扩展功能
文章信息
- 罗求云, 黄天清
- 疑似为急性脑梗死的颅内静脉窦血栓形成1例报道
- 国际神经病学神经外科学杂志, 2018, 45(3): 298-299
-
文章历史
收稿日期: 2017-11-09
修回日期: 2018-03-29
颅内静脉窦血栓形成(cerebral venous sinus thrombosis, CVST)是一种少见的特殊类型的脑血管疾病,在所有脑血管病中占0.5%~1.0%[1],容易误诊,现对我院收治的1例酷似为急性脑梗死的CVST患者报道如下。
1 病例资料患者,女,35岁,1周前因头痛和咳嗽到当地县医院住院,按“感冒”治疗无好转,6 h前在起床时发现左侧肢体偏瘫,于2017年7月9日入我院。
既往史:平时月经不规则,发现“卵巢多发囊肿”5年,间断服用“黄体酮和炔雌醇环丙孕酮片”。
查体:四测正常;心肺腹部查体无异常;左侧上下肢痛触觉减退,肌力0级,肌张力低、腱反射减弱,右侧上下肢查体正常,病理征阴性。
血和尿常规、肝肾功能、心肌酶学和电解质均正常,血浆D-二聚体0.75 μg/ml(正常值<0.5 μg/ml)。
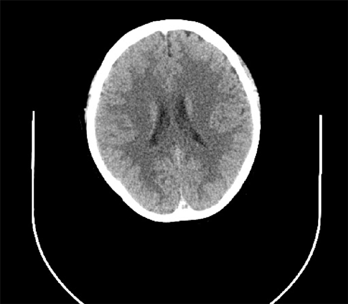
心电图、头部CT血管成像(CTA)和CT平扫均未见异常(图 1、图 2)。
|
| 图 1 2017年7月9日头部CT平扫未见异常 |
|
| 图 2 2017年7月9日头部CT血管成像未见异常 |
入院诊断:急性脑梗死(右侧大脑半球)?
入院后予阿司匹林0.1 g/d、瑞舒伐他汀10 mg/d口服以及对症支持治疗。当晚患者出现全身抽搐,伴双眼上翻、牙关紧闭、口吐白沫和意识丧失,抽搐持续约1 min后停止,意识逐渐转清醒。颅脑MRI+MRV见双侧额叶呈高信号,广泛静脉窦血栓形成(图 3、图 4)。腰穿脑脊液压力350 mmH2O,颜色清亮,Pandy试验阳性,细胞总数1002×106/L,白细胞2×106/L,总蛋白544 mg/L,余均正常。诊断为CVST。用低分子肝素钠5000 U皮下注射,一天两次,病情逐日好转,3 d后左侧肢体肌力恢复至3级,5 d后恢复至5级。1周后加用华法林2.5 mg/d口服,复查腰穿脑脊液压力为250 mmH2O,颜色清亮,Pandy试验阳性,细胞总数2×106/L,白细胞1×106/L,总蛋白474 mg/L,余均正常。2周后复查颅脑MRI+MRV见静脉窦血栓减少(图 5、图 6)。患者于2017年8月1日出院,出院后随访2月,病情无复发。
|
| 图 3 2017年7月9日MRV示上矢状窦、右侧横窦及乙状窦广泛静脉窦血栓形成(箭头所示) |
|
| 图 4 2017年7月9日MRI示双侧额顶叶中线旁脑实质肿胀(箭头所示) |
|
| 图 5 2017年7月22日MRV示上矢状窦、右侧横窦及乙状窦血栓形成较前好转(箭头所示) |
|
| 图 6 2017年7月22日MRI示双侧额顶叶中线旁脑实质肿胀较前好转(箭头所示) |
CVST好发于青年女性患者,可能与女性服用激素或避孕药物等因素有关,西方国家有1/3的育龄期女性患者服用过避孕药,约占所有CVST患者的1/2[2]。CVST临床表现多样,头痛最常见,约70%~90%的患者存在头痛[3, 4],约44%的患者可有癫痫发作[5],尤其是产褥期CVST患者癫痫发作率达76%,约40%~60%的患者可出现偏瘫和偏盲等神经功能缺损症状,部分危重患者可出现意识障碍、昏迷或死亡。本例患者以头痛和咳嗽等“感冒”症状起病,1周后突发左侧肢体偏瘫,颅脑CT平扫未见异常,疑似急性脑梗死,随后出现抽搐和意识障碍等表现,根据患者有服用雌孕激素史,机体存在血液高凝状态,高度怀疑CVST,及时做了颅脑MRV检查,最后证实为CVST。
