2. 225001 扬州, 江苏省苏北人民医院核医学科
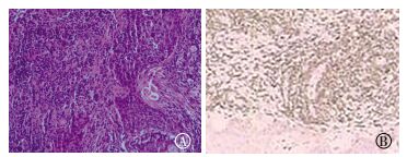
患者男性,48岁,两年前面部出现皮疹伴瘙痒,无发热,于当地皮肤科多次治疗后均未见明显好转。2016年3月因意外摔伤导致面部皮损、红肿,遂于南京皮肤研究所诊治,诊断为银屑病,予软膏外敷治疗后仍未见好转。该患者在治疗前签署了知情同意书,并且该研究获得了江苏省苏北人民医院伦理委员会的批准。2016年11月于本院皮肤科就诊,取皮肤活检,组织病理学结果表现为真皮全层及皮下脂肪内结节性或弥漫性中等及较大多形性淋巴样细胞浸润;结合苏木精-伊红染色法形态及免疫组化结果,首先考虑T细胞淋巴瘤,部分有亲毛囊现象,部分区域伴反应性B细胞增生。该患者后经复旦大学附属肿瘤医院确诊为(面部皮损,活检)外周T细胞淋巴瘤-非特指型(peripheral T-cell lymphomas-unspecified, PTCL-U)(图 1)。EB病毒编码的小RNA原位杂交检测结果为阴性,提示无人类疱疹病毒4型感染。随后进行PET/CT检查。采用GE Discovery VCT型PET/CT仪,其中CT为64排螺旋CT,显像剂为18F-FDG(上海原子科兴药业有限公司),放化纯度>95%。患者检查前禁食6 h以上,血糖控制在7.0 mmol/L以下。经静脉注射18F-FDG 3.70~5.55 MBq/kg,患者静卧45~70 min,期间约间隔15 min饮水一次,患者检查前大量饮水充盈胃腔并排空膀胱,扫描包括平静呼吸下CT扫描和PET采集。检查时患者双臂上举,先行螺旋CT扫描,扫描范围为眼眶中下缘至股骨中上段,管电压120 kV,管电流130 mA,层厚3.75 mm,在同一范围进行PET扫描,PET扫描采用三维采集模式,采集6~8个床位,采集时间为2 min/床位。头部单独用三维模式扫描一个床位,采集时间为4 min,管电压120 kV,管电流300 mA,层厚为3.75 mm。利用CT扫描数据对PET图像进行衰减校正,用迭代重建有序子集最大期望值法进行PET图像重建。患者于全身扫描后行胸部屏气螺旋CT扫描,管电压120 kV,管电流200 mA,层厚2.5 mm,重建层厚1.25 mm。将CT和PET图像传输至Xeleris工作站进行图像自动对位融合。PET/CT检查结果显示:面部、颈部、左腋窝皮下软组织不均匀增厚伴18F-FDG代谢弥漫性异常增高(尤以面中央部及左眼部最为显著),双侧颌下、胸锁乳突肌内侧及颈后区多发淋巴结伴18F-FDG代谢异常增高,结合病史,考虑为淋巴瘤浸润(图 2)。
|
图 1 患者男性,48岁,(面部皮损,活检)外周T细胞淋巴瘤-非特指型病理图(苏木精-伊红染色,×100)及免疫组化染色图(×100) 图中,A:组织被覆鳞状上皮,于真皮全层及皮下组织内见致密的结节性或弥漫性浸润的异型淋巴细胞样细胞,细胞多形,中至大,染色质粗,核形多样,可见圆核、扭曲核,核分裂象多,小血管增多,内皮细胞肥大,未见亲表皮现象。B:患者免疫组化染色结果示肿瘤细胞CD3阳性表达。 |
|
图 2 患者男性,48岁,面部外周T细胞淋巴瘤18F-FDG PET/CT显像图。图中,A~C:CT、PET、PET/CT融合显像的横断位、冠状位、矢状位显像图;十字交叉示病灶。18F-FDG PET/CT显像示面部、颈部皮下软组织不均匀增厚伴放射性摄取异常增高,尤以面中央部及左眼部较为显著,病灶较厚部达1.66 cm,SUVmax为5.24。 |
