Vol. 45



