扩展功能
文章信息
- 曹明, 徐培坤
- 多次复发颅内孤立性纤维瘤1例
- 国际神经病学神经外科学杂志, 2017, 44(5): 534-535
-
文章历史
收稿日期: 2017-03-13
修回日期: 2017-07-24
病例:患者男,26岁,因头晕头痛不适于2011年11月初次就诊,查体无异常,头部MRI提示右额叶囊实性异常信号。术中见肿瘤灰黄色,质地不均,伴有囊变,囊液黄色,完整切除病灶。术后病理倾向于孤立性纤维瘤,免疫组化:GFAP(-), Syn(-)bcl-2(+), ki-67(10%), Vim(+), EMA(+), HMB45(-), CK(-), S-100(-), CgA(-), Des(-)。
患者因头痛伴视力模糊一周余于2015年7月再次就诊,复查头颅MRI提示右额叶异常信号,考虑孤立性纤维瘤术后复发;右侧额颞部异常信号,考虑脑膜瘤。术中见额叶病变呈灰红色,伴有囊变,囊液黄色,完整切除病变;见额颞部病变基底位于凸面硬膜,边界尚清,完整切除病变。术后病理提示(右侧额叶、顶叶、颞叶)梭形细胞肿瘤,倾向于孤立性纤维腺瘤。患者因头痛头昏伴四肢乏力20余天于2016年11月就诊,查体无异常,头颅MRI提示右颞叶异常信号。再次手术术中见肿瘤肉红色,分叶状,向皮层嵌顿生长,广基粘连于大脑凸面硬膜上,连同侵蚀硬膜完整切除肿瘤。术后病理提示(右额颞叶)梭形细胞肿瘤, 免疫组化:BcL-2(+), CD34(-), Ki-67(+, 约30%), Vim(+), GFAP(-), S-100(灶+),SMA(-), EMA(-), CD99(+), PR(+/-), 符合孤立性纤维性肿瘤(WHOIII级)。
|
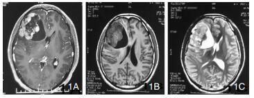
| 图 1 示第一次术前MRI |
|
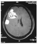
| 图 2 示第一次术后MRI |
|
| 图 3 示第二次术前MRI |
|
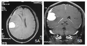
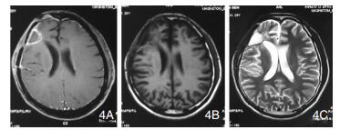
| 图 4 第二次术后MRI |
|
| 图 5 示第三次术前MRI |
讨论:2007年WHO中枢神经系统肿瘤分类将颅内孤立性纤维瘤归为脑膜组织肿瘤中的间叶肿瘤[1],而2016年新分类将其单独划为间叶性非脑膜上皮性肿瘤[2],但国内外关于颅内孤立性纤维瘤多为个案报道,因此关于孤立性纤维瘤的诊治研究尚需进一步研究[3]。
本病例报道显示肿瘤在头颅MRI上为平扫T1WI呈等、低信号,T2WI呈等、低及混杂信号,伴囊变及周围水肿,有占位效应,增强扫描显示肿瘤实质部分强化明显,囊性部分边缘稍强化,有脑膜尾征。戴旖等[4]收集的8例颅内孤立性纤维瘤报道中,其MRI表现T1WI呈等、稍高信号,T2WI呈等、低或稍高信号,增强扫描呈均匀或不均匀明显强化,可见脑膜尾征,与脑膜瘤鉴别较难。因本病例及其他较多病例术前MRI提示脑膜瘤可能,影像学检查特异性不大,提示孤立性纤维瘤依靠病理诊断。有文献[5, 6]表明孤立性纤维瘤病理结果有细胞稀疏区与丰富区交替分布的特殊表现,同时CD34、bcl、CD-99及Vim多呈阳性。也有文献[7]报道称STAT6可成为孤立性纤维瘤的特异性标志物,在与脑膜瘤、神经鞘瘤的病理诊断与鉴别上有重大意义。一些文献报道[6, 8]称首次手术完全切除肿瘤可减少复发几率,但也存在手术全切后复发,说明肿瘤复发与其良恶程度密切相关,陈广业等[5]及Schluz等[9]较少文献报道了肿瘤恶性程度与复发的相关性,但无明确的检查指标提示肿瘤复发的可能性大小。同时由于肿瘤大小、部位、与周围静脉及神经的关系等可能较为复杂,肿瘤不一定能完全切除,也会提高肿瘤复发的几率。因此需要考虑手术及其它进一步治疗方案,如手术联合放射治疗等,有文献[10, 11]报道称肿瘤次全切除及辅助放射治疗后,随访发现放疗术野肿瘤未见进展,但无大宗病例的支持。也有文献[12]报道称孤立性纤维瘤行γ-刀后可维持肿瘤长时间无进展,但最终肿瘤较前有增大并再次行放射治疗。因此孤立性纤维瘤治疗方式的组合选择仍有待进一步研究。
| [1] |