CVST可使局部脑组织静脉回流受阻而引起脑组织缺血缺氧,甚至坏死或出血,从而导致局灶性或全脑性神经功能缺损症状。本例患者先后出现了头痛、偏瘫、抽搐和意识障碍等症状,从整个病程表现来看,比较符合典型的CVST,但开始的表现却酷似急性脑梗死,造成误诊。CVST的检查主要有脑脊液和影像学检查,脑脊液压力增高常为CVST诊断提供重要线索,CT和MRI平扫由于其阳性率及特异性不高,容易误诊,故不是诊断CVST的可靠检查手段。当CT及MRI平扫正常而脑脊液压力增高,应高度怀疑CVST,需及时做MRV检查。MRV检查可直接发现静脉窦充盈缺损或流空影。有文献报道MRI联合MRV检查阳性率达90%[6]。因此,常作为CVST的首选检查方法。CVST的治疗主要包括病因和抗凝治疗,目前国内外公认CVST的一线治疗是抗凝治疗[7],对于无禁忌证的患者,应尽早抗凝,本例按此方案治疗效果较好。
通过这个病例提醒我们,对于育龄妇女,有服用避孕药物史,无脑血管危险因素,出现头痛、偏瘫和抽搐等症状,颅脑CT或MRI平扫未见异常,或治疗效果差,应高度警惕CVST可能,尽早做颅脑MRV检查,早确诊,早治疗,从而改善预后。
| [1] |
Bousser MG, Ferro JM. Cerebral venous thrombosis:an update[J]. Lancet Neurol, 2007, 6: 162-170. DOI:10.1016/S1474-4422(07)70029-7 |
| [2] |
Zuurbier SM, Middeldorp S, Stam J, et al. Sex differences in cerebral venous thrombosis:a systematic analysis of a shift over time[J]. Int J Stroke, 2016, 11(2): 164-170. DOI:10.1177/1747493015620708 |
| [3] |
彭圣威, 李子孝, 宋田, 等. 脑静脉窦血栓的预后影响因素分析:155例病例回顾性研究[J]. 中国卒中杂志, 2015, 10(7): 563-567. |
| [4] |
唐宇凤, 张杉杉, 张芸, 等. 颅内静脉窦血栓形成的临床分析[J]. 华西医学, 2015, 30(10): 1849-1852. DOI:10.7507/1002-0179.20150532 |
| [5] |
Masuhr F, Busch M, Amberger N, et al. Risk and predictors of early epileptic seizures in acute cerebral venous and sinus thrombosis[J]. Eur J Neurol, 2006, 13(8): 852-856. DOI:10.1111/ene.2006.13.issue-8 |
| [6] |
傅建辉, 耿昌明, 洪震, 等. 脑静脉窦血栓形成16例临床分析[J]. 复旦大学(医学版), 2006, 33(2): 254-256. |
| [7] |
中华医学会神经病学分会脑血管学组卒中诊治指南编写组. 中国颅内静脉系统血栓形成诊断和治疗指南[J]. 中华神经科杂志, 2012, 45(11): 818-823. DOI:10.3760/cma.j.issn.1006-7876.2012.11.012 |
2018, Vol. 45