PTCL-U临床较少见,属于结外非霍奇金淋巴瘤,在所有皮肤T细胞淋巴瘤中仅占10%,临床多表现为四肢、头面部及躯干等部位的慢性复发性皮肤损害,皮损多为反复出现的丘疹、红斑及结节,部分病灶发展为大小不等的局限性皮下肿块,病灶表面可形成溃疡。在18F-FDG PET/CT显像上,PTCL-U早期表现为浸润皮肤浅层的18F-FDG代谢异常增高灶,病变进展时可累及皮肤原发灶以外的组织器官,以病灶邻近的淋巴结最为常见,其次病变侵犯胃肠道、鼻咽部、扁桃体、肝、脾等器官,晚期患者常出现骨髓浸润[1]。本病例所示,皮肤淋巴瘤在确诊之前往往有数月或数年皮肤病变存在,预后与淋巴瘤累及程度相关。本病例18F-FDG代谢较高,SUVmax为5.24,淋巴瘤浸润面部、颈部、左腋窝皮下软组织、双侧颌下、胸锁乳突肌内侧及颈后区多发淋巴结,面部、颈部、左腋窝皮下软组织不均匀增厚,未见结节及软组织肿瘤形成,均未见钙化表现,缺乏特征性影像学表现。该患者确诊后至2017年7月已行6个疗程化疗,随访该患者状态较好、面部皮损及红肿病灶均已消失,仅残留少许小粉刺样病灶。
淋巴瘤是全身性疾病,而CT、MRI及超声等影像学方法均属于形态学检查,对淋巴瘤的诊断存在局限性。随着18F-FDG PET/CT显像的广泛应用,其在淋巴瘤的诊断、分期、疗效评估、治疗后再分期、预后判断、淋巴瘤的复发检测等方面均体现出较大的临床价值[2-3]。PET/CT显像可以对患者全身情况进行全面综合评估,发现早期隐匿性病灶,能更准确地指导临床分期和治疗方案的选择。Feeney等[4]研究发现,90% T细胞淋巴瘤18F-FDG代谢异常增高,约30%的隐匿病灶因行PET/CT检查而被发现。华逢春等[5]研究12例皮肤淋巴瘤患者18F-FDG PET/CT显像结果发现,10例分期及再分期的患者中,PET/CT显像使2例患者的分期上调。
PTCL-U需与皮肤癌、皮肤转移癌、皮肤结核、皮肌炎及皮肤炎性病变等进行鉴别诊断。皮肤癌发生于机体肉眼可见的最表层,病理检查确诊容易[6],PET/CT检查的意义在于确定病灶的大小、累及范围及判断远处转移情况,进行更准确的临床分期。皮肤转移癌患者多为恶性肿瘤晚期,18F-FDG PET/CT可发现肿瘤原发灶及其他部位的转移灶,多伴有相关肿瘤标志物升高,恶性肿瘤向皮肤转移最多来源于乳腺癌,其次为胃癌、肠癌及肺癌等[6]。皮肤结核多继发于肺部结核,年轻人较多见,通常无肿瘤标志物升高,有发热、盗汗、体重减轻、乏力、血红细胞沉降率上升、结核菌素试验强阳性、结核感染T淋巴细胞斑点试验阳性等临床表现,部分结核可表现为全身性结核,18F-FDG PET/CT全身显像对全身性结核等感染性疾病诊断及治疗亦有重要临床价值。18F-FDG为非特异性肿瘤显像的葡萄糖代谢示踪剂,良性病变可有18F-FDG摄取不均匀增高[7],可通过能量代谢活跃的炎性细胞反应局部或全身的感染性病变,活动性结核是18F-FDG最常见的高摄取病变,结核的阳性摄取有时与肿瘤病变相鉴别较困难[8-9],对于不典型病例,最终诊断必须依据活检病理确诊。皮肌炎等风湿患者通常有多脏器(肺、肾及造血系统)损害伴自身抗体阳性,进行18F-FDG PET/CT检查主要是诊断患者全身有无恶性肿瘤,因皮肌炎表现可能是非霍奇金淋巴瘤或其他恶性肿瘤引起的副肿瘤综合征[10],在炎症活动期,皮肤病灶18F-FDG代谢增高,18F-FDG PET/CT检查可显示病灶浸润范围及程度,对于风湿科判断病变风险有临床价值。皮肤炎性病变患者通常有发热、白细胞升高、血红细胞沉降率升高等临床表现。如果诊断困难,可对皮肤高代谢灶活检确诊。原发性皮肤淋巴瘤缺乏特征性影像学表现,最终确诊必须依靠组织病理学检查。
利益冲突 本研究由署名作者按以下贡献声明独立开展,不涉及任何利益冲突。
作者贡献声明 段钰负责命题的设计、论文的撰写;邓小虎负责病例随访及查阅文献等;徐迟峰负责扫描图像的编辑整理;周海中负责论文审阅与指导。
| [1] |
丁义, 黄盛才, 秦朝军, 等.
原发性皮肤T细胞淋巴瘤-非特指型18F-FDG PET/CT显像一例[J]. 中华核医学与分子影像杂志, 2017, 37(6): 357–358.
