扩展功能
文章信息
- 刘天龙, 方明, 刘维洲
- 孤立性一侧前核间性眼肌麻痹1例报道
- 国际神经病学神经外科学杂志, 2015, 42(5): 444-445
-
文章历史
- 收稿日期: 2015-08-31
- 修回日期: 2015-10-28
前核间性眼肌麻痹是由于脑干内侧纵束病变引起的一种眼球特异性运动障碍。内侧纵束病变引起的孤立性一侧前核间性眼肌麻痹的病例少见,现报告如下。
1 临床资料患者,男,61岁。因“突发视物成双伴头晕1 d”于2015年5月10日入院。患者5月9日21时在看电视时突然出现视物成双,伴头晕,无视物旋转、双眼黑蒙,症状持续不能缓解,无发热、咳嗽咳痰、腹痛腹泻,无意识障碍、头痛、恶心呕吐、耳鸣耳聋、饮水呛咳,无四肢乏力、抽搐、麻木,精神欠佳,饮食、睡眠可,二便正常。
既往有高血压病史3年余,未治疗;痛风病史10余年,近2年未服药。既往无糖尿病史,否认吸烟、饮酒。
内科查体:T:36 ℃,P 70次/分,R 20次/分,BP 170/85 mmHg,皮肤黏膜无黄染,全身浅表淋巴结未触及,双肺呼吸音清,未闻及明显干湿啰音,心率 70次/分,律齐,未闻及明显杂音,腹软,肝脾肋下未见,双下肢无水肿。
神经系统检查:神清,双侧瞳孔等大等圆,双眼向右侧注视时,左眼内收不全,右眼外展正常,伴右眼水平眼震,向左侧注视时眼球运动正常,调节反射正常,余神经系统查体未见明显异常。
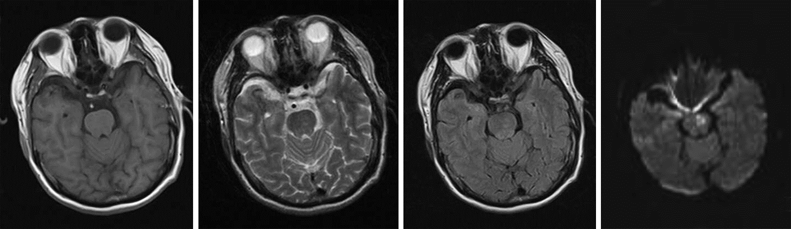
入院辅助检查:血尿便常规、肝功能、凝血功能、血沉、超敏CRP、RF、ASO、输血常规未见明显异常。尿酸 584.0 μmol/L;甘油三酯 1.83 mmol/L。心电图、心脏彩超、颈部血管彩超未见明显异常。MRI显示脑桥上段左侧腔梗灶。DWI显示脑桥上段左侧急性梗死(图 1)。MRA未见明显血管狭窄(图 2)。诊断:脑干梗死,高血压病,痛风。
|
| 图 1 患者头颅MRI。A:T1加权像显示脑桥上段中线左侧稍长T1信号;B:T2加权像显示脑桥上段中线左侧稍长T2信号;C:FLAIR显示脑桥上段中线左侧稍高信号;D:DWI显示脑桥上段中线左侧高信号。 |
|
| 图 2 患者头MRA未见明显血管狭窄。 |
入院后予以抗血小板聚集、调脂、改善循环、神经保护等对症处理,入院第二天患者视物成双、头晕症状消失。住院13 d后出院,服用阿司匹林肠溶片 100 mg(每日一次),瑞舒伐他汀 10 mg(每日一次)。2周后随访,患者无视物成双、头晕等不适。
2 讨论内侧纵束起于中脑最前部的内侧纵束核、间质核和网状结构,紧靠中线两侧,向下一直到达颈上段脊髓,是眼球水平性同向运动的重要联络通路,它连接一侧动眼神经的内直肌核和对侧展神经核,同时还与脑桥侧视中枢相连,而实现眼球的水平同向运动。神经冲动通过内侧纵束前部到达内直肌核,而通过内侧纵束后部到达外展神经核。内侧纵束病变临床表现可分为前核间性眼肌麻痹、后核间性眼肌麻痹和一个半综合征。其中前核间性眼肌麻痹病变位于脑桥侧视中枢与动眼神经核之间的内侧纵束上行纤维,表现为两眼向病变对侧注视时,病变侧眼球不能内收,外展眼有眼球震颤。典型的前核间性眼肌麻痹其外展眼出现单眼的水平性眼球震颤或双眼眼球震颤而以外展眼为明显,称为分离性眼球震颤。由于支配内聚的核上通路位置平面高些而未受损,典型的前核间性眼肌麻痹调节反射正常。调节反射障碍者,认为是因病变累及中脑四叠体上丘平面的内侧纵束多波及动眼神经该中的Pelia氏核所致。