Louis DN, Ohgaki H, Wiesler OD, et al. The 2007 WHO classification of tumors of the central nervous system[J]. Acta Neumpathol, 2007, 114(1): 97. |
| [2] |
David N, Louis, Arie Perry, Guido Reifenberger, et al. The 2016 WHO classification of tumors of the central nervous system:a summar[J]. Acta Neumpathol, 2016, 131(6): 803-820. DOI:10.1007/s00401-016-1545-1 |
| [3] |
蒋念, 谢源阳. 中枢神经系统孤立性纤维瘤的诊疗进展[J]. 国际神经病学神经外科学杂志, 2015, 42(6): 560-564. |
| [4] |
戴旖, 龙莉玲, 叶伟. 颅内孤立性纤维的MRI表现[J]. 放射实践学, 2015, 3(2): 127-130. |
| [5] |
陈广业, 马强, 朱鸿静, 等. 恶性孤立性纤维瘤9例临床病理观察[J]. 临床与病理杂志, 2015, 35(12): 2121-2127. DOI:10.3978/j.issn.2095-6959.2015.12.022 |
| [6] |
方泽鲁, 郭卫超, 关键恒, 等. 颅内孤立性纤维瘤13例[J]. 中国老年杂志, 2015(35): 808-809. |
| [7] |
张夏玲, 程海霞, 包芸等. STAT6免疫组织化学染色在孤立性纤维瘤/脑膜血管外皮瘤诊断中的应用价值探讨[J]. 2016, 45(2): 97-101. http://d.wanfangdata.com.cn/Periodical/zhblx201602007
|
| [8] |
韩庆东, 张华楸, 陈劲草. 颅内孤立性纤维瘤的显微外科治疗[J]. 临床外科杂志, 2014, 22(6): 441-443. |
| [9] |
Schulz B, mtendorf-Hofmann A, Kirchner T, et al. Loss of CD34 and high IGF2 are associated with malignant transformation in solitary fibrous tumors[J]. Pathol Res Pratt, 2014, 210(2): 92-97. DOI:10.1016/j.prp.2013.11.006 |
| [10] |
Vassal F, Manet R, Forest F, et al. Solitary fibrous tumor of the central nervous system:report of five cases with unusual clinicopathological and outcome patterns[J]. Acta Neurochir(Wien), 2011, 153(3): 377-384. |
| [11] |
Sahai P, Singh G, Mondal D, et al. Solitary fibrous tumor of the sellar region treated with adjuvant radiation therapy[J]. Asian J Neurosurg, 2016, 11(4): 449. DOI:10.4103/1793-5482.145186 |
| [12] |
Reames DL, Mohila CA, Sheehan JP. Treatment of incranial solitary fibrous tumors with gamma knife radiosurgery:report of two cases and review of literatutre[J]. Neurosurgery, 2011, 69(4): E1023-1028. DOI:10.1227/NEU.0b013e318223b7e6 |
2017, Vol. 44