DOI:10.3760/cma.j.issn.2095-2848.2017.06.009 Ding Y, Huang SC, Qin ZJ, et al. 18F-FDG PET/CT imaging of a case of primary cutaneous T-cell lymphoma-unspecified[J]. Chin J Nucl Med Mol Imaging, 2017, 37(6): 357–358. DOI:10.3760/cma.j.issn.2095-2848.2017.06.009 |
| [2] |
吴湖炳, 王全师, 王明芳, 等.
18F-FDG PET/CT在自然杀伤/T细胞淋巴瘤显像诊断及分期中的应用[J]. 中华核医学杂志, 2010, 30(1): 19–22.
DOI:10.3760/cma.j.issn.0253-9780.2010.01.005 Wu HB, Wang QS, Wang MF, et al. The value of 18F-FDG PET/CT on the detection and staging of natural killer/T cell lymphomas[J]. Chin J NuclMed, 2010, 30(1): 19–22. DOI:10.3760/cma.j.issn.0253-9780.2010.01.005 |
| [3] |
丁重阳, 李天女, 孙晋, 等.
18F-FDG PET/CT在滤泡性淋巴瘤分期及疗效评价中的临床价值[J]. 中华核医学与分子影像杂志, 2014, 34(3): 179–182.
DOI:10.3760/cma.j.issn.2095-2848.2014.03.005 Ding CY, Li TN, Sun J, et al. Clinical value of 18F-FDG PET/CT in clinical staging and therapeutic evaluation of follicular lymphoma[J]. Chin J Nucl Med Mol Imaging, 2014, 34(3): 179–182. DOI:10.3760/cma.j.issn.2095-2848.2014.03.005 |
| [4] | Feeney J, Horwitz S, Gönen M, et al. Characterization of T-cell lymphomas by FDG PET/CT[J]. AJR Am J Roentgenol, 2010, 195(2): 333–340. DOI:10.2214/AJR.09.3665 |
| [5] |
华逢春, 冯晓源, 张慧玮, 等.
18F-FDG PET/CT在皮肤淋巴瘤中的初步应用[J]. 上海医学影像, 2010, 19(2): 81–83.
Hua FC, Feng XY, Zhuang HW, et al. Preliminary application of 18F-FDG PET/CT in cutaneous lymphoma[J]. Shanghai Med Imaging, 2010, 19(2): 81–83. |
| [6] |
赵辨.
临床皮肤病学[M]. 南京: 江苏科学技术出版社, 2001: 1224-1246.
Zhao B. Clinical Dermatology[M]. Nanjing: Jiangsu Science and technology Press, 2001: 1224-1246. |
| [7] |
丁其勇, 陈建伟, 张清波, 等.
肺部良性结节样病变18F-FDG摄取不均匀性的特点分析[J]. 国际放射医学核医学杂志, 2013, 37(3): 168–171.
DOI:10.3760/cma.j.issn.1673-4114.2013.03.010 Ding QY, Chen JW, Zhang QB, et al. 18F-FDG uptake nonuniform characteristics in pulmonary benign nodules[J]. Int J Radiat Med Nucl Med, 2013, 37(3): 168–171. DOI:10.3760/cma.j.issn.1673-4114.2013.03.010 |
| [8] |
段钰, 吴晶涛, 徐迟峰.
结核性胸膜炎及腹膜炎PET/CT显像一例[J]. 中华放射学杂志, 2013, 47(9): 859–860.
DOI:10.3760/cma.j.issn.1005-1201.2013.09.032 Duan Y, Wu JT, Xu CF. A case report:tuberculous pleurisy and peritonitis PET-CT imaging[J]. Chin J Radiol, 2013, 47(9): 859–860. DOI:10.3760/cma.j.issn.1005-1201.2013.09.032 |
| [9] |
段钰, 徐迟峰, 赵增鹏.
胰腺结核18F-FDG PET/CT显像一例[J]. 中华核医学与分子影像杂志, 2017, 37(4): 230–231.
DOI:10.3760/cma.j.issn.2095-2848.2017.04.009 Duan Y, Xu CF, Zhao ZP. PET/CT imaging on a case of pancreatic tuberculosis[J]. Chin J Nucl Med Mol Imaging, 2017, 37(4): 230–231. DOI:10.3760/cma.j.issn.2095-2848.2017.04.009 |
| [10] | Buchbinder R, Forbes A, Hall S, et al. Incidence of malignant disease in biopsy-proven inflammatory myopathy A population-based cohort study[J]. Ann Intern Med, 2001, 134(12): 1087–1095. DOI:10.7326/0003-4819-134-12-200106190-00008 |
2017, Vol. 41