据文献报导,一侧性前核间性眼肌麻痹多见于脑干血管性疾患,也多见于多发性硬化、脑干炎症和脑干肿瘤。Keane[1]统计了410例核间性眼肌麻痹患者,其中157例由梗死造成。张文萃[2]对120例前核间性眼肌麻痹患者进行病因统计发现,脑桥出血4例,基底动脉或其分支闭塞72例,多发性硬化16例,脑桥肿瘤8例,脑桥炎症7例,其他病因13例。核间性眼肌麻痹可为脑干背侧梗死的主要症状,也可为唯一症状,发病机制可能为:①由于脂质透明样变或纤维玻璃样变所引起的穿支动脉终末部分病变,即TOAST分型中的腔隙性脑梗死;②主干动脉分出穿支动脉入口处发生动脉粥样硬化病变,引起管腔狭窄或闭塞[3]。高血压是腔隙性脑梗死的直接原因,糖尿病、脂代谢障碍亦可引起本病,糖尿病引起的微血管病变及血液高凝状态是腔隙性脑梗死的独立危险因素[3]。孤立性一侧前核间性眼肌麻痹临床少见,多为个案报道,临床恢复较快[4]。孙奉辉等[5]报道一例头颅 MRI明确脑桥背部偏左侧内侧纵束梗死引起的前核间性眼肌麻痹患者,治疗一周后症状明显好转。本例患者临床表现双眼向右侧注视时,左眼内收不全,右眼外展正常,伴右眼水平眼震,向左侧注视时眼球运动正常,辐辏反射正常,符合前核间性眼肌麻痹,头颅 MRI 检查显示脑桥与中脑交界处背侧中线偏左侧可见稍长T1、T2,FLAIR高信号,DWI高信号,结合症状、体征和头颅MRI 检查结果,诊断急性脑干梗死(前核间性眼肌麻痹)。患者既往有高血压病史,未规律治疗,辅助检查见血脂升高,高血压病、血脂异常为主要危险因素,引起脂质透明样变或纤维玻璃样变导致穿支动脉闭塞。患者治疗上予以抗血小板聚集、调脂、改善循环和神经保护等处理,症状迅速好转。
| [1] | Keane JR. Internuclear ophthalmoplegia: unusual causes in 114 of 410 patients. Arch Neurol, 2005, 62(5): 714-717. |
| [2] | 张文萃.前核间性眼肌麻痹120例分析.中风与神经疾病杂志, 1985, 2(1): 19-20. |
| [3] | 韩西娟,贾建平,孙永馨.腔隙性脑梗死与分支动脉粥样硬化病.临床神经病学杂志, 2015, 28(2): 146-148. |
| [4] | 詹细平,吴志忠.孤立性内侧纵束梗死1例报告.中国神经精神疾病杂志, 2013, 39(10): 623; 629; 633. |
| [5] | 孙奉辉,胡文立.前核间性眼肌麻痹伴旋转性眼震一例.中华老年心脑血管病杂志, 2008, 10(9): 715. |
2015, Vol. 42
